当前位置:首页>课件>【春节特刊进修生系列课件】肝占位性病变(3)

【春节特刊进修生系列课件】肝占位性病变(3)

  • 2026-03-29 11:13:06
【春节特刊进修生系列课件】肝占位性病变(3)

肝占位性病变

— 溆浦城南医院超声科 —

01

肝良性占位性病变

01

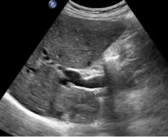
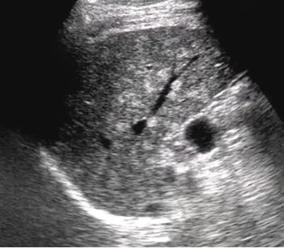
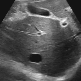
肝囊肿

● 肝内单个或多个无回声区。

● 边界清,形态一般规整,少数欠规整。

● 内透声好,少数可见分隔。

● 后方回声增强。

02

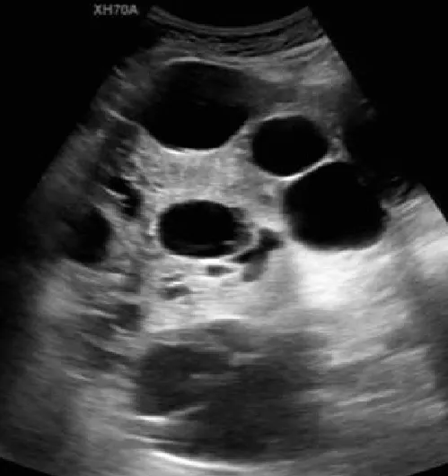
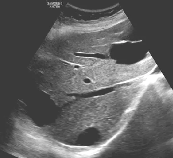
多囊肝

● 肝内无数个无回声区。

● 大者边界清,形态一般欠规整。

● 内透声好。

● 后方结构(后壁)回声增强。

● 无囊肿部位肝组织回声增强增粗。

03

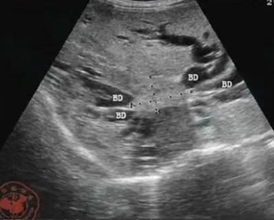
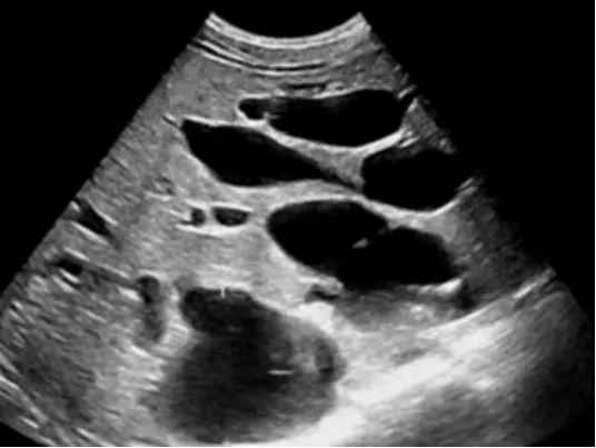
交通性海绵状胆管扩张(Caroli病)

● 定义:指肝内末梢胆管的葡萄串样囊状扩张,定义为肝内胆管非梗阻性节段性的囊状或梭状扩张,不伴有胰胆管合流异常。

● 超声表现:肝内沿胆管走行分布、多发的与胆管相通的无回声,可以弥漫性,也可以局限性的;特征性的表现为囊状扩张的胆管内见小圆点状高回声。

04

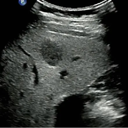
肝脓肿

● 定义:肝脓肿是肝脏的化脓性炎症,可由细菌、真菌或阿米巴原虫等感染引起。病理过程通常包括炎症浸润期、脓肿形成期和脓肿吸收期。

● 超声表现:

   1.肝内单个或多个占位性病变。

   2.早期呈低回声,边界不清,血流丰富。

   3.脓液形成后,呈液性暗区,壁厚薄不均,内壁不平整,内透声差,可见絮状回声,有些可见分层。

   4.肝脓肿进一步发展,内透声好,如肝囊肿,但壁厚薄不均。

    5.后方结构(后壁)回声增强。

05

肝包虫病

● 单囊型,可如一般肝囊肿。

● 多囊型。

● 囊沙型,内透声差,可见絮状、带状回声。

● 混合型。

● 母子囊型。

06

肝血管瘤

● 单发或多发,圆形或椭圆形、边界清晰、回声多样。

● 后方回声可不同程度增强。

● 探头加压可变形、对血管及邻近组织无浸润。

● CDFI:常无明显血流信号,或少量低速血流信号。

 (1)高回声型

         最多见,小血管瘤(90%)

