当前位置:首页>课件>【春节特刊进修生系列课件】浅表淋巴结疾病的超声诊断(十二)

【春节特刊进修生系列课件】浅表淋巴结疾病的超声诊断(十二)

  • 2026-04-09 23:42:23
【春节特刊进修生系列课件】浅表淋巴结疾病的超声诊断(十二)

浅表淋巴结疾病的

超声诊断

— 溆浦城南医院超声科 —

01

解剖结构

● 正常淋巴结呈扁椭圆形。

● 大小不一,1~25mm不等。

● 表面包有结缔组织的被膜。

● 淋巴结门:为淋巴结凹陷处,有血管、神经和输出淋巴管。

● 实质:周围皮质区+中央髓质区。

分布:

● 浅表:主要分布于人体头颈部、腋下、 腹股沟区等浅表部位。

● 深部:腹腔及腹膜后(肠系膜、腹主动 脉旁)。

腋窝淋巴结分区:

 ● Ⅰ区:腋下组

 ● Ⅱ区:腋中组

 ● Ⅲ区:腋上组

分为浅群和深群:

● 浅群:位于腹股沟韧带、大隐静脉末端周围。

● 深群:位于股静脉周围。

02

正常淋巴结声像图

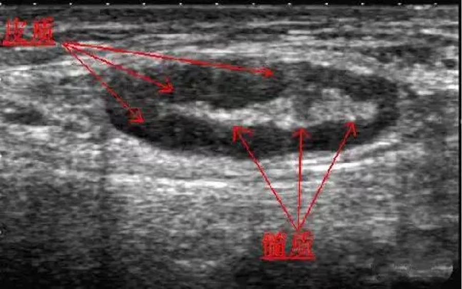
● 形态:呈偏长椭圆形,包膜清晰,表面光滑

● 大小:大多数长径(L)<20mm,少数也可以超过30mm,厚径(S)<6.5mm,L/S≥2。单一的长径无临床使用价值。

● 内部回声:周边皮质呈均匀低回声,中央髓质呈窄条状高回声。淋巴结门位居中或者稍偏一侧。有时门位显示不清。

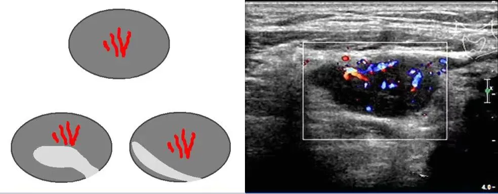
● CDFI检查:门位血流,动脉经淋巴门从髓质向皮质区呈放射状、树杈状、或仅显示髓质内点状或条状血流信号。

脉冲多普勒检测淋巴结内动脉血流为低速低阻型(0.57±0.1)。

03

淋巴结超声表现观察内容

1.形态及纵横比( 椭圆形、球形)。

2.皮质回声、形态。

3.髓质位置形态(居中、偏心、变形、消失) 。

4.内部回声(有无钙化、液化)。

5.血管模式(无血流、淋巴门型、中央型、周边型、混合型)。

6.界限,有无相互融合表现。

01

形态、大小

● 淋巴结最大切面的纵、横径线、横径较纵径有价值;非特异性炎性,纵横径常均匀性增大。

● 纵横比<2为形态失常,多见于恶性淋巴结。

● 正常下颌下及腮腺区淋巴结趋于圆形。

恶性淋巴结通常较大。但是,炎性的淋巴结也可和恶性淋巴结一样大。而且,转移性的淋巴结也可表现为较小的状态。因此,淋巴结的大小不能作为鉴别诊断的唯一标准。然而,在临床实践中,当原发瘤明确的患者,当动态连续观察淋巴结呈持续性增大时,强烈提示为转移性淋巴结。而且,恶性淋巴结大小的连续变化在监测患者对于治疗的反应方面用处较大。

