当前位置:首页>课件>【春节特刊进修生系列课件】脾脏超声诊断(初五)

【春节特刊进修生系列课件】脾脏超声诊断(初五)

  • 2026-04-20 02:45:17
【春节特刊进修生系列课件】脾脏超声诊断(初五)

脾脏超声诊断

— 溆浦城南医院超声科 —

01

正常脾脏的解剖

●脾脏位于左季肋区深部的腹腔内,胃底与膈肌之间。

●第9-11肋的深面,长轴与第10肋一致。

●脾血管包括脾动脉和脾静脉。

●脾动脉是腹腔动脉的最大分支,沿胰腺上缘走行并向胰腺发出分支,达脾门并发出上方的胃短动脉诸小支和在下方的胃网膜左动脉,然后分出2~3个末支进入脾脏。

●脾静脉由脾门处的2~6个属支组成,在脾动脉的后下方行于胰尾和胰体后上部的沟中,达胰颈部与肠系膜上静脉汇合成门静脉主干,脾静脉管径一般比脾动脉大一倍。 

02

超声检查方法

脾脏超声检查的常用体位:右侧卧位和仰卧位

脾脏超声检查的扫查切面途径:

 1.左肋间切面:右侧卧位或仰卧位。探头置于左第 9~11肋间,调整探头角度,可获取近乎脾脏长轴的斜切面。这是观察脾脏形态、内部结构及脾脏血管的最常用切面。

2.冠状切面:仰卧位或右侧卧位。探头置于左腋后线至左腋中线,可显示脾脏的冠状切面。

3.左肋下斜切面:仰卧位。在脾肿大或显示脾门结构与周围的关系时采用。

4.背部肋间切面:俯卧位。于左肩胛线与腋后线之间进行扫查。 

03

正常脾脏的超声表现 

01

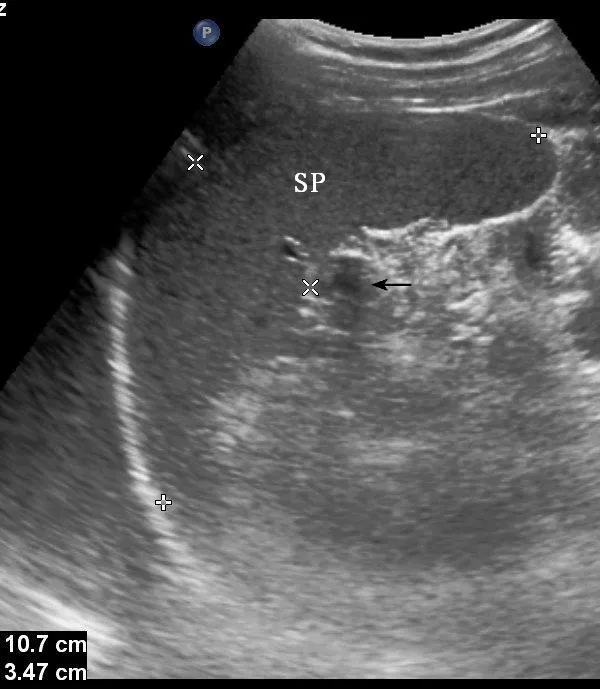
左肋间切面

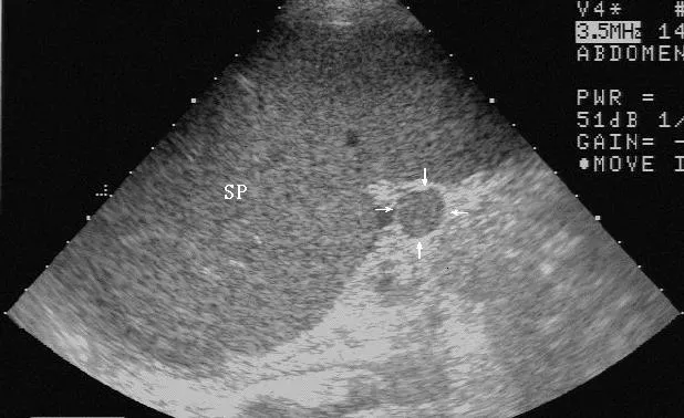
灰阶超声,正常脾脏,左肋间扫查显示脾脏实质回声(SP)及脾门结构(箭头所示)。

02

脾脏血管分布

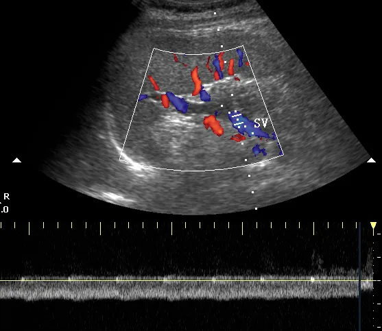
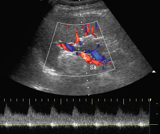
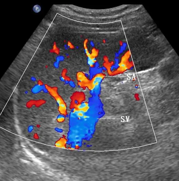
     彩色多普勒,正常脾脏,显示脾门处红色的脾动脉(SA)和蓝色的脾静脉(SV) 。

 脉冲多普勒,正常脾脏,显示脾动脉搏动性血流曲线(图1,SA)和脾静脉连续性血流曲线(图2,SV)。

03

正常脾脏超声造影表现

注射超声造影剂SonoVue约10~15秒后,脾内小血管由脾门处开始呈放射状向内分枝样增强,随后脾实质开始不均匀增强。约40~50秒后,脾实质呈均匀增强,持续约5~10分钟。