         内部呈筛网状;浮雕样

 (2)混合回声型

         见于较大的血管瘤

         实质呈粗网络状或蜂窝状结构

(3)低回声型

        较少见,中等大小的血管瘤

        周边回声增强,可见周缘裂隙征

(4)无回声型

        极少见

        多位于贴近肝表面处,酷似囊肿

(5)超声下回声强度差异

       管腔细,纤维隔多而厚 → 界面回声多而强,回声高

      管腔粗,纤维隔少而薄 → 界面回声少越弱,回声低

07

肝腺瘤

● 定义:是一种少见的肝脏良性上皮肿瘤,好发于育龄期女性。

● 超声表现

(1)呈圆形或椭圆形,轮廓较规则的结节或肿块回声,边界:清晰、光滑整齐。

(2)回声多变,可低可中可高,可均质可不均质,多为均质高回声。

(3)肝内出现较大的囊性包块,囊壁厚,境界清晰,内为无回声区,有分隔,分隔厚薄不均。

(4)内壁不整齐,有乳头状强回声,有后壁和后方回声增强效应。

(5)CDFI:病变周围血流丰富,有时较粗大,低阻。

08

肝错构瘤

● 定义:是一种罕见的良性肿瘤,是胚胎的肝发育异常而导致的肿瘤样团块。

● 超声表现

(1)较大, 边界清晰光滑, 包膜不明显。

(2)内为中-高回声, 常为多个融合成片状高回声组成, 间或有多个圆形无回声区。

09

肝局灶性结节增生(FNH)

● 定义:肝细胞对局部血管异常产生的反应性增生性改变,而非真正的肿瘤。

● 超声表现

(1)大部分形态规则(类圆形)、边界清,低或稍低回声或等回声为主,高回声少见,合并脂肪肝时,基本为低回声。

(2)回声均匀或不均匀,少部分中央可见星状或条状低回声,部分周边见低回声晕环(容易误诊为恶性)。

(3)CDFI:血流丰富,病灶可探测到一支血流由病灶外部进入病灶内(即滋养动脉),典型的呈轮辐状血流(但文献报道检出率低,仅20%可检出)。

10

肝内钙化灶

● 定义:肝内钙化灶实质上是肝细胞在遭受损伤并且痊愈后留在肝上的一条疤痕。其形成主要是与先天性因素、钙磷代谢紊乱、肝内慢性炎症或创伤、寄生虫感染以及肝肿瘤等有关。

● 超声表现:肝内强回声斑点、斑块,可以是孤立存在,也可以多发呈簇状、线状分布。

02

肝恶性占位性病变

01

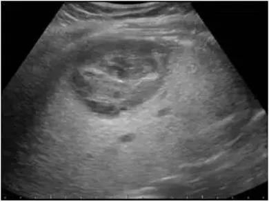
肝细胞癌

定义

是肝内最常见的原发性恶性肿瘤,其恶性程度高、预后差,中老年男性多见。

病理分型

● 巨块型:为单个圆形巨大肿瘤,或由数个癌结节融合而成。癌肿直径大于5cm,少数达10cm以上。

● 结节型:癌结节可单发或多个,直径约1.0~5.0cm不等。可为多中心或肝内转移所致,可伴有肝硬化。

● 弥漫型:较罕见,癌结节大小如绿豆至黄豆不等,其数目众多,弥漫分布于全肝,病程进展迅速,预后极差。

超声表现

● 巨块型肝癌:体积较大,>5cm

                   高回声多见,多伴有液化坏死

                   无纤维包膜(浸润性生长)

