




COP属于特发性间质性肺炎的一种,临床和放射学上与继发性机化性肺炎没有明显差别,但其病因目前尚不明确。COP发病率较低,男女相当,发病年龄可见于20~80岁,平均50~60岁。COP发病与吸烟无关,大多数患者不吸烟。
COP患者临床表现差异大,多数亚急性起病,发病早期常有发热、咳嗽、全身乏力等流感样症状,伴食欲减退和体质量下降,咯血、胸痛、夜间盗汗、关节痛及气胸较少见。多数患者表现为渐进性轻度呼吸困难,快速进展患者可见严重呼吸困难。大部分患者在双肺中下部可闻及吸气末Velcro啰音,部分患者可无肺部阳性体征。
实验室检查缺乏特异性,肺泡灌洗液(BALF)中细胞成分的变化对COP的诊断有一定的预测价值。除了BALF外,其他实验室辅助检查对COP的诊断帮助不大。由于临床表现缺乏特异性,COP诊断常常被延误。
COP最具特征性的表现是对抗生素无效,对激素治疗反应良好。
少数COP患者可自行缓解,对于一些无症状或症状轻微的COP患者,单纯使用大环内酯类药物如克拉霉素、红霉素治疗后症状即可改善。激素是目前治疗COP的主要措施,临床症状一般在48h内得到改善,影像学病变常常在几天内明显吸收。激素治疗原则是早期、足量、足疗程,以减少并发症,降低复发率和病死率。激素起始用量,泼尼松60mg/d或0.75~1mg/(kg·d),时间1~3个月,逐渐减量至20~40mg,时间为3个月,维持剂量为泼尼松5~10mg/d,后期可改为泼尼松5mg,隔日1次。
对急性进展型COP可选择甲泼尼龙500~1000mg/d静脉冲击治疗,连用3~5天,随后改为泼尼松1mg/(kg·d)口服。65%~80%的患者予激素治疗可收到良好效果,甚至可以获得完全缓解,仅少数患者应用激素治疗后病情继续进展,最终因呼吸衰竭死亡。应用激素治疗COP的另一个特点是停药或减量过程中容易复发,常发生在激素停用或减量后3个月内。延迟治疗和治疗维持时间过短是COP复发的常见原因。如对激素反应欠佳,需要采取其他的治疗方法,如细胞毒药物(环磷酰胺、硫唑嘌呤等),但其疗效难以评估。
流行病学
COP确切发病率和患病率尚不清楚。
年龄:患者确诊时的平均年龄为50~60岁(范围,17~95岁);儿童中很少有关于COP的报道。
性别:男性发病率略高于女性(男性发病率为52%)。
吸烟史:约54%的COP患者从未吸烟,46%既往或当前吸烟;在既往或当前吸烟者中,确诊时有不到15%的人自诉当前吸烟。
病理生理学
机化性肺炎的发病机制尚不清楚。从病理角度看,肺组织结构似乎未发生严重破坏。
COP是炎性和纤维增生过程,以肺泡内纤维增生为特征,经过免疫抑制或抗炎治疗后可逆(有时不可逆)。






COP肺部CT表现多数为肺泡实变影,可从2cm至双侧广泛病变,病灶多位于胸膜下或肺野外带。病灶呈不规则斑片状,累及多个肺段。部分患者同时可见网状影、不规则线状影和结节影。网格状阴影较少见,很少有胸腔积液等胸膜渗出征象。
COP影像学特点为“五多一少”:

即多态性、多发性、多变性、多复发性、多双肺受累,蜂窝肺少见。具体如下:
①多态性:可呈斑片状、肺实变状、团块状、条索状、地图状、结节状、粟粒状、网织状、蜂窝状等各种形态,以前四种比例较高。每例患者多同时具有两种以上的形态。
②多发性:COP多为两肺多发性病灶。
③多变性:病灶有明显的游走性,具有此起彼伏的特点,多数病例在一周内可见观察到病灶的明显变化。抗感染治疗基本不影响病灶的变化。
④多复发性:文献报道的复发率多在13~58%之间。
⑤多双肺受累:两侧中下肺分布为主,占88%;沿着胸膜分布占96%,不累及胸膜占40%。
⑥蜂窝肺少见:仅有少数晚期重症COP出现蜂窝肺,发生率为4%。
通常情况下,提示COP诊断的第一线索来源于其影像学的特点,经过抗感染等治疗效果不佳,结合病理改变,排除其他疾患后诊断为COP。