02

皮质

狭窄型

狭窄型皮质几乎均见于良性淋巴结。

向心性宽阔型

● 皮质厚度大于淋巴门直径的1/2 。

● 向心性宽阔型的淋巴结皮质多见于恶性淋巴结。

● 也可见于良性淋巴结。

m

偏心性宽阔型

一端的皮质厚度至少是另一端的两倍;偏心性宽阔型的皮质绝大多数见于恶性淋巴结;有时也可因皮质内的肉芽肿或局灶性的滤泡增生所致。

03

髓质

髓质偏移、不规则、消失,多见于转移癌,也可见于反应性增生。

04

内部回声

● 主要观察内部的回声分布和强度情况。

● 回声强度有增强和减弱之分。

实性高回声可见于大的转移性淋巴结。

无回声常由甲状腺囊性乳头状癌、鼻咽部癌的转移性淋巴结囊性变所致。

甲状腺乳头状癌或髓样癌转移的淋巴结中可有微小钙化点。

斑块状高回声可见于结核性淋巴结,是因凝固坏死所致,常合并囊性改变。

● 钙化:结内钙化在淋巴结病中很少见。然而,大约50-60%的转移自甲状腺乳头状癌的淋巴结可见结内有钙化灶。因此,淋巴结内出现特征性的钙化是鉴别淋巴结转移癌是否来自于甲状腺乳头状癌的一个重要的征象。