                   易并发肝破裂出血

● 结节型:肿瘤直径多在3~5cm,单发或多发

              不均匀高回声或低回声为主,与周围肝组织分界较清,外周常有低回声的声晕

               常合并肝硬化或慢性肝病史

● 弥漫型:弥漫散布于整个肝脏,直径在1.0cm左右,肝脏形态失常。

              以不均匀低回声多见浸润生长,边界不清,外周一般无声晕或包膜回声。

              常伴有肝硬化,与再生结节较难鉴别。

● CDFI:大多数为富血供肿瘤。

             肿瘤区域内有丰富的彩色血流信号。

             高速、高阻。

02

肝内胆管细胞癌

定义

● 是一种起源于肝内胆管上皮细胞的原发恶性肿瘤,大多数为腺癌(90%)。

● 病因:慢性胆道炎症、胆石症、原发性硬化性胆管炎、肝炎病毒、胆道畸形、寄生虫、环境或职业性毒物。

● 一般不伴肝硬化,CA199升高。

超声表现

● 多呈低回声肿块,少数呈高回声。

● 边界欠清或不清,形态不规则内回声不均,无声晕。

● 肝包膜回缩。

● 肿块周边可伴肝内胆管扩张极少伴肝硬化及门静脉癌栓乏血供。

03

转移性肝癌

定义

● 是肝内最常见的继发性肝恶性肿瘤。

● 来源:转移性肝癌多来自于腹腔内肿瘤约占2/3,包括食管、胃肠道、胆囊、胰腺等消化系统恶性肿瘤居多。

● 不合并肝硬化。

病理特点:

瘤体快速增长,边缘瘤组织往往保持活跃的细胞生长结节内部,尤其瘤体中央区或中心发生不同程度缺血造成慢性组织变性、点片状坏死等不均质改变,伴随反复组织修复和结缔组织增生,有的发生液化坏死。

超声表现

● 圆形或椭圆形。

● 常多发,也可单发,在较大的转移性肝癌中可出现多结节相互融合,形似“葡萄串征。

● 内部回声多样,周边低回声的声晕(较宽)。

● 极少合并肝硬化。

● 少血供。

超声特点

● 牛眼征:有较宽的低回声晕,形似牛眼多见于腺癌肝转移。

● 高回声:多见于消化道恶性肿瘤。

● 低回声:常见于乳腺癌等。

● 囊性变型:多见于胃肠间质肉瘤、卵巢囊腺癌等。

声明:文章内容仅供学习使用,如有侵权,请联系删除

溆浦城南医院超声科

曾林波  副院长/功能科主任  主任医师

13789280298(微信同号)

