当前位置:首页>课件>【春节特刊进修生系列课件】胰腺疾病超声诊断(初六)

【春节特刊进修生系列课件】胰腺疾病超声诊断(初六)

  • 2026-04-13 10:28:35
【春节特刊进修生系列课件】胰腺疾病超声诊断(初六)

胰腺疾病超声诊断

— 溆浦城南医院超声科 —

01

胰腺解剖基础及生理

01

胰腺解剖

扁长三角形器官,分头、颈、体、尾四部,长约12-20cm,重约85~95g,在十二指肠降部和脾门间横位于腹膜后间隙,约L1、L2水平。

●胰头:较膨大,被十二指肠“C”形包绕,胆总管胰头段在胰头后方的沟内,并常埋于胰腺组织,故胰腺病变时可伴阻塞性黄疸和十二指肠受压。左下方钩突将门脉起始部及肠系膜上血管夹在胰腺实质部,故胰头肿大可压迫肝门静脉,导致腹水。

●胰颈: 位于胰头与胰体之间,长约2cm,幽门位于其前上方,上方有胆总管。肠系膜上静脉和脾静脉在其后方汇合成肝门静脉。肠系膜上动脉位于并伴行于静脉的左侧。

●胰体:位于胰颈和胰尾之间,占胰的大部分。其前方与胃相邻,故胃癌或胃后壁溃疡穿孔时常与胰腺粘连。(胰体中线最为固定,故为腹部钝性外伤常见部位)

●胰尾:为伸向左上方较细的部分,紧贴脾门。

02

血供特点

●胰腺的动脉来源与分布是腹部最复杂的器官之一,它不像肝、脾、肾等实质脏器都有其固有的“门”供血管进出,其动脉是围绕胰腺周围分布并相互吻合形成复杂的血管网。总的来看胰腺的动脉来自腹腔干的分支及肠系膜上动脉。

胰头背侧动脉供应

胰腺背面动脉供应

●胰腺静脉回流:

门静脉和脾静脉汇合点正好位于胰颈后方,肠系膜上静脉和脾静脉在此融合形成门静脉。

脾静脉沿着胰体后表面行进至门静脉和脾静脉汇合点(胰腺标识血管)。

●总结:胰腺的动脉血来自腹腔干和肠系膜上动脉的分支,而静脉血则通过肠系膜上静脉或脾静脉回流至门静脉。

胰腺淋巴回流

03

胰管解剖示意图

●主胰管在胰实质内自胰尾沿长轴右行,沿途汇集各小叶导管,最后在穿入十二指肠壁时与胆总管汇合形成Vater壶腹,共同开口于十二指肠大乳头。

●主胰管直径≤2mm,胰头部最宽。

02

胰腺正常声像图及检查规范

检查规范

●检查前夜饮食清淡,禁食豆、奶等产气食物

●检查前禁食8-12h,清晨空腹

●检查优先胃镜检查和钡餐检查,必要时饮水充盈胃体

●仪器:2-5MHz凸阵探头

●体位:取仰卧位或半坐位

●切面:横切为主,配合纵切、斜切

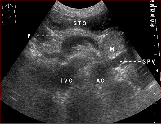
标准切面

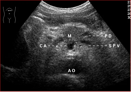
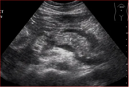
●胰腺长轴切面

标志为:胰腺后方脾静脉长轴。

应显示:胰头、胰颈、胰体、部分胰尾和主胰管。

●经胰头矢状切面

标志为:下腔静脉长轴。

应显示:胰头短轴、下腔静脉长轴。

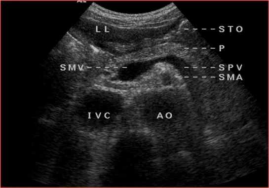
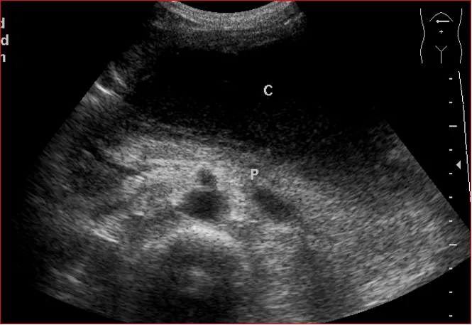
●经胰体矢状切面

标志为:腹主动脉长轴。

应显示:胰体短轴、腹主动脉、肠系膜上动脉。

●经胰颈矢状切面

标志为:肠系膜上静脉长轴。

应显示:胰颈短轴、肠系膜上静脉及其背侧的胰腺钩突部。

●经胰尾矢状切面

标志为:脊柱左缘和左肾。

应显示:胃、胰尾、脾动静脉和左肾。

●左季肋部斜切面

显示胰尾和左肾上极、左肾上腺的关系,利用CDFI观察脾脏、脾动静脉与胰尾关系。

●左肋间斜切面

以脾脏为声窗,沿脾门血管显示胰尾脾侧,对左季肋部斜切面扫查胰尾与脾血管显示困难的病例尤为有效。

正常声像图

●胰腺的形态 :

   横切时,大致分为三种形态:①蝌蚪形:胰头粗而体尾逐渐变细。②哑铃形:胰头、尾粗而体部细。 ③腊肠形:胰头、体、尾几乎等粗

   纵切时,胰头呈椭圆形,胰体呈近似三角形,胰尾呈梭形或菱形。

●胰腺内部结构:

  正常成人胰腺回声较肝脏稍高,无被膜,边界光滑、整齐,有时和周围组织界限欠清,内

部呈均匀性细小光点回声,周围血管丰富,但内部血管较少,主胰管可显示,但内径≤2mm。

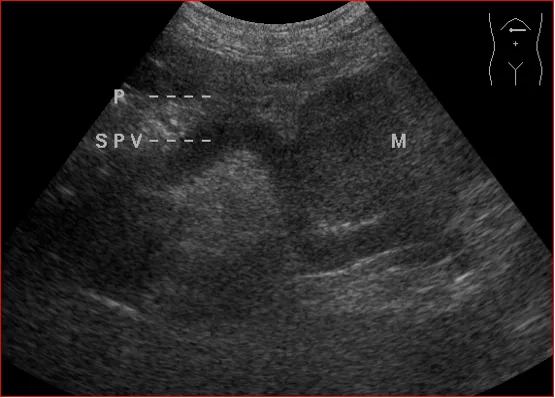
利用标识血管来判断胰腺的位置 

●观察胰腺大小、边界、回声

●观察胰管管径和走行

●观察是否有占位 

胰腺-长轴切面

胰体-纵切扫查

正常值及测量

目前公认的胰腺大小以胰腺厚径为准

测量方法为:于下腔静脉前测量胰头;于肠系膜上静脉和脾静脉汇合处测量胰颈;于腹主动脉前测量胰体;于脊柱或腹主动脉左缘左肾前测量胰尾。

胰腺的上下径大于前后径,临床习惯以前后径即厚度判断胰腺是否肿大。

胰腺切线测量法(根据1977年Weill法)