结内钙化也可见于淋巴瘤及治疗后的结核性淋巴结,但钙化通常较致密及声影明显。

● 淋巴结内坏死:淋巴结伴有结内坏死被认为是病理性的。结内坏死可被分为凝固性坏死和囊性坏死,囊性坏死更为常见。

凝固性坏死表现为淋巴结内部局部回声增强,囊性坏死表现为淋巴结内部出现无回声区。囊性坏死常见于结核性淋巴结及转移自鳞癌及甲状腺乳头状癌的淋巴结。

05

血管模式

淋巴门型

血流信号沿着高回声的淋巴门分布,或从淋巴门血管主干放射状发出,该血流可位于淋巴结中央或边缘,多见于良性淋巴结及淋巴瘤。

中央型

血流信号位于淋巴结中央,经多切面扫查均显示该血流信号不是来自淋巴结门部,尤其是紊乱的中央型血管见于恶性淋巴结。

周边型

血流信号位于淋巴结周边部,而淋巴门无血流信号,多见于淋巴结转移癌和淋巴瘤。

混合型

同时显示上述三种血流类型的两种或三种,可见于恶性淋巴结和结核性淋巴结。

06

界限

淋巴结融合成团是指多个异常的淋巴结侵及周围软组织而融合在一起的团块。

04

常见淋巴结疾病的声像图表现

01

急性淋巴结炎

● 淋巴结不同程度肿大,多呈椭圆形,纵横比>2。

● 被膜光滑,边界清楚,淋巴结之间无融合。

● 皮质增厚呈低回声,髓质居中、增厚,呈高回声。

● 淋巴结内血流信号明显增多,沿门部呈放射状、树枝状分布。

● 动脉血流为低阻型频谱。

● 脓肿形成时淋巴门消失,结内可见含细点状回声的液性暗区,加压可见漂动,病变严重时可突破被膜。

病例:右侧颈部肿痛3天,颈部可触及多个痛性结节。

超声描述:右侧颈部Ⅲ、Ⅳ区可见多发肿大的淋巴结,大者约21x6mm,呈椭圆形,皮质增厚,髓质居中,内部血流信号明显增多,呈放射状分布。

02

淋巴结反应性增生

● 淋巴结轻、中度肿大,多呈椭圆形,纵横比>2,部分呈近圆形。

● 被膜光滑,边界清楚,淋巴结之间无融合。

● 皮质增厚呈低回声,髓质居中、无明显增厚,部分髓质可偏移或消失。

● 淋巴结内血流信号轻度增多,呈点状或树枝状分布。

● 动脉血流为低阻型频谱。

病例:左侧颈部无痛性结节2周,体检颈部可触及数个结节,可活动,无触痛。

超声描述:左侧颈部见数个肿大淋巴结,呈椭圆形,淋巴结之间无融合,大者约28x12mm,皮质增厚,髓质偏移,内部血流信号增多,呈树杈状分布。

03

淋巴结结核

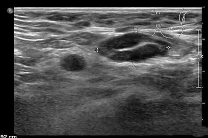
● 淋巴结不同程度肿大,多呈椭圆形,近圆形,纵横比>2。

● 被膜完整或不完整,淋巴结之间可融合成串珠样。

● 内部回声不均匀,以低回声为主,可见斑片状强回声,髓质偏心或显示不清。

● 淋巴结内血流信号增多、杂乱,干酪样坏死、脓肿区则无血流信号,可显示边缘少量血流信号。

● 脓肿形成时可见含细点状或絮状回声不规则液性暗区,加压可见流动,脓肿可突破包膜。

左腋下淋巴结结核样肉芽肿性炎并坏死及钙化。

病例:1岁男孩,发现腋窝包块2个月,质地较硬,患儿无明显发热。

超声描述:左侧腋窝可见两个混合回声团,边界清楚,内部回声不均匀,可见多个强回声点,未见明显淋巴结结构。内部见杂乱血流信号。

04

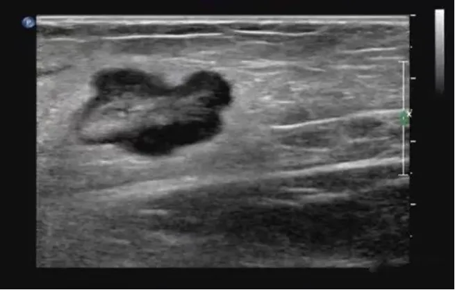
淋巴瘤

● 淋巴结不同程度肿大,多发,呈椭圆形、圆形,纵横比<2。

● 被膜清晰或不清晰,淋巴结之间可见融合。

● 皮质明显增厚呈低回声,不均匀,无液化、钙化;特征性回声改变为淋巴结内回声近似无回声的极低回声。

● 髓质变形或显示不清,或消失。

● 淋巴结内血流信号轻度或明显增多,分布杂乱;典型血流改变为淋巴结内血流信号丰富,红、蓝色血流信号充满整个淋巴结。

● 动脉血流速度加快,阻力指数正常或偏高。

淋巴瘤的血流信号在所有淋巴结中最为丰富。

淋巴结的内部回声一般表现为较均匀的低回声,当发生坏死时,其内部回声可相当低,接近无回声。

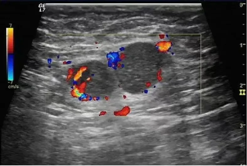
05

淋巴结转移癌

● 淋巴结不同程度肿大,多呈椭圆形,近圆形,纵横比<2。

● 被膜圆滑或局部隆起,边界清晰或不清晰,淋巴结之间可融合。

● 皮质弥漫性增厚或局限性增厚,内部回声因原发癌不同而异,大多数呈不均匀低-等回声,可有点状钙化或液化。

● 髓质偏心变形或消失。

● 结内血流有多血供、少血供,结内血管失去正常形态,也可为无血供、周边血供。

● 频谱多普勒多显示高速高阻型血流,通常RI>0.7。

肺癌左锁骨上淋巴结转移。

前列腺癌左锁骨上淋巴结转移。

黑色素瘤腹股沟转移。

声明:文章内容仅供学习使用,如有侵权,请联系删除

溆浦城南医院超声科

曾林波  副院长/功能科主任  主任医师

13789280298(微信同号)