04

脾脏疾病的超声表现

01

脾脏先天性异常-副脾

●于胚胎期在背侧的胃系膜内,由一些脾组织芽胚未能融合而成。其发生率可达15~40%,多位于脾门处、脾蒂及大网膜。 

●灰阶超声:多呈圆形或椭圆形,包膜清晰完整,内部回声细小致密与正常脾脏回声一致,多位于脾门处 。

●彩色多普勒:可显示脾血管的彩色血流进入副脾,脉冲多普勒可测及其血流为动脉及静脉血流曲线。 

●超声造影:副脾与脾脏呈同步增强、同步减退,其内部回声与脾实质回声相同。在造影早期,有时可观察到一支小动脉由脾门开始出现,并通入与其对应的副脾内 。

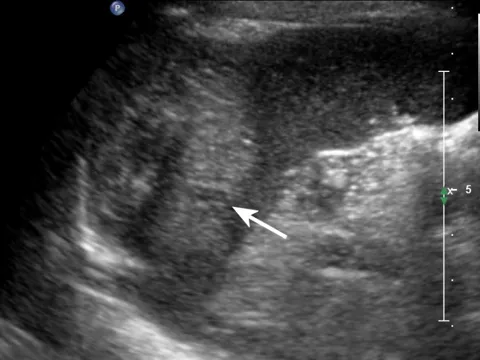
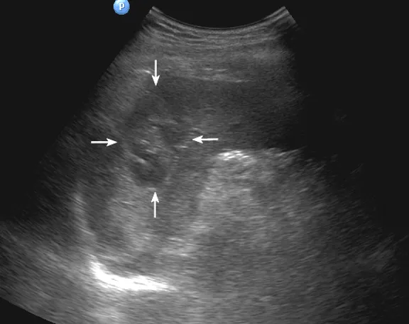
灰阶超声,副脾,显示脾门处一圆形回声与脾回声类似的副脾(箭头所示) 

SP:脾脏

02

脾肿大

●原因:

  (1)感染性脾肿大,包括急性和慢性炎症如病毒性肝炎、血吸虫病等。

  (2)非感染性脾肿大

      淤血性脾肿大,如肝硬化门脉高压、慢性右心衰等。

      血液病性脾肿大,如白血病、淋巴瘤等。        

      脾肿瘤等引起的脾肿大。 

●灰阶超声:

  脾肿大指标:如有以下灰阶超声表现之一者,可考虑脾肿大。

    (1)在肋缘下超声能显示脾脏时,且除外脾下垂者。

    (2)在成人脾脏厚度超过4.5cm,最大长径大于12cm。

    (3)脾脏面积指数超过20cm2。

    (4)脾上极接近或超过脊柱左侧缘(即腹主动脉前缘)。

    (5)在小儿脾脏,脾/左肾长轴比率,大于1.25。

●彩色多普勒:显示脾内彩色血流亦可增多,脾静脉最大血流速度多较正常值降低。当脾静脉内血栓形成时,脾静脉血流消失或变细等表现。

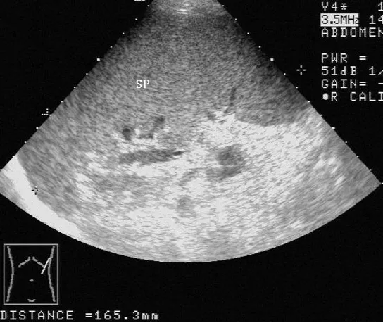
灰阶超声,脾肿大,显示肿大的脾脏(SP),内部回声均匀,长径为165mm。

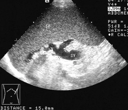
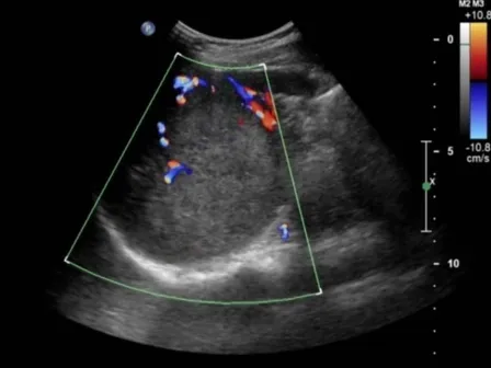
灰阶超声,脾肿大,显示脾门处增宽的脾静脉(图1,SV),内径达15mm 。彩色多普勒,显示增宽的脾静脉彩色血流(图2)。

SP:脾脏     SV:脾静脉。

03

脾破裂

●按发病原因可分为创伤性脾破裂、自发性脾破裂和医源性脾破裂。根据病理及破裂部位可分为:中央性脾破裂 、脾包膜下破裂、真性脾破裂 。

●灰阶超声和彩色多普勒 :

  (1)中央型:脾实质内出现局部不规则的低回声区,回声可不均。如形成明显的血肿,可呈无回声区或内含细小的点状回声。彩色多普勒常显示其内部的无血流信号。

  (2)包膜下型:脾外形失常,脾包膜光滑、完整但隆起,其与脾实质之间为无回声区所占据,呈“月牙”形;严重者,可压迫脾实质,使其表面呈凹陷状。无回声血肿可随时间的延长而出现细小点状回声、条索状回声、中高回声等改变。

  (3)真性:显示高回声的脾包膜线局部中断或不完整,该缺损呈无回声线状结构并伸入脾实质内,并出现不规则形的回声稍高回声或低回声、无回声区。同时在脾周围可出现无回声区包绕脾脏,严重者可在腹腔内出现游离的液性无回声区。彩色多普勒在脾损伤区未能显示彩色血流信号。