03

胰腺炎

01

急性胰腺炎

病理

急性胰腺炎(acute pancreatitis)是被激活的胰腺消化酶对胰腺组织自身消化所引起的化学炎症,可分为急性水肿性和急性出血坏死性胰腺炎,急性水肿性胰腺炎可发展为急性出血性坏死性胰腺炎,临床以前者最多见。 

临床表现

●发病前常有饮酒、饱食或高脂餐史、胆石症发作史。

●急性腹痛是急性胰腺炎最突出的症状,也是最先出现的症状。

●疼痛为持续性,逐渐加重,伴有胆石症者,则兼有右上腹绞痛,可伴后背及腰部牵涉痛。

●此外有黄疸、发热、腹水、胸水、电解质紊乱、出血、皮下淤血斑及休克,甚至猝死。

●消化道症状有恶心、呕吐、腹胀、肠麻痹。

●实验室检查有血、尿淀粉酶增高。

●超声检查

●典型急性胰腺炎时胰腺呈弥漫性肿大,以前后径增大为主。个别胰腺炎为局限性肿大,多见于胰头和胰尾。

● 胰腺形态与边缘的改变,比大小更客观地反映胰腺的病理变化。

   轻型炎症腺边缘整齐,形态规则;重型时边缘模糊不清,形态不规则,与周围组织分界不清。

●内部回声 水肿型胰腺炎内部回声均匀/不均匀,多数回声明显减低,个别回声增强或无变化;出血坏死型内部回声强弱不均,可有液化灶。

●胰管 轻度扩张或不扩张,当胰液外漏时扩张可消失或减轻。

● 积液 可见于小网膜囊、肾前旁间隙、腹腔、盆腔、胸腔,最常见部位为小网膜囊。

● 胰腺脓肿 胰腺正常结构消失,内部呈不均匀混合回声是最严重的局部并发症之一。

声像图

 急性胰腺炎水肿型-增大

●急性胰腺炎出血坏死型-渗液

注意事项

●动态观察:急性胰腺炎早期或病情较轻者,超声诊断价值低,因此,不能依赖单次超声检查,而应动态观察胰腺的超声表现。

●肠气干扰:急性胰腺炎时由于炎症刺激,胃肠道胀气较重,加之患者腹痛拒压,影响超声检查时胰腺的显示。

●诊断价值:约80%的急性胰腺炎可超声诊断,超声可观察急性胰腺炎的变化情况及判断急性胰腺炎的转归。

02

慢性胰腺炎

病理

慢性胰腺炎(chronic pancreatitis)基本病理改变是胰腺反复发生或持续进行性炎症,导胰腺逐渐广泛纤维化及钙化,可有假性囊肿、胰管扩张、胰管钙化或结石形成。

临床表现

●反复发作的上腹痛是慢性胰腺炎最突出的症状,饮酒、饱餐可透发。

●平卧位时或进食后疼痛加重,前倾俯坐或屈腹时可使疼痛缓解。

●体重减轻次常见症状,约75%的病人有此表现。

●腹泻是慢性胰腺炎典型表现,可为脂肪泻。

●可有黄疸、糖尿病等。

超声检查

●胰腺大小  大小变化无一定规律,大小可正常、肿大或缩小。

● 形态和边缘   形态僵硬、饱满,边缘不整,为大部分慢性胰腺炎重要超声表现,具有重要的诊断意义。

●内部回声  大部分病例有不同程度的胰腺内部回声粗糙,慢性钙化型胰腺炎伴有回声增高,或内见斑点状强回声。

●胰腺结石  为胰管内点块状强回声,后伴声影,对慢性胰腺炎有确诊价值。

● 胰管扩张  不规则扩张,粗细不均,典型者为串珠样改变。

●胰腺假性囊肿  可发生在胰腺实质内或胰周。

声像图

慢性胰腺炎-体积增大不明显,回声减低

慢性胰腺炎-实质钙化斑

鉴别诊断

胰腺内钙化灶及结石、胰管不规则扩张、胰腺假性囊肿为诊断慢性胰腺炎最有价值的指标。需与慢性胰腺炎相鉴别的疾病有:

●假瘤型胰腺炎与胰腺癌

假瘤型胰腺炎肿块的特征为:后方回声无衰减;肿块内有胰管贯穿;肿块与非肿块边界不清;肿块内有强回声钙化灶;尾侧胰管扩张不明显或仅有轻度扩张;肿块占位效应不明显;无周围组织浸润;随症状的减轻和加重,肿块大小和回声可发生变化。

胰腺癌多数后方回声衰减,肿块内无胰管回声,肿块较小时即可浸润周围组织,胰头癌胰管扩张明显。超声造影,肿块与胰腺实质同步增强为假瘤型胰腺炎的特点,有助于与胰腺癌的鉴别。

●慢性胰腺炎与弥漫型胰腺癌 

弥漫型胰腺癌:可表现为胰腺弥漫性回声减低,表面不平,无明显占位效应,与无钙化慢性胰腺炎非常相似而难以鉴别,应结合病史加以鉴 。

慢性胰腺炎:一般病史较长,有腹痛、腹胀,反复发作,淀粉酶升高病史;弥漫性胰腺癌病史短,乏力、消瘦明显,必要时行穿刺活检。

临床价值

●经腹超声可清晰显示慢性胰腺炎的形态、结构改变,以及胰管扩张、胰管结石、胰腺假性囊肿等病变情况,是慢性胰腺炎首选的、常规的影像检查方法,但其对慢性胰腺炎早期胰腺表面不光滑,内部回声不均匀改变不敏感,亦不易显示细小的钙化和结石,故对早期慢性胰腺炎的敏感性较低。

●超声内镜检查能更敏感地检出胰腺表面不规整,内部回声不均匀,细小钙化灶和结石,以及胰管的串珠状改变,从而提高慢性胰腺炎的诊断率。

03

胰腺脓肿

●胰腺脓肿( pancreatic abscess)腔内邻近胰腺部位的脓液积聚,可源于胰腺局限性坏死液化继发感染,或来自胰腺假性囊肿继发感染,是重症急性胰腺炎的严重并发症,通常在胰腺炎发病4-6周后形成。