最新文章

随机文章

基本 文件 流程 错误 SQL 调试
  1. 请求信息 : 2026-04-10 13:41:06 HTTP/2.0 GET : https://a.sjds.net/a/475344.html
  2. 运行时间 : 0.217217s [ 吞吐率:4.60req/s ] 内存消耗:4,329.63kb 文件加载:140
  3. 缓存信息 : 0 reads,0 writes
  4. 会话信息 : SESSION_ID=43ab37642d15c39aef424a65b6e924a7
  1. /yingpanguazai/ssd/ssd1/www/a.sjds.net/public/index.php ( 0.79 KB )
  2. /yingpanguazai/ssd/ssd1/www/a.sjds.net/vendor/autoload.php ( 0.17 KB )
  3. /yingpanguazai/ssd/ssd1/www/a.sjds.net/vendor/composer/autoload_real.php ( 2.49 KB )
  4. /yingpanguazai/ssd/ssd1/www/a.sjds.net/vendor/composer/platform_check.php ( 0.90 KB )
  5. /yingpanguazai/ssd/ssd1/www/a.sjds.net/vendor/composer/ClassLoader.php ( 14.03 KB )
  6. /yingpanguazai/ssd/ssd1/www/a.sjds.net/vendor/composer/autoload_static.php ( 4.90 KB )
  7. /yingpanguazai/ssd/ssd1/www/a.sjds.net/vendor/topthink/think-helper/src/helper.php ( 8.34 KB )
  8. /yingpanguazai/ssd/ssd1/www/a.sjds.net/vendor/topthink/think-validate/src/helper.php ( 2.19 KB )
  9. /yingpanguazai/ssd/ssd1/www/a.sjds.net/vendor/topthink/think-orm/src/helper.php ( 1.47 KB )
  10. /yingpanguazai/ssd/ssd1/www/a.sjds.net/vendor/topthink/think-orm/stubs/load_stubs.php ( 0.16 KB )
  11. /yingpanguazai/ssd/ssd1/www/a.sjds.net/vendor/topthink/framework/src/think/Exception.php ( 1.69 KB )
  12. /yingpanguazai/ssd/ssd1/www/a.sjds.net/vendor/topthink/think-container/src/Facade.php ( 2.71 KB )
  13. /yingpanguazai/ssd/ssd1/www/a.sjds.net/vendor/symfony/deprecation-contracts/function.php ( 0.99 KB )
  14. /yingpanguazai/ssd/ssd1/www/a.sjds.net/vendor/symfony/polyfill-mbstring/bootstrap.php ( 8.26 KB )
  15. /yingpanguazai/ssd/ssd1/www/a.sjds.net/vendor/symfony/polyfill-mbstring/bootstrap80.php ( 9.78 KB )
  16. /yingpanguazai/ssd/ssd1/www/a.sjds.net/vendor/symfony/var-dumper/Resources/functions/dump.php ( 1.49 KB )
  17. /yingpanguazai/ssd/ssd1/www/a.sjds.net/vendor/topthink/think-dumper/src/helper.php ( 0.18 KB )
  18. /yingpanguazai/ssd/ssd1/www/a.sjds.net/vendor/symfony/var-dumper/VarDumper.php ( 4.30 KB )
  19. /yingpanguazai/ssd/ssd1/www/a.sjds.net/vendor/topthink/framework/src/think/App.php ( 15.30 KB )
  20. /yingpanguazai/ssd/ssd1/www/a.sjds.net/vendor/topthink/think-container/src/Container.php ( 15.76 KB )
  21. /yingpanguazai/ssd/ssd1/www/a.sjds.net/vendor/psr/container/src/ContainerInterface.php ( 1.02 KB )
  22. /yingpanguazai/ssd/ssd1/www/a.sjds.net/app/provider.php ( 0.19 KB )
  23. /yingpanguazai/ssd/ssd1/www/a.sjds.net/vendor/topthink/framework/src/think/Http.php ( 6.04 KB )
  24. /yingpanguazai/ssd/ssd1/www/a.sjds.net/vendor/topthink/think-helper/src/helper/Str.php ( 7.29 KB )
  25. /yingpanguazai/ssd/ssd1/www/a.sjds.net/vendor/topthink/framework/src/think/Env.php ( 4.68 KB )
  26. /yingpanguazai/ssd/ssd1/www/a.sjds.net/app/common.php ( 0.03 KB )
  27. /yingpanguazai/ssd/ssd1/www/a.sjds.net/vendor/topthink/framework/src/helper.php ( 18.78 KB )
  28. /yingpanguazai/ssd/ssd1/www/a.sjds.net/vendor/topthink/framework/src/think/Config.php ( 5.54 KB )
  29. /yingpanguazai/ssd/ssd1/www/a.sjds.net/config/app.php ( 0.95 KB )
  30. /yingpanguazai/ssd/ssd1/www/a.sjds.net/config/cache.php ( 0.78 KB )
  31. /yingpanguazai/ssd/ssd1/www/a.sjds.net/config/console.php ( 0.23 KB )