●超声造影:能明确地显示脾脏损伤病灶。脾破裂区域显示为边缘清晰的轻度增强或不增强区,尤其在增强晚期更为明显。而脾撕裂伤病灶表现为垂直于脾脏表面的边缘清晰的低回声带。若造影剂从脾表面溢出至脾周围,常提示有活动性出血。

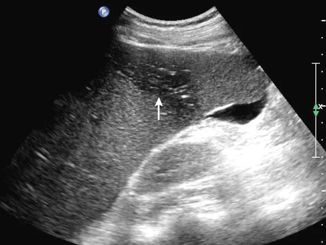
 灰阶超声,脾破裂,显示脾实质内见低回声不均匀区,边界不规则(箭头所示) 。

04

脾梗塞

●由于脾动脉的突然栓塞或脾静脉血栓所致的脾窦状隙的缺血、坏死、纤维化及疤痕形成等病理改变。 

●灰阶超声:依脾动脉阻塞分支的分布区,脾内可出现一个或多个楔形或不规则形的低回声区,内见高回声光点。楔形的基底部朝向膈面,尖部朝向脾门。病灶边界清,内部回声随坏死程度可呈低回声或无回声,分布可均匀或呈蜂窝状结构。对于脾静脉栓塞引起的脾梗塞,梗塞可侵及整个脾脏,同时伴有明显脾肿大。

●彩色多普勒:多显示病灶内部无任何彩色血流,偶可见脾血管在近病灶处血流中断或绕行。

●超声造影:与周围脾实质相比,部分脾梗塞患者梗塞区未见造影剂充填,呈无回声区,其边界清晰锐利,并在增强早期可观察到梗塞区旁的脾动脉分支增强时出现突然中断的现象。在梗塞区周围有时可有环状轻度增强的高回声环绕。

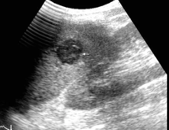
灰阶超声,脾梗塞,显示脾内一不规则形的低回声区,内分布不均匀(箭头所示) 。

05

脾囊肿

●临床上很少见,可分为寄生虫性和非寄生虫性两大类,后者又可分为真性和假性两类。真性脾囊肿包括单纯性囊肿、表皮样囊肿、淋巴管囊肿 ;假性脾囊肿可为外伤、脾周围炎症、脾梗塞等因素引起。 

●灰阶超声:脾内出现一个或数个无回声区,呈圆形;囊壁光滑,边界清晰,囊壁后方回声增强;真性囊肿内部经常出现分隔,而假性囊肿周边常会有钙化回声。如囊内出血或感染表现为脾囊肿壁增厚,可在囊内出现散在的中低回声的点状或斑块状反射,偶尔可随体位改变出现翻滚现象;如囊壁钙化,可局部或整个囊壁呈现强回声伴后方声影。

●彩色多普勒:显示囊内无彩色血流,部分病例可见囊壁上有点状彩色血流。 

●超声造影:显示脾囊肿内未见增强,呈无回声。 

灰阶超声,脾囊肿,显示脾内一巨大的无回声囊肿,边界清晰。

06

脾血管瘤

●最常见脾脏良性肿瘤。 

●灰阶超声:脾内出现一个或数个圆形或椭圆形的实质团块,边界清晰规整,多为高回声,亦可呈低回声或混合回声,内部分布均匀或呈蜂窝状。

●彩色多普勒:常未能显示瘤体内的彩色血流,个别在瘤体周边测及点状或短线状血流,可为动脉或静脉的流速曲线。

●超声造影:较大的血管瘤表现为快速呈向心性或弥散性增强,增强持续时间较长。

灰阶超声,脾血管瘤,显示脾内高回声病灶,内分布尚均匀(图1,箭头所示);彩色多普勒,显示高回声病灶周边有线状彩色血流(图2) 。

07

脾淋巴管瘤

●即海绵状淋巴管瘤或囊性淋巴管瘤。仅次于血管瘤的常见良性脾脏肿瘤。

●灰阶超声:与脾血管瘤表现相似,即多为稍高回声型或蜂窝状结构,边界清,内分布欠均匀。

●彩色多普勒:较少显示彩色血流信号。

●超声造影:病灶轻度增强,并可出现树枝样逐渐填充整个病灶,其消退也较慢,与脾血管瘤相似。

灰阶超声,脾淋巴管瘤,显示脾内高回声病灶,内分布欠均匀(图1,箭头所示);彩色多普勒显示脾内高回声病灶内有彩色血流,阻力指数<0.6 。

08

脾淋巴瘤

●脾脏中淋巴瘤和白血病病灶大多是疾病全身表现的一部分,偶尔可在脾脏中首先出现何杰金和非何杰金氏淋巴瘤。 

●灰阶超声:脾内出现多个低或弱回声的圆形实质性肿块,内部回声分布可均匀或不均,边界清晰但无明显的肿瘤包膜。随着肿瘤增大,低回声团块可相互融合或呈分叶状。个别呈蜂窝状低回声,内有条状间隔。

●彩色多普勒:瘤体及周边彩色血流,并可测及高速高阻动脉血流。

●超声造影:病灶周边开始环状增强,而后向病灶内部填充,并常在一分钟内消退并呈低回声。病灶边界清晰,但其回声强度常低于周围脾实质。到增强晚期,病灶-脾实质之间的反差更为明显,能发现灰阶超声不能发现的小病灶或转移灶。  