最新文章

随机文章

基本 文件 流程 错误 SQL 调试
  1. 请求信息 : 2026-04-04 21:15:20 HTTP/2.0 GET : https://a.sjds.net/a/472100.html
  2. 运行时间 : 0.166644s [ 吞吐率:6.00req/s ] 内存消耗:4,382.18kb 文件加载:140
  3. 缓存信息 : 0 reads,0 writes
  4. 会话信息 : SESSION_ID=4b4580d8101e9ea7c59c7be81210d8c2
  1. /yingpanguazai/ssd/ssd1/www/a.sjds.net/public/index.php ( 0.79 KB )
  2. /yingpanguazai/ssd/ssd1/www/a.sjds.net/vendor/autoload.php ( 0.17 KB )
  3. /yingpanguazai/ssd/ssd1/www/a.sjds.net/vendor/composer/autoload_real.php ( 2.49 KB )
  4. /yingpanguazai/ssd/ssd1/www/a.sjds.net/vendor/composer/platform_check.php ( 0.90 KB )
  5. /yingpanguazai/ssd/ssd1/www/a.sjds.net/vendor/composer/ClassLoader.php ( 14.03 KB )
  6. /yingpanguazai/ssd/ssd1/www/a.sjds.net/vendor/composer/autoload_static.php ( 4.90 KB )
  7. /yingpanguazai/ssd/ssd1/www/a.sjds.net/vendor/topthink/think-helper/src/helper.php ( 8.34 KB )
  8. /yingpanguazai/ssd/ssd1/www/a.sjds.net/vendor/topthink/think-validate/src/helper.php ( 2.19 KB )
  9. /yingpanguazai/ssd/ssd1/www/a.sjds.net/vendor/topthink/think-orm/src/helper.php ( 1.47 KB )
  10. /yingpanguazai/ssd/ssd1/www/a.sjds.net/vendor/topthink/think-orm/stubs/load_stubs.php ( 0.16 KB )
  11. /yingpanguazai/ssd/ssd1/www/a.sjds.net/vendor/topthink/framework/src/think/Exception.php ( 1.69 KB )
  12. /yingpanguazai/ssd/ssd1/www/a.sjds.net/vendor/topthink/think-container/src/Facade.php ( 2.71 KB )
  13. /yingpanguazai/ssd/ssd1/www/a.sjds.net/vendor/symfony/deprecation-contracts/function.php ( 0.99 KB )
  14. /yingpanguazai/ssd/ssd1/www/a.sjds.net/vendor/symfony/polyfill-mbstring/bootstrap.php ( 8.26 KB )
  15. /yingpanguazai/ssd/ssd1/www/a.sjds.net/vendor/symfony/polyfill-mbstring/bootstrap80.php ( 9.78 KB )
  16. /yingpanguazai/ssd/ssd1/www/a.sjds.net/vendor/symfony/var-dumper/Resources/functions/dump.php ( 1.49 KB )
  17. /yingpanguazai/ssd/ssd1/www/a.sjds.net/vendor/topthink/think-dumper/src/helper.php ( 0.18 KB )
  18. /yingpanguazai/ssd/ssd1/www/a.sjds.net/vendor/symfony/var-dumper/VarDumper.php ( 4.30 KB )
  19. /yingpanguazai/ssd/ssd1/www/a.sjds.net/vendor/topthink/framework/src/think/App.php ( 15.30 KB )
  20. /yingpanguazai/ssd/ssd1/www/a.sjds.net/vendor/topthink/think-container/src/Container.php ( 15.76 KB )
  21. /yingpanguazai/ssd/ssd1/www/a.sjds.net/vendor/psr/container/src/ContainerInterface.php ( 1.02 KB )
  22. /yingpanguazai/ssd/ssd1/www/a.sjds.net/app/provider.php ( 0.19 KB )
  23. /yingpanguazai/ssd/ssd1/www/a.sjds.net/vendor/topthink/framework/src/think/Http.php ( 6.04 KB )
  24. /yingpanguazai/ssd/ssd1/www/a.sjds.net/vendor/topthink/think-helper/src/helper/Str.php ( 7.29 KB )
  25. /yingpanguazai/ssd/ssd1/www/a.sjds.net/vendor/topthink/framework/src/think/Env.php ( 4.68 KB )
  26. /yingpanguazai/ssd/ssd1/www/a.sjds.net/app/common.php ( 0.03 KB )
  27. /yingpanguazai/ssd/ssd1/www/a.sjds.net/vendor/topthink/framework/src/helper.php ( 18.78 KB )
  28. /yingpanguazai/ssd/ssd1/www/a.sjds.net/vendor/topthink/framework/src/think/Config.php ( 5.54 KB )
  29. /yingpanguazai/ssd/ssd1/www/a.sjds.net/config/app.php ( 0.95 KB )
  30. /yingpanguazai/ssd/ssd1/www/a.sjds.net/config/cache.php ( 0.78 KB )
  31. /yingpanguazai/ssd/ssd1/www/a.sjds.net/config/console.php ( 0.23 KB )