  32. /yingpanguazai/ssd/ssd1/www/a.sjds.net/config/cookie.php ( 0.56 KB )
  33. /yingpanguazai/ssd/ssd1/www/a.sjds.net/config/database.php ( 2.48 KB )
  34. /yingpanguazai/ssd/ssd1/www/a.sjds.net/vendor/topthink/framework/src/think/facade/Env.php ( 1.67 KB )
  35. /yingpanguazai/ssd/ssd1/www/a.sjds.net/config/filesystem.php ( 0.61 KB )
  36. /yingpanguazai/ssd/ssd1/www/a.sjds.net/config/lang.php ( 0.91 KB )
  37. /yingpanguazai/ssd/ssd1/www/a.sjds.net/config/log.php ( 1.35 KB )
  38. /yingpanguazai/ssd/ssd1/www/a.sjds.net/config/middleware.php ( 0.19 KB )
  39. /yingpanguazai/ssd/ssd1/www/a.sjds.net/config/route.php ( 1.89 KB )
  40. /yingpanguazai/ssd/ssd1/www/a.sjds.net/config/session.php ( 0.57 KB )
  41. /yingpanguazai/ssd/ssd1/www/a.sjds.net/config/trace.php ( 0.34 KB )
  42. /yingpanguazai/ssd/ssd1/www/a.sjds.net/config/view.php ( 0.82 KB )
  43. /yingpanguazai/ssd/ssd1/www/a.sjds.net/app/event.php ( 0.25 KB )
  44. /yingpanguazai/ssd/ssd1/www/a.sjds.net/vendor/topthink/framework/src/think/Event.php ( 7.67 KB )
  45. /yingpanguazai/ssd/ssd1/www/a.sjds.net/app/service.php ( 0.13 KB )
  46. /yingpanguazai/ssd/ssd1/www/a.sjds.net/app/AppService.php ( 0.26 KB )
  47. /yingpanguazai/ssd/ssd1/www/a.sjds.net/vendor/topthink/framework/src/think/Service.php ( 1.64 KB )
  48. /yingpanguazai/ssd/ssd1/www/a.sjds.net/vendor/topthink/framework/src/think/Lang.php ( 7.35 KB )
  49. /yingpanguazai/ssd/ssd1/www/a.sjds.net/vendor/topthink/framework/src/lang/zh-cn.php ( 13.70 KB )
  50. /yingpanguazai/ssd/ssd1/www/a.sjds.net/vendor/topthink/framework/src/think/initializer/Error.php ( 3.31 KB )
  51. /yingpanguazai/ssd/ssd1/www/a.sjds.net/vendor/topthink/framework/src/think/initializer/RegisterService.php ( 1.33 KB )
  52. /yingpanguazai/ssd/ssd1/www/a.sjds.net/vendor/services.php ( 0.14 KB )
  53. /yingpanguazai/ssd/ssd1/www/a.sjds.net/vendor/topthink/framework/src/think/service/PaginatorService.php ( 1.52 KB )
  54. /yingpanguazai/ssd/ssd1/www/a.sjds.net/vendor/topthink/framework/src/think/service/ValidateService.php ( 0.99 KB )
  55. /yingpanguazai/ssd/ssd1/www/a.sjds.net/vendor/topthink/framework/src/think/service/ModelService.php ( 2.04 KB )
  56. /yingpanguazai/ssd/ssd1/www/a.sjds.net/vendor/topthink/think-trace/src/Service.php ( 0.77 KB )
  57. /yingpanguazai/ssd/ssd1/www/a.sjds.net/vendor/topthink/framework/src/think/Middleware.php ( 6.72 KB )
  58. /yingpanguazai/ssd/ssd1/www/a.sjds.net/vendor/topthink/framework/src/think/initializer/BootService.php ( 0.77 KB )
  59. /yingpanguazai/ssd/ssd1/www/a.sjds.net/vendor/topthink/think-orm/src/Paginator.php ( 11.86 KB )
  60. /yingpanguazai/ssd/ssd1/www/a.sjds.net/vendor/topthink/think-validate/src/Validate.php ( 63.20 KB )
  61. /yingpanguazai/ssd/ssd1/www/a.sjds.net/vendor/topthink/think-orm/src/Model.php ( 23.55 KB )
  62. /yingpanguazai/ssd/ssd1/www/a.sjds.net/vendor/topthink/think-orm/src/model/concern/Attribute.php ( 21.05 KB )
  63. /yingpanguazai/ssd/ssd1/www/a.sjds.net/vendor/topthink/think-orm/src/model/concern/AutoWriteData.php ( 4.21 KB )
  64. /yingpanguazai/ssd/ssd1/www/a.sjds.net/vendor/topthink/think-orm/src/model/concern/Conversion.php ( 6.44 KB )