灰阶超声,脾恶性淋巴瘤,显示脾实质内见2×3cm的低回声肿块,边界尚清,内分布不均匀(箭头所示)。

09

脾转移瘤

●脾脏虽然是一淋巴器官,但恶性肿瘤转移至脾脏者远较淋巴结、肺、骨骼为少见。但恶性肿瘤有广泛性转移者约50%以上同时有脾脏转移。

●灰阶超声:脾内肿瘤的声像图表现与原发肿瘤病理结构有关,多为低回声,部分呈高回声及混合回声,内分布不均,边界可清晰,个别可出现周围暗环。可为多发。肿瘤增大可相互融合成团块状。

●彩色多普勒:多不能显示瘤体内的彩色血流,个别可在周边显示高阻型动脉血流。

脾淋巴瘤及脾内转移肿瘤不但在灰阶超声,而且超声造影上都具有类似的表现。 

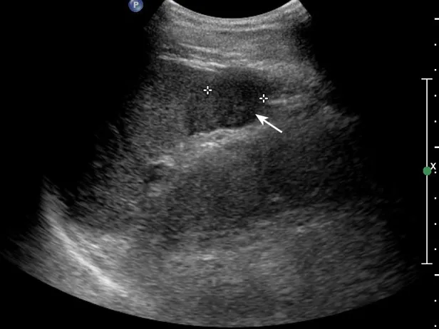
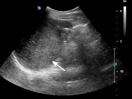
灰阶超声,脾转移性肿瘤,显示脾下极见一个低回声肿块,边界欠清(箭头所示)。

05

病例分析

●男性,26岁。

●2月前因发热行常规超声检查,发现肝脾多发占位。

超声检查图像

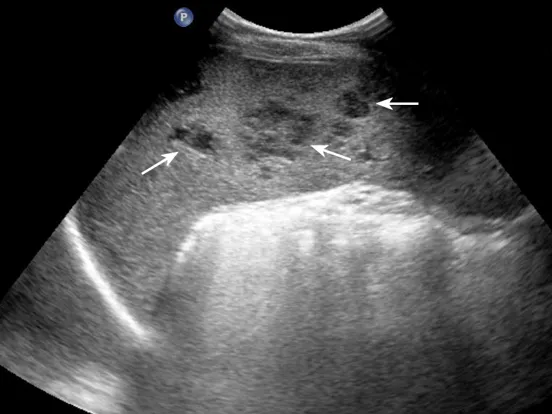
灰阶超声显示脾内多个低回声团块,呈分叶状,形态不规则(箭头所示)。

提问与思考

●本例病例考虑良性还是恶性?

●需要进一步做哪些检查 ?

诊断思路分析

●本病例为肝脾多发占位,多考虑恶性病变,脾脏多发占位需要考虑为原发肿瘤还是转移灶,并全面扫查其它部位脏器有无异常

●除了做增强CT、MRI等,还可以考虑做超声造影以协助诊断。

手术病理结果

患者行脾切除,病理诊断为霍奇金淋巴瘤。

    声明:文章内容仅供学习使用,如有侵权,请联系删除

溆浦城南医院超声科

曾林波  副院长/功能科主任  主任医师

13789280298(微信同号)