  32. /yingpanguazai/ssd/ssd1/www/a.sjds.net/config/cookie.php ( 0.56 KB )
  33. /yingpanguazai/ssd/ssd1/www/a.sjds.net/config/database.php ( 2.48 KB )
  34. /yingpanguazai/ssd/ssd1/www/a.sjds.net/vendor/topthink/framework/src/think/facade/Env.php ( 1.67 KB )
  35. /yingpanguazai/ssd/ssd1/www/a.sjds.net/config/filesystem.php ( 0.61 KB )
  36. /yingpanguazai/ssd/ssd1/www/a.sjds.net/config/lang.php ( 0.91 KB )
  37. /yingpanguazai/ssd/ssd1/www/a.sjds.net/config/log.php ( 1.35 KB )
  38. /yingpanguazai/ssd/ssd1/www/a.sjds.net/config/middleware.php ( 0.19 KB )
  39. /yingpanguazai/ssd/ssd1/www/a.sjds.net/config/route.php ( 1.89 KB )
  40. /yingpanguazai/ssd/ssd1/www/a.sjds.net/config/session.php ( 0.57 KB )
  41. /yingpanguazai/ssd/ssd1/www/a.sjds.net/config/trace.php ( 0.34 KB )
  42. /yingpanguazai/ssd/ssd1/www/a.sjds.net/config/view.php ( 0.82 KB )
  43. /yingpanguazai/ssd/ssd1/www/a.sjds.net/app/event.php ( 0.25 KB )
  44. /yingpanguazai/ssd/ssd1/www/a.sjds.net/vendor/topthink/framework/src/think/Event.php ( 7.67 KB )
  45. /yingpanguazai/ssd/ssd1/www/a.sjds.net/app/service.php ( 0.13 KB )
  46. /yingpanguazai/ssd/ssd1/www/a.sjds.net/app/AppService.php ( 0.26 KB )
  47. /yingpanguazai/ssd/ssd1/www/a.sjds.net/vendor/topthink/framework/src/think/Service.php ( 1.64 KB )
  48. /yingpanguazai/ssd/ssd1/www/a.sjds.net/vendor/topthink/framework/src/think/Lang.php ( 7.35 KB )
  49. /yingpanguazai/ssd/ssd1/www/a.sjds.net/vendor/topthink/framework/src/lang/zh-cn.php ( 13.70 KB )
  50. /yingpanguazai/ssd/ssd1/www/a.sjds.net/vendor/topthink/framework/src/think/initializer/Error.php ( 3.31 KB )
  51. /yingpanguazai/ssd/ssd1/www/a.sjds.net/vendor/topthink/framework/src/think/initializer/RegisterService.php ( 1.33 KB )
  52. /yingpanguazai/ssd/ssd1/www/a.sjds.net/vendor/services.php ( 0.14 KB )
  53. /yingpanguazai/ssd/ssd1/www/a.sjds.net/vendor/topthink/framework/src/think/service/PaginatorService.php ( 1.52 KB )
  54. /yingpanguazai/ssd/ssd1/www/a.sjds.net/vendor/topthink/framework/src/think/service/ValidateService.php ( 0.99 KB )
  55. /yingpanguazai/ssd/ssd1/www/a.sjds.net/vendor/topthink/framework/src/think/service/ModelService.php ( 2.04 KB )
  56. /yingpanguazai/ssd/ssd1/www/a.sjds.net/vendor/topthink/think-trace/src/Service.php ( 0.77 KB )
  57. /yingpanguazai/ssd/ssd1/www/a.sjds.net/vendor/topthink/framework/src/think/Middleware.php ( 6.72 KB )
  58. /yingpanguazai/ssd/ssd1/www/a.sjds.net/vendor/topthink/framework/src/think/initializer/BootService.php ( 0.77 KB )
  59. /yingpanguazai/ssd/ssd1/www/a.sjds.net/vendor/topthink/think-orm/src/Paginator.php ( 11.86 KB )
  60. /yingpanguazai/ssd/ssd1/www/a.sjds.net/vendor/topthink/think-validate/src/Validate.php ( 63.20 KB )
  61. /yingpanguazai/ssd/ssd1/www/a.sjds.net/vendor/topthink/think-orm/src/Model.php ( 23.55 KB )
  62. /yingpanguazai/ssd/ssd1/www/a.sjds.net/vendor/topthink/think-orm/src/model/concern/Attribute.php ( 21.05 KB )
  63. /yingpanguazai/ssd/ssd1/www/a.sjds.net/vendor/topthink/think-orm/src/model/concern/AutoWriteData.php ( 4.21 KB )
  64. /yingpanguazai/ssd/ssd1/www/a.sjds.net/vendor/topthink/think-orm/src/model/concern/Conversion.php ( 6.44 KB )