  65. /yingpanguazai/ssd/ssd1/www/a.sjds.net/vendor/topthink/think-orm/src/model/concern/DbConnect.php ( 5.16 KB )
  66. /yingpanguazai/ssd/ssd1/www/a.sjds.net/vendor/topthink/think-orm/src/model/concern/ModelEvent.php ( 2.33 KB )
  67. /yingpanguazai/ssd/ssd1/www/a.sjds.net/vendor/topthink/think-orm/src/model/concern/RelationShip.php ( 28.29 KB )
  68. /yingpanguazai/ssd/ssd1/www/a.sjds.net/vendor/topthink/think-helper/src/contract/Arrayable.php ( 0.09 KB )
  69. /yingpanguazai/ssd/ssd1/www/a.sjds.net/vendor/topthink/think-helper/src/contract/Jsonable.php ( 0.13 KB )
  70. /yingpanguazai/ssd/ssd1/www/a.sjds.net/vendor/topthink/think-orm/src/model/contract/Modelable.php ( 0.09 KB )
  71. /yingpanguazai/ssd/ssd1/www/a.sjds.net/vendor/topthink/framework/src/think/Db.php ( 2.88 KB )
  72. /yingpanguazai/ssd/ssd1/www/a.sjds.net/vendor/topthink/think-orm/src/DbManager.php ( 8.52 KB )
  73. /yingpanguazai/ssd/ssd1/www/a.sjds.net/vendor/topthink/framework/src/think/Log.php ( 6.28 KB )
  74. /yingpanguazai/ssd/ssd1/www/a.sjds.net/vendor/topthink/framework/src/think/Manager.php ( 3.92 KB )
  75. /yingpanguazai/ssd/ssd1/www/a.sjds.net/vendor/psr/log/src/LoggerTrait.php ( 2.69 KB )
  76. /yingpanguazai/ssd/ssd1/www/a.sjds.net/vendor/psr/log/src/LoggerInterface.php ( 2.71 KB )
  77. /yingpanguazai/ssd/ssd1/www/a.sjds.net/vendor/topthink/framework/src/think/Cache.php ( 4.92 KB )
  78. /yingpanguazai/ssd/ssd1/www/a.sjds.net/vendor/psr/simple-cache/src/CacheInterface.php ( 4.71 KB )
  79. /yingpanguazai/ssd/ssd1/www/a.sjds.net/vendor/topthink/think-helper/src/helper/Arr.php ( 16.63 KB )
  80. /yingpanguazai/ssd/ssd1/www/a.sjds.net/vendor/topthink/framework/src/think/cache/driver/File.php ( 7.84 KB )
  81. /yingpanguazai/ssd/ssd1/www/a.sjds.net/vendor/topthink/framework/src/think/cache/Driver.php ( 9.03 KB )
  82. /yingpanguazai/ssd/ssd1/www/a.sjds.net/vendor/topthink/framework/src/think/contract/CacheHandlerInterface.php ( 1.99 KB )
  83. /yingpanguazai/ssd/ssd1/www/a.sjds.net/app/Request.php ( 0.09 KB )
  84. /yingpanguazai/ssd/ssd1/www/a.sjds.net/vendor/topthink/framework/src/think/Request.php ( 55.78 KB )
  85. /yingpanguazai/ssd/ssd1/www/a.sjds.net/app/middleware.php ( 0.25 KB )
  86. /yingpanguazai/ssd/ssd1/www/a.sjds.net/vendor/topthink/framework/src/think/Pipeline.php ( 2.61 KB )
  87. /yingpanguazai/ssd/ssd1/www/a.sjds.net/vendor/topthink/think-trace/src/TraceDebug.php ( 3.40 KB )
  88. /yingpanguazai/ssd/ssd1/www/a.sjds.net/vendor/topthink/framework/src/think/middleware/SessionInit.php ( 1.94 KB )
  89. /yingpanguazai/ssd/ssd1/www/a.sjds.net/vendor/topthink/framework/src/think/Session.php ( 1.80 KB )
  90. /yingpanguazai/ssd/ssd1/www/a.sjds.net/vendor/topthink/framework/src/think/session/driver/File.php ( 6.27 KB )
  91. /yingpanguazai/ssd/ssd1/www/a.sjds.net/vendor/topthink/framework/src/think/contract/SessionHandlerInterface.php ( 0.87 KB )
  92. /yingpanguazai/ssd/ssd1/www/a.sjds.net/vendor/topthink/framework/src/think/session/Store.php ( 7.12 KB )
  93. /yingpanguazai/ssd/ssd1/www/a.sjds.net/vendor/topthink/framework/src/think/Route.php ( 23.73 KB )