最新文章

随机文章

基本 文件 流程 错误 SQL 调试
  1. 请求信息 : 2026-04-21 05:23:38 HTTP/2.0 GET : https://a.sjds.net/a/472493.html
  2. 运行时间 : 0.132373s [ 吞吐率:7.55req/s ] 内存消耗:4,490.77kb 文件加载:140
  3. 缓存信息 : 0 reads,0 writes
  4. 会话信息 : SESSION_ID=ee21205fc460d3c6028c5e6443d6d23c
  1. /yingpanguazai/ssd/ssd1/www/a.sjds.net/public/index.php ( 0.79 KB )
  2. /yingpanguazai/ssd/ssd1/www/a.sjds.net/vendor/autoload.php ( 0.17 KB )
  3. /yingpanguazai/ssd/ssd1/www/a.sjds.net/vendor/composer/autoload_real.php ( 2.49 KB )
  4. /yingpanguazai/ssd/ssd1/www/a.sjds.net/vendor/composer/platform_check.php ( 0.90 KB )
  5. /yingpanguazai/ssd/ssd1/www/a.sjds.net/vendor/composer/ClassLoader.php ( 14.03 KB )
  6. /yingpanguazai/ssd/ssd1/www/a.sjds.net/vendor/composer/autoload_static.php ( 4.90 KB )
  7. /yingpanguazai/ssd/ssd1/www/a.sjds.net/vendor/topthink/think-helper/src/helper.php ( 8.34 KB )
  8. /yingpanguazai/ssd/ssd1/www/a.sjds.net/vendor/topthink/think-validate/src/helper.php ( 2.19 KB )
  9. /yingpanguazai/ssd/ssd1/www/a.sjds.net/vendor/topthink/think-orm/src/helper.php ( 1.47 KB )
  10. /yingpanguazai/ssd/ssd1/www/a.sjds.net/vendor/topthink/think-orm/stubs/load_stubs.php ( 0.16 KB )
  11. /yingpanguazai/ssd/ssd1/www/a.sjds.net/vendor/topthink/framework/src/think/Exception.php ( 1.69 KB )
  12. /yingpanguazai/ssd/ssd1/www/a.sjds.net/vendor/topthink/think-container/src/Facade.php ( 2.71 KB )
  13. /yingpanguazai/ssd/ssd1/www/a.sjds.net/vendor/symfony/deprecation-contracts/function.php ( 0.99 KB )
  14. /yingpanguazai/ssd/ssd1/www/a.sjds.net/vendor/symfony/polyfill-mbstring/bootstrap.php ( 8.26 KB )
  15. /yingpanguazai/ssd/ssd1/www/a.sjds.net/vendor/symfony/polyfill-mbstring/bootstrap80.php ( 9.78 KB )
  16. /yingpanguazai/ssd/ssd1/www/a.sjds.net/vendor/symfony/var-dumper/Resources/functions/dump.php ( 1.49 KB )
  17. /yingpanguazai/ssd/ssd1/www/a.sjds.net/vendor/topthink/think-dumper/src/helper.php ( 0.18 KB )
  18. /yingpanguazai/ssd/ssd1/www/a.sjds.net/vendor/symfony/var-dumper/VarDumper.php ( 4.30 KB )
  19. /yingpanguazai/ssd/ssd1/www/a.sjds.net/vendor/topthink/framework/src/think/App.php ( 15.30 KB )
  20. /yingpanguazai/ssd/ssd1/www/a.sjds.net/vendor/topthink/think-container/src/Container.php ( 15.76 KB )
  21. /yingpanguazai/ssd/ssd1/www/a.sjds.net/vendor/psr/container/src/ContainerInterface.php ( 1.02 KB )
  22. /yingpanguazai/ssd/ssd1/www/a.sjds.net/app/provider.php ( 0.19 KB )
  23. /yingpanguazai/ssd/ssd1/www/a.sjds.net/vendor/topthink/framework/src/think/Http.php ( 6.04 KB )
  24. /yingpanguazai/ssd/ssd1/www/a.sjds.net/vendor/topthink/think-helper/src/helper/Str.php ( 7.29 KB )
  25. /yingpanguazai/ssd/ssd1/www/a.sjds.net/vendor/topthink/framework/src/think/Env.php ( 4.68 KB )
  26. /yingpanguazai/ssd/ssd1/www/a.sjds.net/app/common.php ( 0.03 KB )
  27. /yingpanguazai/ssd/ssd1/www/a.sjds.net/vendor/topthink/framework/src/helper.php ( 18.78 KB )
  28. /yingpanguazai/ssd/ssd1/www/a.sjds.net/vendor/topthink/framework/src/think/Config.php ( 5.54 KB )
  29. /yingpanguazai/ssd/ssd1/www/a.sjds.net/config/app.php ( 0.95 KB )
  30. /yingpanguazai/ssd/ssd1/www/a.sjds.net/config/cache.php ( 0.78 KB )
  31. /yingpanguazai/ssd/ssd1/www/a.sjds.net/config/console.php ( 0.23 KB )
  32. /yingpanguazai/ssd/ssd1/www/a.sjds.net/config/cookie.php ( 0.56 KB )
  33. /yingpanguazai/ssd/ssd1/www/a.sjds.net/config/database.php ( 2.48 KB )
  34. /yingpanguazai/ssd/ssd1/www/a.sjds.net/vendor/topthink/framework/src/think/facade/Env.php ( 1.67 KB )
  35. /yingpanguazai/ssd/ssd1/www/a.sjds.net/config/filesystem.php ( 0.61 KB )
  36. /yingpanguazai/ssd/ssd1/www/a.sjds.net/config/lang.php ( 0.91 KB )
  37. /yingpanguazai/ssd/ssd1/www/a.sjds.net/config/log.php ( 1.35 KB )
  38. /yingpanguazai/ssd/ssd1/www/a.sjds.net/config/middleware.php ( 0.19 KB )
  39. /yingpanguazai/ssd/ssd1/www/a.sjds.net/config/route.php ( 1.89 KB )
  40. /yingpanguazai/ssd/ssd1/www/a.sjds.net/config/session.php ( 0.57 KB )
  41. /yingpanguazai/ssd/ssd1/www/a.sjds.net/config/trace.php ( 0.34 KB )