●声像图表现:胰腺周围或胰腺内无回声,壁厚不规则,边界不清,无回声透声性较差,内可见随体位改变移动的点片状的低、中、高回声。

04

胰腺囊肿

01

胰腺真性囊肿

病理

真性囊肿发生于胰腺组织,小的囊肿在胰腺内,大的囊肿突出于表面。囊肿内层为腺管或腺泡上皮细胞组成。包括先天性囊肿、潴留性囊肿、寄生虫性囊肿等。

临床表现

●临床上胰腺真性囊肿较少见,约占全部胰腺囊肿的10%。

●多无明显症状和体征,少数可有恶心呕吐、腹部不适、伴腹胀、腹痛。

●发现腹部肿块是就诊的主要原因之一。

超声检查

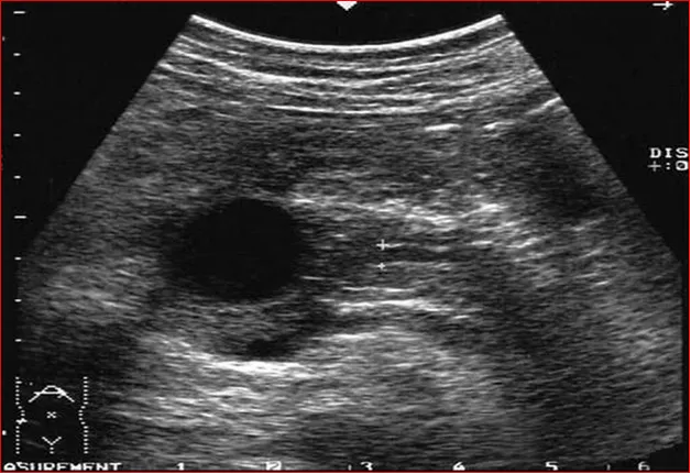
●先天性囊肿

胰腺实质内单发或多发的无回声,圆形/椭圆形,壁薄、光滑,透声好,一般体积小,常合并肝、肾、脾囊肿。

●潴留性囊肿 

胰腺内体积较小的无回声,其声像图表现与先天性囊肿无明显区别,胰管可与囊肿相通。有时可见胰腺结石、钙化等慢性胰腺炎的表现。

●寄生虫性囊肿

包虫病可发生于胰腺,表现为囊中有囊,囊壁上不规则的点片状强回声是重要特点。

鉴别诊断

●胰外囊肿:大的胰腺囊肿可突出于胰腺外,需与胰外囊肿鉴别,胰外囊肿包膜与胰腺不相连,深呼吸时囊肿运动与胰腺运动不一致。

●胰腺脓肿、血肿:无明确包膜,无回声内可见点状回声,透声性较差,有相应病史和临床表现。

声像图显示:胰头部见无回声,边界清,后壁回声增强。

02

胰腺假性囊肿

病理

胰腺假性囊肿多发生于急慢性胰腺炎、手术或胰腺外伤,由于胰腺组织破坏或胰管破裂导致胰液外漏,胰液、血液、渗出液及坏死组织积聚于胰腺周围,刺激胰腺组织渗出,纤维组织增生形成包裹。因胰腺假性囊肿的囊壁由肉芽和纤维组织构成,缺乏实际意义上的上皮层,故称假性囊肿,是胰腺炎常见并发症之一,部分假性囊肿能自行消退。

临床表现

●胰腺假性囊肿较真性囊肿多见,约占胰腺囊肿的80%

●小囊肿无症状,大囊肿可出现腹痛、腹胀等不适

●随着囊肿扩大,压迫邻近脏器,可出现黄疸、恶心、呕吐、食欲缺乏等消化道症状

超声检查

●囊肿单发或2-3个

●表现为大小不等类圆形或不规则形无回声,囊壁薄或较厚、或厚薄不均匀,可有分隔

●坏死或继发感染者囊内部可见点片状中等回声或低回声

●囊肿与胰腺相连或不连,大的囊肿常挤压邻近器官

鉴别诊断

●胰腺假性囊肿与真性囊肿的鉴别

后者一般较小,壁薄、光滑,囊液清,无急性胰腺炎发作、手术、外伤史。假性囊肿多位于胰腺外,与胰腺相连或不相连,真性囊肿多位于胰腺内或与胰腺相连。

● 肠系膜或网膜囊肿 

其囊肿壁薄、光滑,透声好,与胰腺不相连,呼吸运动囊肿与胰腺运动不一致,无胰腺炎、手术、外伤史。

● 胰腺囊腺瘤 

少数胰腺囊腺瘤表现为胰腺内单房囊性或少分隔的多房囊性,与位于胰腺内的假性囊肿非常相似,结合病史有助鉴别。囊腺瘤一般无症状,假性囊肿有胰腺炎、手术等病史。

巨大胰腺假性囊肿压迫胰腺实质

05

胰腺肿瘤

分类

● 胰腺囊腺瘤与囊腺癌

● 胰腺癌

● 胰岛细胞瘤

● 胰腺实性假乳头状瘤

● 胰高血糖素瘤

● 胃泌素瘤

● 壶腹癌

● 胰腺导管内乳头状黏液性肿瘤

● 胰腺其他肿瘤

胰腺肿瘤依据其起源不同分外分泌肿瘤和内分泌肿瘤

前者主要包括:胰腺囊腺瘤(癌)、胰腺癌、胰腺导管内乳头状黏液性肿瘤等;后者主要包括:胰岛细胞瘤、胃泌素瘤、胰高血糖素瘤、血管活性肠肽瘤等;

其他肿瘤有:壶腹癌、胰腺实性假乳头状瘤、淋巴瘤等

胰腺内分泌肿瘤根据有无功能,可分为功能性和无功能性。较常见功能性胰腺内分泌肿瘤包括胰岛素瘤(有功能胰岛细胞瘤)、胃泌素瘤、胰高血糖素瘤;常见的无功能内分泌肿瘤是无功能胰岛细胞瘤。