  94. /yingpanguazai/ssd/ssd1/www/a.sjds.net/vendor/topthink/framework/src/think/route/RuleName.php ( 5.75 KB )
  95. /yingpanguazai/ssd/ssd1/www/a.sjds.net/vendor/topthink/framework/src/think/route/Domain.php ( 2.53 KB )
  96. /yingpanguazai/ssd/ssd1/www/a.sjds.net/vendor/topthink/framework/src/think/route/RuleGroup.php ( 22.43 KB )
  97. /yingpanguazai/ssd/ssd1/www/a.sjds.net/vendor/topthink/framework/src/think/route/Rule.php ( 26.95 KB )
  98. /yingpanguazai/ssd/ssd1/www/a.sjds.net/vendor/topthink/framework/src/think/route/RuleItem.php ( 9.78 KB )
  99. /yingpanguazai/ssd/ssd1/www/a.sjds.net/route/app.php ( 1.72 KB )
  100. /yingpanguazai/ssd/ssd1/www/a.sjds.net/vendor/topthink/framework/src/think/facade/Route.php ( 4.70 KB )
  101. /yingpanguazai/ssd/ssd1/www/a.sjds.net/vendor/topthink/framework/src/think/route/dispatch/Controller.php ( 4.74 KB )
  102. /yingpanguazai/ssd/ssd1/www/a.sjds.net/vendor/topthink/framework/src/think/route/Dispatch.php ( 10.44 KB )
  103. /yingpanguazai/ssd/ssd1/www/a.sjds.net/app/controller/Index.php ( 4.81 KB )
  104. /yingpanguazai/ssd/ssd1/www/a.sjds.net/app/BaseController.php ( 2.05 KB )
  105. /yingpanguazai/ssd/ssd1/www/a.sjds.net/vendor/topthink/think-orm/src/facade/Db.php ( 0.93 KB )
  106. /yingpanguazai/ssd/ssd1/www/a.sjds.net/vendor/topthink/think-orm/src/db/connector/Mysql.php ( 5.44 KB )
  107. /yingpanguazai/ssd/ssd1/www/a.sjds.net/vendor/topthink/think-orm/src/db/PDOConnection.php ( 52.47 KB )
  108. /yingpanguazai/ssd/ssd1/www/a.sjds.net/vendor/topthink/think-orm/src/db/Connection.php ( 8.39 KB )
  109. /yingpanguazai/ssd/ssd1/www/a.sjds.net/vendor/topthink/think-orm/src/db/ConnectionInterface.php ( 4.57 KB )
  110. /yingpanguazai/ssd/ssd1/www/a.sjds.net/vendor/topthink/think-orm/src/db/builder/Mysql.php ( 16.58 KB )
  111. /yingpanguazai/ssd/ssd1/www/a.sjds.net/vendor/topthink/think-orm/src/db/Builder.php ( 24.06 KB )
  112. /yingpanguazai/ssd/ssd1/www/a.sjds.net/vendor/topthink/think-orm/src/db/BaseBuilder.php ( 27.50 KB )
  113. /yingpanguazai/ssd/ssd1/www/a.sjds.net/vendor/topthink/think-orm/src/db/Query.php ( 15.71 KB )
  114. /yingpanguazai/ssd/ssd1/www/a.sjds.net/vendor/topthink/think-orm/src/db/BaseQuery.php ( 45.13 KB )
  115. /yingpanguazai/ssd/ssd1/www/a.sjds.net/vendor/topthink/think-orm/src/db/concern/TimeFieldQuery.php ( 7.43 KB )
  116. /yingpanguazai/ssd/ssd1/www/a.sjds.net/vendor/topthink/think-orm/src/db/concern/AggregateQuery.php ( 3.26 KB )
  117. /yingpanguazai/ssd/ssd1/www/a.sjds.net/vendor/topthink/think-orm/src/db/concern/ModelRelationQuery.php ( 20.07 KB )
  118. /yingpanguazai/ssd/ssd1/www/a.sjds.net/vendor/topthink/think-orm/src/db/concern/ParamsBind.php ( 3.66 KB )
  119. /yingpanguazai/ssd/ssd1/www/a.sjds.net/vendor/topthink/think-orm/src/db/concern/ResultOperation.php ( 7.01 KB )
  120. /yingpanguazai/ssd/ssd1/www/a.sjds.net/vendor/topthink/think-orm/src/db/concern/WhereQuery.php ( 19.37 KB )
  121. /yingpanguazai/ssd/ssd1/www/a.sjds.net/vendor/topthink/think-orm/src/db/concern/JoinAndViewQuery.php ( 7.11 KB )
  122. /yingpanguazai/ssd/ssd1/www/a.sjds.net/vendor/topthink/think-orm/src/db/concern/TableFieldInfo.php ( 2.63 KB )