  65. /yingpanguazai/ssd/ssd1/www/a.sjds.net/vendor/topthink/think-orm/src/model/concern/DbConnect.php ( 5.16 KB )
  66. /yingpanguazai/ssd/ssd1/www/a.sjds.net/vendor/topthink/think-orm/src/model/concern/ModelEvent.php ( 2.33 KB )
  67. /yingpanguazai/ssd/ssd1/www/a.sjds.net/vendor/topthink/think-orm/src/model/concern/RelationShip.php ( 28.29 KB )
  68. /yingpanguazai/ssd/ssd1/www/a.sjds.net/vendor/topthink/think-helper/src/contract/Arrayable.php ( 0.09 KB )
  69. /yingpanguazai/ssd/ssd1/www/a.sjds.net/vendor/topthink/think-helper/src/contract/Jsonable.php ( 0.13 KB )
  70. /yingpanguazai/ssd/ssd1/www/a.sjds.net/vendor/topthink/think-orm/src/model/contract/Modelable.php ( 0.09 KB )
  71. /yingpanguazai/ssd/ssd1/www/a.sjds.net/vendor/topthink/framework/src/think/Db.php ( 2.88 KB )
  72. /yingpanguazai/ssd/ssd1/www/a.sjds.net/vendor/topthink/think-orm/src/DbManager.php ( 8.52 KB )
  73. /yingpanguazai/ssd/ssd1/www/a.sjds.net/vendor/topthink/framework/src/think/Log.php ( 6.28 KB )
  74. /yingpanguazai/ssd/ssd1/www/a.sjds.net/vendor/topthink/framework/src/think/Manager.php ( 3.92 KB )
  75. /yingpanguazai/ssd/ssd1/www/a.sjds.net/vendor/psr/log/src/LoggerTrait.php ( 2.69 KB )
  76. /yingpanguazai/ssd/ssd1/www/a.sjds.net/vendor/psr/log/src/LoggerInterface.php ( 2.71 KB )
  77. /yingpanguazai/ssd/ssd1/www/a.sjds.net/vendor/topthink/framework/src/think/Cache.php ( 4.92 KB )
  78. /yingpanguazai/ssd/ssd1/www/a.sjds.net/vendor/psr/simple-cache/src/CacheInterface.php ( 4.71 KB )
  79. /yingpanguazai/ssd/ssd1/www/a.sjds.net/vendor/topthink/think-helper/src/helper/Arr.php ( 16.63 KB )
  80. /yingpanguazai/ssd/ssd1/www/a.sjds.net/vendor/topthink/framework/src/think/cache/driver/File.php ( 7.84 KB )
  81. /yingpanguazai/ssd/ssd1/www/a.sjds.net/vendor/topthink/framework/src/think/cache/Driver.php ( 9.03 KB )
  82. /yingpanguazai/ssd/ssd1/www/a.sjds.net/vendor/topthink/framework/src/think/contract/CacheHandlerInterface.php ( 1.99 KB )
  83. /yingpanguazai/ssd/ssd1/www/a.sjds.net/app/Request.php ( 0.09 KB )
  84. /yingpanguazai/ssd/ssd1/www/a.sjds.net/vendor/topthink/framework/src/think/Request.php ( 55.78 KB )
  85. /yingpanguazai/ssd/ssd1/www/a.sjds.net/app/middleware.php ( 0.25 KB )
  86. /yingpanguazai/ssd/ssd1/www/a.sjds.net/vendor/topthink/framework/src/think/Pipeline.php ( 2.61 KB )
  87. /yingpanguazai/ssd/ssd1/www/a.sjds.net/vendor/topthink/think-trace/src/TraceDebug.php ( 3.40 KB )
  88. /yingpanguazai/ssd/ssd1/www/a.sjds.net/vendor/topthink/framework/src/think/middleware/SessionInit.php ( 1.94 KB )
  89. /yingpanguazai/ssd/ssd1/www/a.sjds.net/vendor/topthink/framework/src/think/Session.php ( 1.80 KB )
  90. /yingpanguazai/ssd/ssd1/www/a.sjds.net/vendor/topthink/framework/src/think/session/driver/File.php ( 6.27 KB )
  91. /yingpanguazai/ssd/ssd1/www/a.sjds.net/vendor/topthink/framework/src/think/contract/SessionHandlerInterface.php ( 0.87 KB )
  92. /yingpanguazai/ssd/ssd1/www/a.sjds.net/vendor/topthink/framework/src/think/session/Store.php ( 7.12 KB )
  93. /yingpanguazai/ssd/ssd1/www/a.sjds.net/vendor/topthink/framework/src/think/Route.php ( 23.73 KB )