胰腺癌

病理

胰腺癌分胰腺导管腺癌和腺泡细胞癌,以胰腺导管腺癌最常见,约占80%~90%,其起源于胰腺导管上皮。胰腺导管腺癌是一种几乎完全发生于成人的肿瘤。

腺泡细胞癌:占成人所有胰腺外分泌肿瘤的1%~2%,70%~80%的胰腺癌发生在胰头部,体、尾部次之,少数为弥漫性胰腺癌。

临床表现

胰腺癌出现临床症状时往往已属晚期,因在病程早期患者可无症状或症状不典型。胰腺癌的主要症状包括:

● 黄疸,胰头癌引起的黄疸表现为进行性加重。

● 腹痛,因肿瘤部位的不同而异,胰头癌患者往往可有进食后的上腹部胀满不适或腹痛,胰体尾部瘤复痛往往在左上腹或脐周,后期因肿瘤侵及腹膜后神经组织而引起腰背痛,可呈束带痛。

● 晚期出现食欲不振、消化不良,致使患者周身无力、体重减轻。

胰腺导管腺癌预后较差,1年生存率只有24%,5年生存率为5%。

超声检查

● 灰阶超声表现

1.直接征象

①小于2cm的肿瘤多为均匀低回声,圆形,与正常组织无明显界限,无包膜,后方回声衰减不明显 

②随肿瘤增大肿块内回声不均匀,部分可有钙化、液化、或呈高回声改变,肿物边界不清,呈浸润性生长,形态不规则,后方回声衰减

③全胰腺癌者胰腺大小正常或弥漫性增大,回声减低,均匀或不均匀,晚期可见浸润性生长

④胰头癌胰管呈不同程度扩张,内壁平滑

2. 间接征象 

①胆管扩张,胰腺头癌和肿大的淋巴结可浸润或压迫胆总管,引起胆道梗阻。超声可见扩张的胆总管中断于胰腺的低回声肿物内 

②肿瘤附近的血管被推移、挤压、变形或被肿瘤包绕

③部分可见胰周淋巴结肿大,呈低回声 

④肿瘤常侵犯周围器官如十二指肠、胃、脾、胆囊等,与周围器官分界消失。

● 彩色多普勒血流显像表现

直径4cm以内的胰腺癌内很少能检测出血流信号,肿瘤增大时可于周边或内部检出少许血流信号,胰腺周围大血管较多,血管可被推移、挤压、浸润,或管腔内癌栓形成,CDFI有利于大血管的检查及鉴别。

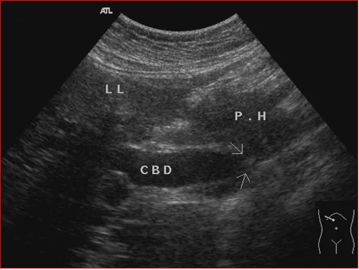
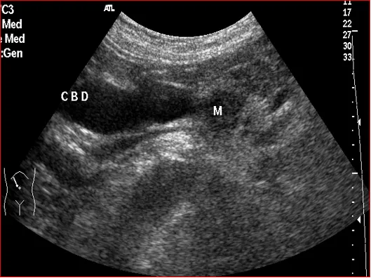
上腹部斜纵切显示胰头癌压迫胆总管

上腹部横切显示胰体部占位与腹腔干的关系

上腹部横切显示胰尾部占位压迫脾静脉呈“Z”形

饮水后上腹部横切,显示胰尾部占位与胃体后壁的关系

鉴别诊断

● 假瘤型胰腺炎  见慢性胰腺炎鉴别诊断。

● 慢性胰腺炎  见慢性胰腺炎鉴别诊断。

● 无功能胰岛细胞瘤 

肿瘤多位于体尾部,边界清,有包膜,后方无衰减,胰管无扩张或轻度扩张,CDFI示血流信号较胰腺癌丰富。

● 壶腹癌 

肿瘤位于管腔内,而非外压性;病灶较小时即出现黄疸、胆管扩张;胰腺肿大不明显,但胰管扩张明显。

● 胰腺囊腺癌 

肿瘤以实性回声为主者,需与胰腺癌鉴别,以实性为主的囊腺癌多呈高回声,且透声性好,后方回声无衰减或增强,胰管扩张较少见,肿瘤内血流信号较胰腺癌丰富。

● 胰腺原发淋巴瘤 

为胰腺罕见肿瘤,声像图表现为胰腺的极低回声肿物,个别可累及整个胰腺,胰腺原发淋巴瘤很少引起胰管扩张,多数病例声像图表现与胰腺癌难以鉴别,需穿刺活检明确诊断。

●  腹膜后肿瘤 

肿瘤位于脾静脉后方,与胰腺有一定的边界,胰管、胆管扩张较少见。

胰岛细胞瘤

病理

膜岛细胞瘤分为功能性与无功能性两种,属少见病。功能性胰岛细胞瘤分泌过多的胰岛素而引起相应的临床症状,称胰岛素瘤;无功能性胰岛细胞瘤为无特异性内分泌激素过多所致临床综合征的肿瘤。

临床表现

● 胰岛素瘤以反复发作空腹低血糖为特点

● 无功能胰岛细胞瘤缺乏特异性症状,起病隐匿,病程长,常以腹部包块为首发症状。

超声检查

● 胰岛素瘤:多为边界清、圆形、均匀低回声,CDFI示内部血流信号丰富。

● 无功能胰岛细胞瘤:直径<5cm的肿瘤多为圆形均匀低回声,边界清,有包膜。大的肿瘤呈类圆形、分叶状或不规则,呈低或混合回声(病灶坏死液化或钙化),胰腺变形,并挤压邻近血管脏器。

恶性肤岛细胞瘤一般体积较大,形态不规则,常有局部浸润或肝、脾、淋巴结转移声像图表现;CDFI示内部血流信号丰富,坏死液化内无血流信号。

胰腺头体部胰岛细胞瘤

恶性胰岛细胞瘤,伴淋巴结肿大

壶腹癌

病理

壶腹癌是来源于十二指肠乳头区、胆总管下端、胰管开口部、胆胰共通管的上皮类恶性肿瘤。病理可分为腺癌、乳头状腺癌、黏液腺癌与未分化癌,以腺癌、乳头状腺癌多见,预后较胰腺癌好。