  42. /yingpanguazai/ssd/ssd1/www/a.sjds.net/config/view.php ( 0.82 KB )
  43. /yingpanguazai/ssd/ssd1/www/a.sjds.net/app/event.php ( 0.25 KB )
  44. /yingpanguazai/ssd/ssd1/www/a.sjds.net/vendor/topthink/framework/src/think/Event.php ( 7.67 KB )
  45. /yingpanguazai/ssd/ssd1/www/a.sjds.net/app/service.php ( 0.13 KB )
  46. /yingpanguazai/ssd/ssd1/www/a.sjds.net/app/AppService.php ( 0.26 KB )
  47. /yingpanguazai/ssd/ssd1/www/a.sjds.net/vendor/topthink/framework/src/think/Service.php ( 1.64 KB )
  48. /yingpanguazai/ssd/ssd1/www/a.sjds.net/vendor/topthink/framework/src/think/Lang.php ( 7.35 KB )
  49. /yingpanguazai/ssd/ssd1/www/a.sjds.net/vendor/topthink/framework/src/lang/zh-cn.php ( 13.70 KB )
  50. /yingpanguazai/ssd/ssd1/www/a.sjds.net/vendor/topthink/framework/src/think/initializer/Error.php ( 3.31 KB )
  51. /yingpanguazai/ssd/ssd1/www/a.sjds.net/vendor/topthink/framework/src/think/initializer/RegisterService.php ( 1.33 KB )
  52. /yingpanguazai/ssd/ssd1/www/a.sjds.net/vendor/services.php ( 0.14 KB )
  53. /yingpanguazai/ssd/ssd1/www/a.sjds.net/vendor/topthink/framework/src/think/service/PaginatorService.php ( 1.52 KB )
  54. /yingpanguazai/ssd/ssd1/www/a.sjds.net/vendor/topthink/framework/src/think/service/ValidateService.php ( 0.99 KB )
  55. /yingpanguazai/ssd/ssd1/www/a.sjds.net/vendor/topthink/framework/src/think/service/ModelService.php ( 2.04 KB )
  56. /yingpanguazai/ssd/ssd1/www/a.sjds.net/vendor/topthink/think-trace/src/Service.php ( 0.77 KB )
  57. /yingpanguazai/ssd/ssd1/www/a.sjds.net/vendor/topthink/framework/src/think/Middleware.php ( 6.72 KB )
  58. /yingpanguazai/ssd/ssd1/www/a.sjds.net/vendor/topthink/framework/src/think/initializer/BootService.php ( 0.77 KB )
  59. /yingpanguazai/ssd/ssd1/www/a.sjds.net/vendor/topthink/think-orm/src/Paginator.php ( 11.86 KB )
  60. /yingpanguazai/ssd/ssd1/www/a.sjds.net/vendor/topthink/think-validate/src/Validate.php ( 63.20 KB )
  61. /yingpanguazai/ssd/ssd1/www/a.sjds.net/vendor/topthink/think-orm/src/Model.php ( 23.55 KB )
  62. /yingpanguazai/ssd/ssd1/www/a.sjds.net/vendor/topthink/think-orm/src/model/concern/Attribute.php ( 21.05 KB )
  63. /yingpanguazai/ssd/ssd1/www/a.sjds.net/vendor/topthink/think-orm/src/model/concern/AutoWriteData.php ( 4.21 KB )
  64. /yingpanguazai/ssd/ssd1/www/a.sjds.net/vendor/topthink/think-orm/src/model/concern/Conversion.php ( 6.44 KB )
  65. /yingpanguazai/ssd/ssd1/www/a.sjds.net/vendor/topthink/think-orm/src/model/concern/DbConnect.php ( 5.16 KB )
  66. /yingpanguazai/ssd/ssd1/www/a.sjds.net/vendor/topthink/think-orm/src/model/concern/ModelEvent.php ( 2.33 KB )
  67. /yingpanguazai/ssd/ssd1/www/a.sjds.net/vendor/topthink/think-orm/src/model/concern/RelationShip.php ( 28.29 KB )
  68. /yingpanguazai/ssd/ssd1/www/a.sjds.net/vendor/topthink/think-helper/src/contract/Arrayable.php ( 0.09 KB )
  69. /yingpanguazai/ssd/ssd1/www/a.sjds.net/vendor/topthink/think-helper/src/contract/Jsonable.php ( 0.13 KB )
  70. /yingpanguazai/ssd/ssd1/www/a.sjds.net/vendor/topthink/think-orm/src/model/contract/Modelable.php ( 0.09 KB )
  71. /yingpanguazai/ssd/ssd1/www/a.sjds.net/vendor/topthink/framework/src/think/Db.php ( 2.88 KB )
  72. /yingpanguazai/ssd/ssd1/www/a.sjds.net/vendor/topthink/think-orm/src/DbManager.php ( 8.52 KB )
  73. /yingpanguazai/ssd/ssd1/www/a.sjds.net/vendor/topthink/framework/src/think/Log.php ( 6.28 KB )
  74. /yingpanguazai/ssd/ssd1/www/a.sjds.net/vendor/topthink/framework/src/think/Manager.php ( 3.92 KB )
  75. /yingpanguazai/ssd/ssd1/www/a.sjds.net/vendor/psr/log/src/LoggerTrait.php ( 2.69 KB )
  76. /yingpanguazai/ssd/ssd1/www/a.sjds.net/vendor/psr/log/src/LoggerInterface.php ( 2.71 KB )
  77. /yingpanguazai/ssd/ssd1/www/a.sjds.net/vendor/topthink/framework/src/think/Cache.php ( 4.92 KB )
  78. /yingpanguazai/ssd/ssd1/www/a.sjds.net/vendor/psr/simple-cache/src/CacheInterface.php ( 4.71 KB )
  79. /yingpanguazai/ssd/ssd1/www/a.sjds.net/vendor/topthink/think-helper/src/helper/Arr.php ( 16.63 KB )