  94. /yingpanguazai/ssd/ssd1/www/a.sjds.net/vendor/topthink/framework/src/think/route/RuleName.php ( 5.75 KB )
  95. /yingpanguazai/ssd/ssd1/www/a.sjds.net/vendor/topthink/framework/src/think/route/Domain.php ( 2.53 KB )
  96. /yingpanguazai/ssd/ssd1/www/a.sjds.net/vendor/topthink/framework/src/think/route/RuleGroup.php ( 22.43 KB )
  97. /yingpanguazai/ssd/ssd1/www/a.sjds.net/vendor/topthink/framework/src/think/route/Rule.php ( 26.95 KB )
  98. /yingpanguazai/ssd/ssd1/www/a.sjds.net/vendor/topthink/framework/src/think/route/RuleItem.php ( 9.78 KB )
  99. /yingpanguazai/ssd/ssd1/www/a.sjds.net/route/app.php ( 1.72 KB )
  100. /yingpanguazai/ssd/ssd1/www/a.sjds.net/vendor/topthink/framework/src/think/facade/Route.php ( 4.70 KB )
  101. /yingpanguazai/ssd/ssd1/www/a.sjds.net/vendor/topthink/framework/src/think/route/dispatch/Controller.php ( 4.74 KB )
  102. /yingpanguazai/ssd/ssd1/www/a.sjds.net/vendor/topthink/framework/src/think/route/Dispatch.php ( 10.44 KB )
  103. /yingpanguazai/ssd/ssd1/www/a.sjds.net/app/controller/Index.php ( 4.81 KB )
  104. /yingpanguazai/ssd/ssd1/www/a.sjds.net/app/BaseController.php ( 2.05 KB )
  105. /yingpanguazai/ssd/ssd1/www/a.sjds.net/vendor/topthink/think-orm/src/facade/Db.php ( 0.93 KB )
  106. /yingpanguazai/ssd/ssd1/www/a.sjds.net/vendor/topthink/think-orm/src/db/connector/Mysql.php ( 5.44 KB )
  107. /yingpanguazai/ssd/ssd1/www/a.sjds.net/vendor/topthink/think-orm/src/db/PDOConnection.php ( 52.47 KB )
  108. /yingpanguazai/ssd/ssd1/www/a.sjds.net/vendor/topthink/think-orm/src/db/Connection.php ( 8.39 KB )
  109. /yingpanguazai/ssd/ssd1/www/a.sjds.net/vendor/topthink/think-orm/src/db/ConnectionInterface.php ( 4.57 KB )
  110. /yingpanguazai/ssd/ssd1/www/a.sjds.net/vendor/topthink/think-orm/src/db/builder/Mysql.php ( 16.58 KB )
  111. /yingpanguazai/ssd/ssd1/www/a.sjds.net/vendor/topthink/think-orm/src/db/Builder.php ( 24.06 KB )
  112. /yingpanguazai/ssd/ssd1/www/a.sjds.net/vendor/topthink/think-orm/src/db/BaseBuilder.php ( 27.50 KB )
  113. /yingpanguazai/ssd/ssd1/www/a.sjds.net/vendor/topthink/think-orm/src/db/Query.php ( 15.71 KB )
  114. /yingpanguazai/ssd/ssd1/www/a.sjds.net/vendor/topthink/think-orm/src/db/BaseQuery.php ( 45.13 KB )
  115. /yingpanguazai/ssd/ssd1/www/a.sjds.net/vendor/topthink/think-orm/src/db/concern/TimeFieldQuery.php ( 7.43 KB )
  116. /yingpanguazai/ssd/ssd1/www/a.sjds.net/vendor/topthink/think-orm/src/db/concern/AggregateQuery.php ( 3.26 KB )
  117. /yingpanguazai/ssd/ssd1/www/a.sjds.net/vendor/topthink/think-orm/src/db/concern/ModelRelationQuery.php ( 20.07 KB )
  118. /yingpanguazai/ssd/ssd1/www/a.sjds.net/vendor/topthink/think-orm/src/db/concern/ParamsBind.php ( 3.66 KB )
  119. /yingpanguazai/ssd/ssd1/www/a.sjds.net/vendor/topthink/think-orm/src/db/concern/ResultOperation.php ( 7.01 KB )
  120. /yingpanguazai/ssd/ssd1/www/a.sjds.net/vendor/topthink/think-orm/src/db/concern/WhereQuery.php ( 19.37 KB )
  121. /yingpanguazai/ssd/ssd1/www/a.sjds.net/vendor/topthink/think-orm/src/db/concern/JoinAndViewQuery.php ( 7.11 KB )
  122. /yingpanguazai/ssd/ssd1/www/a.sjds.net/vendor/topthink/think-orm/src/db/concern/TableFieldInfo.php ( 2.63 KB )