临床表现

● 壶腹部肿瘤主要是恶性肿瘤,良性肿瘤极少见。

● 大多数发生于40岁以上男性。

● 本病较早出现黄疸,呈进行性加重。

● 常有上腹痛、上消化道出血、发热、贫血、食欲不振、恶心、呕吐及胆囊肿大、肝大。

超声检查

●  壶腹癌一般瘤体较小,直径多<3cm,位于胰头及IVC右侧。肿瘤可呈低、中、高回声,边界不清,扩张的胆管在此肿物处中断。

● 胆管扩张,肝内外胆管均匀性扩张,胆管内可有胆泥沉积。有时合并结石时,极易遗漏壶腹部的诊断。

● 胰管扩张,全程平滑扩张,内径>0.3cm。

● 淋巴结肿大。

● 周围大血管受侵犯。

● 肿瘤内常有血流信号。

壶腹部低回声占位,胆总管扩张

壶腹部占位导致左右肝内胆管扩张

鉴别诊断

壶腹部位于胆总管与主胰管汇合处、十二指肠乳头部,超声检查不易显示肿瘤本身,但当壶腹癌致胰、胆管扩张时,沿胆总管长轴顺时针旋转向下追踪,可能检出肿物。当然,由于壶腹部周围缺乏均质回声的对比参照物,易受肠气干扰,有时仍难以显示肿物,尤其要辨认出1cm以下的肿块常较困难。

根据超声检查胰、胆管扩张,胆管末端实性占位性病变,胰腺回声正常,可以做出壶腹癌的初步判断。如未能发现占位性病变,胰、胆管扩张明显,胰腺正常,应高度怀疑本病,行超声内镜或ERCP检查。

需鉴别诊断的疾病包括:

1. 胰头癌

壶腹癌位于管腔内,而非外压性;病灶较小时即出现黄疸,胆管扩张;胰腺肿大不明显,但胰管扩张明显。

2. 胆管结石 

结石常嵌顿于壶腹部,为强回声,后伴声影。

3. 壶腹部炎性狭窄 

胆总管末端逐渐变细,内无肿瘤回声,经腹超声有时鉴别较困难,EUB或ERCP诊断率高。

声明:文章内容仅供学习使用,如有侵权,请联系删除

溆浦城南医院超声科

曾林波  副院长/功能科主任  主任医师

13789280298(微信同号)