  80. /yingpanguazai/ssd/ssd1/www/a.sjds.net/vendor/topthink/framework/src/think/cache/driver/File.php ( 7.84 KB )
  81. /yingpanguazai/ssd/ssd1/www/a.sjds.net/vendor/topthink/framework/src/think/cache/Driver.php ( 9.03 KB )
  82. /yingpanguazai/ssd/ssd1/www/a.sjds.net/vendor/topthink/framework/src/think/contract/CacheHandlerInterface.php ( 1.99 KB )
  83. /yingpanguazai/ssd/ssd1/www/a.sjds.net/app/Request.php ( 0.09 KB )
  84. /yingpanguazai/ssd/ssd1/www/a.sjds.net/vendor/topthink/framework/src/think/Request.php ( 55.78 KB )
  85. /yingpanguazai/ssd/ssd1/www/a.sjds.net/app/middleware.php ( 0.25 KB )
  86. /yingpanguazai/ssd/ssd1/www/a.sjds.net/vendor/topthink/framework/src/think/Pipeline.php ( 2.61 KB )
  87. /yingpanguazai/ssd/ssd1/www/a.sjds.net/vendor/topthink/think-trace/src/TraceDebug.php ( 3.40 KB )
  88. /yingpanguazai/ssd/ssd1/www/a.sjds.net/vendor/topthink/framework/src/think/middleware/SessionInit.php ( 1.94 KB )
  89. /yingpanguazai/ssd/ssd1/www/a.sjds.net/vendor/topthink/framework/src/think/Session.php ( 1.80 KB )
  90. /yingpanguazai/ssd/ssd1/www/a.sjds.net/vendor/topthink/framework/src/think/session/driver/File.php ( 6.27 KB )
  91. /yingpanguazai/ssd/ssd1/www/a.sjds.net/vendor/topthink/framework/src/think/contract/SessionHandlerInterface.php ( 0.87 KB )
  92. /yingpanguazai/ssd/ssd1/www/a.sjds.net/vendor/topthink/framework/src/think/session/Store.php ( 7.12 KB )
  93. /yingpanguazai/ssd/ssd1/www/a.sjds.net/vendor/topthink/framework/src/think/Route.php ( 23.73 KB )
  94. /yingpanguazai/ssd/ssd1/www/a.sjds.net/vendor/topthink/framework/src/think/route/RuleName.php ( 5.75 KB )
  95. /yingpanguazai/ssd/ssd1/www/a.sjds.net/vendor/topthink/framework/src/think/route/Domain.php ( 2.53 KB )
  96. /yingpanguazai/ssd/ssd1/www/a.sjds.net/vendor/topthink/framework/src/think/route/RuleGroup.php ( 22.43 KB )
  97. /yingpanguazai/ssd/ssd1/www/a.sjds.net/vendor/topthink/framework/src/think/route/Rule.php ( 26.95 KB )
  98. /yingpanguazai/ssd/ssd1/www/a.sjds.net/vendor/topthink/framework/src/think/route/RuleItem.php ( 9.78 KB )
  99. /yingpanguazai/ssd/ssd1/www/a.sjds.net/route/app.php ( 1.72 KB )
  100. /yingpanguazai/ssd/ssd1/www/a.sjds.net/vendor/topthink/framework/src/think/facade/Route.php ( 4.70 KB )
  101. /yingpanguazai/ssd/ssd1/www/a.sjds.net/vendor/topthink/framework/src/think/route/dispatch/Controller.php ( 4.74 KB )
  102. /yingpanguazai/ssd/ssd1/www/a.sjds.net/vendor/topthink/framework/src/think/route/Dispatch.php ( 10.44 KB )
  103. /yingpanguazai/ssd/ssd1/www/a.sjds.net/app/controller/Index.php ( 4.81 KB )
  104. /yingpanguazai/ssd/ssd1/www/a.sjds.net/app/BaseController.php ( 2.05 KB )
  105. /yingpanguazai/ssd/ssd1/www/a.sjds.net/vendor/topthink/think-orm/src/facade/Db.php ( 0.93 KB )
  106. /yingpanguazai/ssd/ssd1/www/a.sjds.net/vendor/topthink/think-orm/src/db/connector/Mysql.php ( 5.44 KB )
  107. /yingpanguazai/ssd/ssd1/www/a.sjds.net/vendor/topthink/think-orm/src/db/PDOConnection.php ( 52.47 KB )
  108. /yingpanguazai/ssd/ssd1/www/a.sjds.net/vendor/topthink/think-orm/src/db/Connection.php ( 8.39 KB )
  109. /yingpanguazai/ssd/ssd1/www/a.sjds.net/vendor/topthink/think-orm/src/db/ConnectionInterface.php ( 4.57 KB )
  110. /yingpanguazai/ssd/ssd1/www/a.sjds.net/vendor/topthink/think-orm/src/db/builder/Mysql.php ( 16.58 KB )
  111. /yingpanguazai/ssd/ssd1/www/a.sjds.net/vendor/topthink/think-orm/src/db/Builder.php ( 24.06 KB )
  112. /yingpanguazai/ssd/ssd1/www/a.sjds.net/vendor/topthink/think-orm/src/db/BaseBuilder.php ( 27.50 KB )
  113. /yingpanguazai/ssd/ssd1/www/a.sjds.net/vendor/topthink/think-orm/src/db/Query.php ( 15.71 KB )
  114. /yingpanguazai/ssd/ssd1/www/a.sjds.net/vendor/topthink/think-orm/src/db/BaseQuery.php ( 45.13 KB )
  115. /yingpanguazai/ssd/ssd1/www/a.sjds.net/vendor/topthink/think-orm/src/db/concern/TimeFieldQuery.php ( 7.43 KB )
  116. /yingpanguazai/ssd/ssd1/www/a.sjds.net/vendor/topthink/think-orm/src/db/concern/AggregateQuery.php ( 3.26 KB )