  123. /yingpanguazai/ssd/ssd1/www/a.sjds.net/vendor/topthink/think-orm/src/db/concern/Transaction.php ( 2.77 KB )
  124. /yingpanguazai/ssd/ssd1/www/a.sjds.net/vendor/topthink/framework/src/think/log/driver/File.php ( 5.96 KB )
  125. /yingpanguazai/ssd/ssd1/www/a.sjds.net/vendor/topthink/framework/src/think/contract/LogHandlerInterface.php ( 0.86 KB )
  126. /yingpanguazai/ssd/ssd1/www/a.sjds.net/vendor/topthink/framework/src/think/log/Channel.php ( 3.89 KB )
  127. /yingpanguazai/ssd/ssd1/www/a.sjds.net/vendor/topthink/framework/src/think/event/LogRecord.php ( 1.02 KB )
  128. /yingpanguazai/ssd/ssd1/www/a.sjds.net/vendor/topthink/think-helper/src/Collection.php ( 16.47 KB )
  129. /yingpanguazai/ssd/ssd1/www/a.sjds.net/vendor/topthink/framework/src/think/facade/View.php ( 1.70 KB )
  130. /yingpanguazai/ssd/ssd1/www/a.sjds.net/vendor/topthink/framework/src/think/View.php ( 4.39 KB )
  131. /yingpanguazai/ssd/ssd1/www/a.sjds.net/vendor/topthink/framework/src/think/Response.php ( 8.81 KB )
  132. /yingpanguazai/ssd/ssd1/www/a.sjds.net/vendor/topthink/framework/src/think/response/View.php ( 3.29 KB )
  133. /yingpanguazai/ssd/ssd1/www/a.sjds.net/vendor/topthink/framework/src/think/Cookie.php ( 6.06 KB )
  134. /yingpanguazai/ssd/ssd1/www/a.sjds.net/vendor/topthink/think-view/src/Think.php ( 8.38 KB )
  135. /yingpanguazai/ssd/ssd1/www/a.sjds.net/vendor/topthink/framework/src/think/contract/TemplateHandlerInterface.php ( 1.60 KB )
  136. /yingpanguazai/ssd/ssd1/www/a.sjds.net/vendor/topthink/think-template/src/Template.php ( 46.61 KB )
  137. /yingpanguazai/ssd/ssd1/www/a.sjds.net/vendor/topthink/think-template/src/template/driver/File.php ( 2.41 KB )
  138. /yingpanguazai/ssd/ssd1/www/a.sjds.net/vendor/topthink/think-template/src/template/contract/DriverInterface.php ( 0.86 KB )
  139. /yingpanguazai/ssd/ssd1/www/a.sjds.net/runtime/temp/97cad012e8e159aae2fe347a411e8351.php ( 12.06 KB )
  140. /yingpanguazai/ssd/ssd1/www/a.sjds.net/vendor/topthink/think-trace/src/Html.php ( 4.42 KB )
  1. CONNECT:[ UseTime:0.001185s ] mysql:host=127.0.0.1;port=3306;dbname=a_sjds;charset=utf8mb4
  2. SHOW FULL COLUMNS FROM `fenlei` [ RunTime:0.001642s ]
  3. SELECT * FROM `fenlei` WHERE `fid` = 0 [ RunTime:0.000734s ]
  4. SELECT * FROM `fenlei` WHERE `fid` = 63 [ RunTime:0.000664s ]
  5. SHOW FULL COLUMNS FROM `set` [ RunTime:0.001289s ]
  6. SELECT * FROM `set` [ RunTime:0.000512s ]
  7. SHOW FULL COLUMNS FROM `article` [ RunTime:0.001445s ]
  8. SELECT * FROM `article` WHERE `id` = 475344 LIMIT 1 [ RunTime:0.001090s ]
  9. UPDATE `article` SET `lasttime` = 1775799666 WHERE `id` = 475344 [ RunTime:0.018844s ]
  10. SELECT * FROM `fenlei` WHERE `id` = 66 LIMIT 1 [ RunTime:0.000594s ]
  11. SELECT * FROM `article` WHERE `id` < 475344 ORDER BY `id` DESC LIMIT 1 [ RunTime:0.001588s ]
  12. SELECT * FROM `article` WHERE `id` > 475344 ORDER BY `id` ASC LIMIT 1 [ RunTime:0.001012s ]
  13. SELECT * FROM `article` WHERE `id` < 475344 ORDER BY `id` DESC LIMIT 10 [ RunTime:0.012116s ]
  14. SELECT * FROM `article` WHERE `id` < 475344 ORDER BY `id` DESC LIMIT 10,10 [ RunTime:0.011280s ]
  15. SELECT * FROM `article` WHERE `id` < 475344 ORDER BY `id` DESC LIMIT 20,10 [ RunTime:0.002728s ]
0.220908s