一对一手把手带教,让每个进修人员都能学有所成

最新文章

随机文章

基本 文件 流程 错误 SQL 调试
  1. 请求信息 : 2026-04-20 21:06:34 HTTP/2.0 GET : https://a.sjds.net/a/472674.html
  2. 运行时间 : 0.114874s [ 吞吐率:8.71req/s ] 内存消耗:4,871.49kb 文件加载:140
  3. 缓存信息 : 0 reads,0 writes
  4. 会话信息 : SESSION_ID=6ab3df31eceddac881c37e94a69dbd7a
  1. /yingpanguazai/ssd/ssd1/www/a.sjds.net/public/index.php ( 0.79 KB )
  2. /yingpanguazai/ssd/ssd1/www/a.sjds.net/vendor/autoload.php ( 0.17 KB )
  3. /yingpanguazai/ssd/ssd1/www/a.sjds.net/vendor/composer/autoload_real.php ( 2.49 KB )
  4. /yingpanguazai/ssd/ssd1/www/a.sjds.net/vendor/composer/platform_check.php ( 0.90 KB )
  5. /yingpanguazai/ssd/ssd1/www/a.sjds.net/vendor/composer/ClassLoader.php ( 14.03 KB )
  6. /yingpanguazai/ssd/ssd1/www/a.sjds.net/vendor/composer/autoload_static.php ( 4.90 KB )
  7. /yingpanguazai/ssd/ssd1/www/a.sjds.net/vendor/topthink/think-helper/src/helper.php ( 8.34 KB )
  8. /yingpanguazai/ssd/ssd1/www/a.sjds.net/vendor/topthink/think-validate/src/helper.php ( 2.19 KB )
  9. /yingpanguazai/ssd/ssd1/www/a.sjds.net/vendor/topthink/think-orm/src/helper.php ( 1.47 KB )
  10. /yingpanguazai/ssd/ssd1/www/a.sjds.net/vendor/topthink/think-orm/stubs/load_stubs.php ( 0.16 KB )
  11. /yingpanguazai/ssd/ssd1/www/a.sjds.net/vendor/topthink/framework/src/think/Exception.php ( 1.69 KB )
  12. /yingpanguazai/ssd/ssd1/www/a.sjds.net/vendor/topthink/think-container/src/Facade.php ( 2.71 KB )
  13. /yingpanguazai/ssd/ssd1/www/a.sjds.net/vendor/symfony/deprecation-contracts/function.php ( 0.99 KB )
  14. /yingpanguazai/ssd/ssd1/www/a.sjds.net/vendor/symfony/polyfill-mbstring/bootstrap.php ( 8.26 KB )
  15. /yingpanguazai/ssd/ssd1/www/a.sjds.net/vendor/symfony/polyfill-mbstring/bootstrap80.php ( 9.78 KB )
  16. /yingpanguazai/ssd/ssd1/www/a.sjds.net/vendor/symfony/var-dumper/Resources/functions/dump.php ( 1.49 KB )
  17. /yingpanguazai/ssd/ssd1/www/a.sjds.net/vendor/topthink/think-dumper/src/helper.php ( 0.18 KB )
  18. /yingpanguazai/ssd/ssd1/www/a.sjds.net/vendor/symfony/var-dumper/VarDumper.php ( 4.30 KB )
  19. /yingpanguazai/ssd/ssd1/www/a.sjds.net/vendor/topthink/framework/src/think/App.php ( 15.30 KB )
  20. /yingpanguazai/ssd/ssd1/www/a.sjds.net/vendor/topthink/think-container/src/Container.php ( 15.76 KB )
  21. /yingpanguazai/ssd/ssd1/www/a.sjds.net/vendor/psr/container/src/ContainerInterface.php ( 1.02 KB )
  22. /yingpanguazai/ssd/ssd1/www/a.sjds.net/app/provider.php ( 0.19 KB )
  23. /yingpanguazai/ssd/ssd1/www/a.sjds.net/vendor/topthink/framework/src/think/Http.php ( 6.04 KB )
  24. /yingpanguazai/ssd/ssd1/www/a.sjds.net/vendor/topthink/think-helper/src/helper/Str.php ( 7.29 KB )
  25. /yingpanguazai/ssd/ssd1/www/a.sjds.net/vendor/topthink/framework/src/think/Env.php ( 4.68 KB )
  26. /yingpanguazai/ssd/ssd1/www/a.sjds.net/app/common.php ( 0.03 KB )
  27. /yingpanguazai/ssd/ssd1/www/a.sjds.net/vendor/topthink/framework/src/helper.php ( 18.78 KB )
  28. /yingpanguazai/ssd/ssd1/www/a.sjds.net/vendor/topthink/framework/src/think/Config.php ( 5.54 KB )
  29. /yingpanguazai/ssd/ssd1/www/a.sjds.net/config/app.php ( 0.95 KB )
  30. /yingpanguazai/ssd/ssd1/www/a.sjds.net/config/cache.php ( 0.78 KB )
  31. /yingpanguazai/ssd/ssd1/www/a.sjds.net/config/console.php ( 0.23 KB )
  32. /yingpanguazai/ssd/ssd1/www/a.sjds.net/config/cookie.php ( 0.56 KB )
  33. /yingpanguazai/ssd/ssd1/www/a.sjds.net/config/database.php ( 2.48 KB )
  34. /yingpanguazai/ssd/ssd1/www/a.sjds.net/vendor/topthink/framework/src/think/facade/Env.php ( 1.67 KB )
  35. /yingpanguazai/ssd/ssd1/www/a.sjds.net/config/filesystem.php ( 0.61 KB )
  36. /yingpanguazai/ssd/ssd1/www/a.sjds.net/config/lang.php ( 0.91 KB )
  37. /yingpanguazai/ssd/ssd1/www/a.sjds.net/config/log.php ( 1.35 KB )
  38. /yingpanguazai/ssd/ssd1/www/a.sjds.net/config/middleware.php ( 0.19 KB )
  39. /yingpanguazai/ssd/ssd1/www/a.sjds.net/config/route.php ( 1.89 KB )
  40. /yingpanguazai/ssd/ssd1/www/a.sjds.net/config/session.php ( 0.57 KB )
  41. /yingpanguazai/ssd/ssd1/www/a.sjds.net/config/trace.php ( 0.34 KB )
  42. /yingpanguazai/ssd/ssd1/www/a.sjds.net/config/view.php ( 0.82 KB )
  43. /yingpanguazai/ssd/ssd1/www/a.sjds.net/app/event.php ( 0.25 KB )
  44. /yingpanguazai/ssd/ssd1/www/a.sjds.net/vendor/topthink/framework/src/think/Event.php ( 7.67 KB )
  45. /yingpanguazai/ssd/ssd1/www/a.sjds.net/app/service.php ( 0.13 KB )
  46. /yingpanguazai/ssd/ssd1/www/a.sjds.net/app/AppService.php ( 0.26 KB )
  47. /yingpanguazai/ssd/ssd1/www/a.sjds.net/vendor/topthink/framework/src/think/Service.php ( 1.64 KB )
  48. /yingpanguazai/ssd/ssd1/www/a.sjds.net/vendor/topthink/framework/src/think/Lang.php ( 7.35 KB )
  49. /yingpanguazai/ssd/ssd1/www/a.sjds.net/vendor/topthink/framework/src/lang/zh-cn.php ( 13.70 KB )
  50. /yingpanguazai/ssd/ssd1/www/a.sjds.net/vendor/topthink/framework/src/think/initializer/Error.php ( 3.31 KB )
  51. /yingpanguazai/ssd/ssd1/www/a.sjds.net/vendor/topthink/framework/src/think/initializer/RegisterService.php ( 1.33 KB )
  52. /yingpanguazai/ssd/ssd1/www/a.sjds.net/vendor/services.php ( 0.14 KB )
  53. /yingpanguazai/ssd/ssd1/www/a.sjds.net/vendor/topthink/framework/src/think/service/PaginatorService.php ( 1.52 KB )
  54. /yingpanguazai/ssd/ssd1/www/a.sjds.net/vendor/topthink/framework/src/think/service/ValidateService.php ( 0.99 KB )