  123. /yingpanguazai/ssd/ssd1/www/a.sjds.net/vendor/topthink/think-orm/src/db/concern/Transaction.php ( 2.77 KB )
  124. /yingpanguazai/ssd/ssd1/www/a.sjds.net/vendor/topthink/framework/src/think/log/driver/File.php ( 5.96 KB )
  125. /yingpanguazai/ssd/ssd1/www/a.sjds.net/vendor/topthink/framework/src/think/contract/LogHandlerInterface.php ( 0.86 KB )
  126. /yingpanguazai/ssd/ssd1/www/a.sjds.net/vendor/topthink/framework/src/think/log/Channel.php ( 3.89 KB )
  127. /yingpanguazai/ssd/ssd1/www/a.sjds.net/vendor/topthink/framework/src/think/event/LogRecord.php ( 1.02 KB )
  128. /yingpanguazai/ssd/ssd1/www/a.sjds.net/vendor/topthink/think-helper/src/Collection.php ( 16.47 KB )
  129. /yingpanguazai/ssd/ssd1/www/a.sjds.net/vendor/topthink/framework/src/think/facade/View.php ( 1.70 KB )
  130. /yingpanguazai/ssd/ssd1/www/a.sjds.net/vendor/topthink/framework/src/think/View.php ( 4.39 KB )
  131. /yingpanguazai/ssd/ssd1/www/a.sjds.net/vendor/topthink/framework/src/think/Response.php ( 8.81 KB )
  132. /yingpanguazai/ssd/ssd1/www/a.sjds.net/vendor/topthink/framework/src/think/response/View.php ( 3.29 KB )
  133. /yingpanguazai/ssd/ssd1/www/a.sjds.net/vendor/topthink/framework/src/think/Cookie.php ( 6.06 KB )
  134. /yingpanguazai/ssd/ssd1/www/a.sjds.net/vendor/topthink/think-view/src/Think.php ( 8.38 KB )
  135. /yingpanguazai/ssd/ssd1/www/a.sjds.net/vendor/topthink/framework/src/think/contract/TemplateHandlerInterface.php ( 1.60 KB )
  136. /yingpanguazai/ssd/ssd1/www/a.sjds.net/vendor/topthink/think-template/src/Template.php ( 46.61 KB )
  137. /yingpanguazai/ssd/ssd1/www/a.sjds.net/vendor/topthink/think-template/src/template/driver/File.php ( 2.41 KB )
  138. /yingpanguazai/ssd/ssd1/www/a.sjds.net/vendor/topthink/think-template/src/template/contract/DriverInterface.php ( 0.86 KB )
  139. /yingpanguazai/ssd/ssd1/www/a.sjds.net/runtime/temp/97cad012e8e159aae2fe347a411e8351.php ( 12.06 KB )
  140. /yingpanguazai/ssd/ssd1/www/a.sjds.net/vendor/topthink/think-trace/src/Html.php ( 4.42 KB )
  1. CONNECT:[ UseTime:0.001215s ] mysql:host=127.0.0.1;port=3306;dbname=a_sjds;charset=utf8mb4
  2. SHOW FULL COLUMNS FROM `fenlei` [ RunTime:0.002260s ]
  3. SELECT * FROM `fenlei` WHERE `fid` = 0 [ RunTime:0.000740s ]
  4. SELECT * FROM `fenlei` WHERE `fid` = 63 [ RunTime:0.000679s ]
  5. SHOW FULL COLUMNS FROM `set` [ RunTime:0.001368s ]
  6. SELECT * FROM `set` [ RunTime:0.000555s ]
  7. SHOW FULL COLUMNS FROM `article` [ RunTime:0.001702s ]
  8. SELECT * FROM `article` WHERE `id` = 472100 LIMIT 1 [ RunTime:0.001233s ]
  9. UPDATE `article` SET `lasttime` = 1775308520 WHERE `id` = 472100 [ RunTime:0.003003s ]
  10. SELECT * FROM `fenlei` WHERE `id` = 66 LIMIT 1 [ RunTime:0.000593s ]
  11. SELECT * FROM `article` WHERE `id` < 472100 ORDER BY `id` DESC LIMIT 1 [ RunTime:0.001264s ]
  12. SELECT * FROM `article` WHERE `id` > 472100 ORDER BY `id` ASC LIMIT 1 [ RunTime:0.001122s ]
  13. SELECT * FROM `article` WHERE `id` < 472100 ORDER BY `id` DESC LIMIT 10 [ RunTime:0.001578s ]
  14. SELECT * FROM `article` WHERE `id` < 472100 ORDER BY `id` DESC LIMIT 10,10 [ RunTime:0.002376s ]
  15. SELECT * FROM `article` WHERE `id` < 472100 ORDER BY `id` DESC LIMIT 20,10 [ RunTime:0.002553s ]
0.170454s