  117. /yingpanguazai/ssd/ssd1/www/a.sjds.net/vendor/topthink/think-orm/src/db/concern/ModelRelationQuery.php ( 20.07 KB )
  118. /yingpanguazai/ssd/ssd1/www/a.sjds.net/vendor/topthink/think-orm/src/db/concern/ParamsBind.php ( 3.66 KB )
  119. /yingpanguazai/ssd/ssd1/www/a.sjds.net/vendor/topthink/think-orm/src/db/concern/ResultOperation.php ( 7.01 KB )
  120. /yingpanguazai/ssd/ssd1/www/a.sjds.net/vendor/topthink/think-orm/src/db/concern/WhereQuery.php ( 19.37 KB )
  121. /yingpanguazai/ssd/ssd1/www/a.sjds.net/vendor/topthink/think-orm/src/db/concern/JoinAndViewQuery.php ( 7.11 KB )
  122. /yingpanguazai/ssd/ssd1/www/a.sjds.net/vendor/topthink/think-orm/src/db/concern/TableFieldInfo.php ( 2.63 KB )
  123. /yingpanguazai/ssd/ssd1/www/a.sjds.net/vendor/topthink/think-orm/src/db/concern/Transaction.php ( 2.77 KB )
  124. /yingpanguazai/ssd/ssd1/www/a.sjds.net/vendor/topthink/framework/src/think/log/driver/File.php ( 5.96 KB )
  125. /yingpanguazai/ssd/ssd1/www/a.sjds.net/vendor/topthink/framework/src/think/contract/LogHandlerInterface.php ( 0.86 KB )
  126. /yingpanguazai/ssd/ssd1/www/a.sjds.net/vendor/topthink/framework/src/think/log/Channel.php ( 3.89 KB )
  127. /yingpanguazai/ssd/ssd1/www/a.sjds.net/vendor/topthink/framework/src/think/event/LogRecord.php ( 1.02 KB )
  128. /yingpanguazai/ssd/ssd1/www/a.sjds.net/vendor/topthink/think-helper/src/Collection.php ( 16.47 KB )
  129. /yingpanguazai/ssd/ssd1/www/a.sjds.net/vendor/topthink/framework/src/think/facade/View.php ( 1.70 KB )
  130. /yingpanguazai/ssd/ssd1/www/a.sjds.net/vendor/topthink/framework/src/think/View.php ( 4.39 KB )
  131. /yingpanguazai/ssd/ssd1/www/a.sjds.net/vendor/topthink/framework/src/think/Response.php ( 8.81 KB )
  132. /yingpanguazai/ssd/ssd1/www/a.sjds.net/vendor/topthink/framework/src/think/response/View.php ( 3.29 KB )
  133. /yingpanguazai/ssd/ssd1/www/a.sjds.net/vendor/topthink/framework/src/think/Cookie.php ( 6.06 KB )
  134. /yingpanguazai/ssd/ssd1/www/a.sjds.net/vendor/topthink/think-view/src/Think.php ( 8.38 KB )
  135. /yingpanguazai/ssd/ssd1/www/a.sjds.net/vendor/topthink/framework/src/think/contract/TemplateHandlerInterface.php ( 1.60 KB )
  136. /yingpanguazai/ssd/ssd1/www/a.sjds.net/vendor/topthink/think-template/src/Template.php ( 46.61 KB )
  137. /yingpanguazai/ssd/ssd1/www/a.sjds.net/vendor/topthink/think-template/src/template/driver/File.php ( 2.41 KB )
  138. /yingpanguazai/ssd/ssd1/www/a.sjds.net/vendor/topthink/think-template/src/template/contract/DriverInterface.php ( 0.86 KB )
  139. /yingpanguazai/ssd/ssd1/www/a.sjds.net/runtime/temp/97cad012e8e159aae2fe347a411e8351.php ( 12.06 KB )
  140. /yingpanguazai/ssd/ssd1/www/a.sjds.net/vendor/topthink/think-trace/src/Html.php ( 4.42 KB )
  1. CONNECT:[ UseTime:0.000516s ] mysql:host=127.0.0.1;port=3306;dbname=a_sjds;charset=utf8mb4
  2. SHOW FULL COLUMNS FROM `fenlei` [ RunTime:0.000672s ]
  3. SELECT * FROM `fenlei` WHERE `fid` = 0 [ RunTime:0.000273s ]
  4. SELECT * FROM `fenlei` WHERE `fid` = 63 [ RunTime:0.000260s ]
  5. SHOW FULL COLUMNS FROM `set` [ RunTime:0.000527s ]
  6. SELECT * FROM `set` [ RunTime:0.000194s ]
  7. SHOW FULL COLUMNS FROM `article` [ RunTime:0.000518s ]
  8. SELECT * FROM `article` WHERE `id` = 472493 LIMIT 1 [ RunTime:0.000537s ]
  9. UPDATE `article` SET `lasttime` = 1776720218 WHERE `id` = 472493 [ RunTime:0.007400s ]
  10. SELECT * FROM `fenlei` WHERE `id` = 66 LIMIT 1 [ RunTime:0.001594s ]
  11. SELECT * FROM `article` WHERE `id` < 472493 ORDER BY `id` DESC LIMIT 1 [ RunTime:0.000448s ]
  12. SELECT * FROM `article` WHERE `id` > 472493 ORDER BY `id` ASC LIMIT 1 [ RunTime:0.002815s ]
  13. SELECT * FROM `article` WHERE `id` < 472493 ORDER BY `id` DESC LIMIT 10 [ RunTime:0.001837s ]
  14. SELECT * FROM `article` WHERE `id` < 472493 ORDER BY `id` DESC LIMIT 10,10 [ RunTime:0.001072s ]
  15. SELECT * FROM `article` WHERE `id` < 472493 ORDER BY `id` DESC LIMIT 20,10 [ RunTime:0.009723s ]
0.134085s