  55. /yingpanguazai/ssd/ssd1/www/a.sjds.net/vendor/topthink/framework/src/think/service/ModelService.php ( 2.04 KB )
  56. /yingpanguazai/ssd/ssd1/www/a.sjds.net/vendor/topthink/think-trace/src/Service.php ( 0.77 KB )
  57. /yingpanguazai/ssd/ssd1/www/a.sjds.net/vendor/topthink/framework/src/think/Middleware.php ( 6.72 KB )
  58. /yingpanguazai/ssd/ssd1/www/a.sjds.net/vendor/topthink/framework/src/think/initializer/BootService.php ( 0.77 KB )
  59. /yingpanguazai/ssd/ssd1/www/a.sjds.net/vendor/topthink/think-orm/src/Paginator.php ( 11.86 KB )
  60. /yingpanguazai/ssd/ssd1/www/a.sjds.net/vendor/topthink/think-validate/src/Validate.php ( 63.20 KB )
  61. /yingpanguazai/ssd/ssd1/www/a.sjds.net/vendor/topthink/think-orm/src/Model.php ( 23.55 KB )
  62. /yingpanguazai/ssd/ssd1/www/a.sjds.net/vendor/topthink/think-orm/src/model/concern/Attribute.php ( 21.05 KB )
  63. /yingpanguazai/ssd/ssd1/www/a.sjds.net/vendor/topthink/think-orm/src/model/concern/AutoWriteData.php ( 4.21 KB )
  64. /yingpanguazai/ssd/ssd1/www/a.sjds.net/vendor/topthink/think-orm/src/model/concern/Conversion.php ( 6.44 KB )
  65. /yingpanguazai/ssd/ssd1/www/a.sjds.net/vendor/topthink/think-orm/src/model/concern/DbConnect.php ( 5.16 KB )
  66. /yingpanguazai/ssd/ssd1/www/a.sjds.net/vendor/topthink/think-orm/src/model/concern/ModelEvent.php ( 2.33 KB )
  67. /yingpanguazai/ssd/ssd1/www/a.sjds.net/vendor/topthink/think-orm/src/model/concern/RelationShip.php ( 28.29 KB )
  68. /yingpanguazai/ssd/ssd1/www/a.sjds.net/vendor/topthink/think-helper/src/contract/Arrayable.php ( 0.09 KB )
  69. /yingpanguazai/ssd/ssd1/www/a.sjds.net/vendor/topthink/think-helper/src/contract/Jsonable.php ( 0.13 KB )
  70. /yingpanguazai/ssd/ssd1/www/a.sjds.net/vendor/topthink/think-orm/src/model/contract/Modelable.php ( 0.09 KB )
  71. /yingpanguazai/ssd/ssd1/www/a.sjds.net/vendor/topthink/framework/src/think/Db.php ( 2.88 KB )
  72. /yingpanguazai/ssd/ssd1/www/a.sjds.net/vendor/topthink/think-orm/src/DbManager.php ( 8.52 KB )
  73. /yingpanguazai/ssd/ssd1/www/a.sjds.net/vendor/topthink/framework/src/think/Log.php ( 6.28 KB )
  74. /yingpanguazai/ssd/ssd1/www/a.sjds.net/vendor/topthink/framework/src/think/Manager.php ( 3.92 KB )
  75. /yingpanguazai/ssd/ssd1/www/a.sjds.net/vendor/psr/log/src/LoggerTrait.php ( 2.69 KB )
  76. /yingpanguazai/ssd/ssd1/www/a.sjds.net/vendor/psr/log/src/LoggerInterface.php ( 2.71 KB )
  77. /yingpanguazai/ssd/ssd1/www/a.sjds.net/vendor/topthink/framework/src/think/Cache.php ( 4.92 KB )
  78. /yingpanguazai/ssd/ssd1/www/a.sjds.net/vendor/psr/simple-cache/src/CacheInterface.php ( 4.71 KB )
  79. /yingpanguazai/ssd/ssd1/www/a.sjds.net/vendor/topthink/think-helper/src/helper/Arr.php ( 16.63 KB )
  80. /yingpanguazai/ssd/ssd1/www/a.sjds.net/vendor/topthink/framework/src/think/cache/driver/File.php ( 7.84 KB )
  81. /yingpanguazai/ssd/ssd1/www/a.sjds.net/vendor/topthink/framework/src/think/cache/Driver.php ( 9.03 KB )
  82. /yingpanguazai/ssd/ssd1/www/a.sjds.net/vendor/topthink/framework/src/think/contract/CacheHandlerInterface.php ( 1.99 KB )
  83. /yingpanguazai/ssd/ssd1/www/a.sjds.net/app/Request.php ( 0.09 KB )
  84. /yingpanguazai/ssd/ssd1/www/a.sjds.net/vendor/topthink/framework/src/think/Request.php ( 55.78 KB )
  85. /yingpanguazai/ssd/ssd1/www/a.sjds.net/app/middleware.php ( 0.25 KB )
  86. /yingpanguazai/ssd/ssd1/www/a.sjds.net/vendor/topthink/framework/src/think/Pipeline.php ( 2.61 KB )
  87. /yingpanguazai/ssd/ssd1/www/a.sjds.net/vendor/topthink/think-trace/src/TraceDebug.php ( 3.40 KB )
  88. /yingpanguazai/ssd/ssd1/www/a.sjds.net/vendor/topthink/framework/src/think/middleware/SessionInit.php ( 1.94 KB )
  89. /yingpanguazai/ssd/ssd1/www/a.sjds.net/vendor/topthink/framework/src/think/Session.php ( 1.80 KB )
  90. /yingpanguazai/ssd/ssd1/www/a.sjds.net/vendor/topthink/framework/src/think/session/driver/File.php ( 6.27 KB )
  91. /yingpanguazai/ssd/ssd1/www/a.sjds.net/vendor/topthink/framework/src/think/contract/SessionHandlerInterface.php ( 0.87 KB )
  92. /yingpanguazai/ssd/ssd1/www/a.sjds.net/vendor/topthink/framework/src/think/session/Store.php ( 7.12 KB )
  93. /yingpanguazai/ssd/ssd1/www/a.sjds.net/vendor/topthink/framework/src/think/Route.php ( 23.73 KB )
  94. /yingpanguazai/ssd/ssd1/www/a.sjds.net/vendor/topthink/framework/src/think/route/RuleName.php ( 5.75 KB )
  95. /yingpanguazai/ssd/ssd1/www/a.sjds.net/vendor/topthink/framework/src/think/route/Domain.php ( 2.53 KB )
  96. /yingpanguazai/ssd/ssd1/www/a.sjds.net/vendor/topthink/framework/src/think/route/RuleGroup.php ( 22.43 KB )
  97. /yingpanguazai/ssd/ssd1/www/a.sjds.net/vendor/topthink/framework/src/think/route/Rule.php ( 26.95 KB )
  98. /yingpanguazai/ssd/ssd1/www/a.sjds.net/vendor/topthink/framework/src/think/route/RuleItem.php ( 9.78 KB )
  99. /yingpanguazai/ssd/ssd1/www/a.sjds.net/route/app.php ( 1.72 KB )
  100. /yingpanguazai/ssd/ssd1/www/a.sjds.net/vendor/topthink/framework/src/think/facade/Route.php ( 4.70 KB )
  101. /yingpanguazai/ssd/ssd1/www/a.sjds.net/vendor/topthink/framework/src/think/route/dispatch/Controller.php ( 4.74 KB )
  102. /yingpanguazai/ssd/ssd1/www/a.sjds.net/vendor/topthink/framework/src/think/route/Dispatch.php ( 10.44 KB )
  103. /yingpanguazai/ssd/ssd1/www/a.sjds.net/app/controller/Index.php ( 4.81 KB )
  104. /yingpanguazai/ssd/ssd1/www/a.sjds.net/app/BaseController.php ( 2.05 KB )
  105. /yingpanguazai/ssd/ssd1/www/a.sjds.net/vendor/topthink/think-orm/src/facade/Db.php ( 0.93 KB )
  106. /yingpanguazai/ssd/ssd1/www/a.sjds.net/vendor/topthink/think-orm/src/db/connector/Mysql.php ( 5.44 KB )
  107. /yingpanguazai/ssd/ssd1/www/a.sjds.net/vendor/topthink/think-orm/src/db/PDOConnection.php ( 52.47 KB )
  108. /yingpanguazai/ssd/ssd1/www/a.sjds.net/vendor/topthink/think-orm/src/db/Connection.php ( 8.39 KB )
  109. /yingpanguazai/ssd/ssd1/www/a.sjds.net/vendor/topthink/think-orm/src/db/ConnectionInterface.php ( 4.57 KB )
  110. /yingpanguazai/ssd/ssd1/www/a.sjds.net/vendor/topthink/think-orm/src/db/builder/Mysql.php ( 16.58 KB )
  111. /yingpanguazai/ssd/ssd1/www/a.sjds.net/vendor/topthink/think-orm/src/db/Builder.php ( 24.06 KB )
  112. /yingpanguazai/ssd/ssd1/www/a.sjds.net/vendor/topthink/think-orm/src/db/BaseBuilder.php ( 27.50 KB )
  113. /yingpanguazai/ssd/ssd1/www/a.sjds.net/vendor/topthink/think-orm/src/db/Query.php ( 15.71 KB )
  114. /yingpanguazai/ssd/ssd1/www/a.sjds.net/vendor/topthink/think-orm/src/db/BaseQuery.php ( 45.13 KB )
  115. /yingpanguazai/ssd/ssd1/www/a.sjds.net/vendor/topthink/think-orm/src/db/concern/TimeFieldQuery.php ( 7.43 KB )
  116. /yingpanguazai/ssd/ssd1/www/a.sjds.net/vendor/topthink/think-orm/src/db/concern/AggregateQuery.php ( 3.26 KB )
  117. /yingpanguazai/ssd/ssd1/www/a.sjds.net/vendor/topthink/think-orm/src/db/concern/ModelRelationQuery.php ( 20.07 KB )
  118. /yingpanguazai/ssd/ssd1/www/a.sjds.net/vendor/topthink/think-orm/src/db/concern/ParamsBind.php ( 3.66 KB )
  119. /yingpanguazai/ssd/ssd1/www/a.sjds.net/vendor/topthink/think-orm/src/db/concern/ResultOperation.php ( 7.01 KB )
  120. /yingpanguazai/ssd/ssd1/www/a.sjds.net/vendor/topthink/think-orm/src/db/concern/WhereQuery.php ( 19.37 KB )
  121. /yingpanguazai/ssd/ssd1/www/a.sjds.net/vendor/topthink/think-orm/src/db/concern/JoinAndViewQuery.php ( 7.11 KB )
  122. /yingpanguazai/ssd/ssd1/www/a.sjds.net/vendor/topthink/think-orm/src/db/concern/TableFieldInfo.php ( 2.63 KB )
  123. /yingpanguazai/ssd/ssd1/www/a.sjds.net/vendor/topthink/think-orm/src/db/concern/Transaction.php ( 2.77 KB )
  124. /yingpanguazai/ssd/ssd1/www/a.sjds.net/vendor/topthink/framework/src/think/log/driver/File.php ( 5.96 KB )
  125. /yingpanguazai/ssd/ssd1/www/a.sjds.net/vendor/topthink/framework/src/think/contract/LogHandlerInterface.php ( 0.86 KB )
  126. /yingpanguazai/ssd/ssd1/www/a.sjds.net/vendor/topthink/framework/src/think/log/Channel.php ( 3.89 KB )
  127. /yingpanguazai/ssd/ssd1/www/a.sjds.net/vendor/topthink/framework/src/think/event/LogRecord.php ( 1.02 KB )
  128. /yingpanguazai/ssd/ssd1/www/a.sjds.net/vendor/topthink/think-helper/src/Collection.php ( 16.47 KB )
  129. /yingpanguazai/ssd/ssd1/www/a.sjds.net/vendor/topthink/framework/src/think/facade/View.php ( 1.70 KB )
  130. /yingpanguazai/ssd/ssd1/www/a.sjds.net/vendor/topthink/framework/src/think/View.php ( 4.39 KB )
  131. /yingpanguazai/ssd/ssd1/www/a.sjds.net/vendor/topthink/framework/src/think/Response.php ( 8.81 KB )
  132. /yingpanguazai/ssd/ssd1/www/a.sjds.net/vendor/topthink/framework/src/think/response/View.php ( 3.29 KB )
  133. /yingpanguazai/ssd/ssd1/www/a.sjds.net/vendor/topthink/framework/src/think/Cookie.php ( 6.06 KB )
  134. /yingpanguazai/ssd/ssd1/www/a.sjds.net/vendor/topthink/think-view/src/Think.php ( 8.38 KB )
  135. /yingpanguazai/ssd/ssd1/www/a.sjds.net/vendor/topthink/framework/src/think/contract/TemplateHandlerInterface.php ( 1.60 KB )
  136. /yingpanguazai/ssd/ssd1/www/a.sjds.net/vendor/topthink/think-template/src/Template.php ( 46.61 KB )
  137. /yingpanguazai/ssd/ssd1/www/a.sjds.net/vendor/topthink/think-template/src/template/driver/File.php ( 2.41 KB )
  138. /yingpanguazai/ssd/ssd1/www/a.sjds.net/vendor/topthink/think-template/src/template/contract/DriverInterface.php ( 0.86 KB )
  139. /yingpanguazai/ssd/ssd1/www/a.sjds.net/runtime/temp/97cad012e8e159aae2fe347a411e8351.php ( 12.06 KB )
  140. /yingpanguazai/ssd/ssd1/www/a.sjds.net/vendor/topthink/think-trace/src/Html.php ( 4.42 KB )
  1. CONNECT:[ UseTime:0.000419s ] mysql:host=127.0.0.1;port=3306;dbname=a_sjds;charset=utf8mb4
  2. SHOW FULL COLUMNS FROM `fenlei` [ RunTime:0.000541s ]
  3. SELECT * FROM `fenlei` WHERE `fid` = 0 [ RunTime:0.000283s ]
  4. SELECT * FROM `fenlei` WHERE `fid` = 63 [ RunTime:0.000276s ]
  5. SHOW FULL COLUMNS FROM `set` [ RunTime:0.000535s ]
  6. SELECT * FROM `set` [ RunTime:0.000266s ]
  7. SHOW FULL COLUMNS FROM `article` [ RunTime:0.000570s ]
  8. SELECT * FROM `article` WHERE `id` = 472674 LIMIT 1 [ RunTime:0.005685s ]
  9. UPDATE `article` SET `lasttime` = 1776690394 WHERE `id` = 472674 [ RunTime:0.002611s ]
  10. SELECT * FROM `fenlei` WHERE `id` = 66 LIMIT 1 [ RunTime:0.001588s ]
  11. SELECT * FROM `article` WHERE `id` < 472674 ORDER BY `id` DESC LIMIT 1 [ RunTime:0.001696s ]
  12. SELECT * FROM `article` WHERE `id` > 472674 ORDER BY `id` ASC LIMIT 1 [ RunTime:0.000757s ]
  13. SELECT * FROM `article` WHERE `id` < 472674 ORDER BY `id` DESC LIMIT 10 [ RunTime:0.005627s ]
  14. SELECT * FROM `article` WHERE `id` < 472674 ORDER BY `id` DESC LIMIT 10,10 [ RunTime:0.007122s ]
  15. SELECT * FROM `article` WHERE `id` < 472674 ORDER BY `id` DESC LIMIT 20,10 [ RunTime:0.006848s ]
0.116376s