组织病理学
在未行活检而采取治疗的病例中,如果临床随访结果与COP诊断不吻合,应重新评估是否有必要行活检。
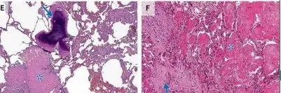
COP患者肺活检标本的组织病理学结果显示腔内有疏松结缔组织栓子,累及肺泡腔和肺泡管,也可累及细支气管,肺的基础结构保留。腔内疏松结缔组织栓子常以细柄连接到肺泡壁,并通过肺泡孔从一个肺泡延伸到相邻的肺泡,形成特征性的蝴蝶状结构。肺泡壁可出现轻度慢性炎症(如涉及淋巴细胞和浆细胞)。
观察到以下情况时,提示有其他诊断:显著的间质慢性炎症(涉及中性粒细胞或嗜酸性粒细胞)、形态不良的肉芽肿、细支气管周围化生、淋巴样聚集、血管炎、间质纤维化或镜下蜂窝状改变。
COP的主要病理变化是肺泡内、肺泡管、呼吸性细支气管及终末细支气管内有息肉状肉芽组织增生,形成Masson小体,其病变表现单一,时相一致,呈斑片状和支气管周围分布,位于气腔内,含极少炎性细胞,肺结构往往正常。肺泡腔内肉芽组织呈芽生状,由疏松的结缔组织将成纤维细胞包埋而构成,可通过肺泡孔从一个肺泡扩展到邻近的肺泡,形成典型的“蝴蝶影”。肉芽组织中可存在炎性细胞,尤其在疾病早期,可见单核细胞、巨噬细胞及少量的肥大细胞、嗜酸粒细胞、中性粒细胞。在空的肺泡腔内可见肺泡巨噬细胞,部分肺泡巨噬细胞呈泡沫状,伴有Ⅱ型肺泡上皮细胞增生。受累的肺泡间隔有少量淋巴细胞和浆细胞浸润为主的轻度炎性渗出,肺泡间隔稍增厚。
COP诊断必须在获得机化性肺炎病理诊断的基础上,结合临床、影像及其他辅助检查资料进行综合分析,排除可能导致机化性肺炎的其他疾病后,方能考虑为本病。目前,COP的诊断主要依据临床和肺CT表现,甚至单纯依靠CT影响特征,COP诊断的准确性可达90%。

临床分型
局灶性机化性肺炎
局灶性机化性肺炎相对少见(见于<15%的COP患者),患者常无症状。单发病灶通常可通过 手术切除治愈。局灶性机化性肺炎必须与肺癌鉴别。
暴发性疾病
1.部分机化性肺炎患者表现为快速进展的临床病程(例如,需高流量吸氧和机械通气)。
2.在这种情况下,必须排除继发原因,特别是感染、结缔组织病、自身免疫病、药物或环境物 质暴露、弥漫性肺泡损伤或间质性肺疾病急性加重。
3.排除感染后,建议静脉给予糖皮质激素治疗。
4.呼吸衰竭是死亡的主要原因,通常发生在住院后30~50日。
瘢痕机化性肺炎
在一些机化性肺炎病例中,气腔充满松散的纤维黏液样结缔组织,伴有腔内致密嗜酸性纤维化 形成,肺基础结构保留。肺实质可见线状纤维带和化生骨形成区。瘢痕变异型似乎预示着纤维化 非特异性间质性肺炎,这是一种更顽固的机化性肺炎,应该从形态学上与典型COP鉴别。
急性纤维素性机化性肺炎
急性纤维素性机化性肺炎是一种罕见的肺泡填充性疾病,其特征是斑片状分布。这种变异型可 为特发性,也可与其他病程(如弥漫性肺泡损伤、过敏性肺炎、感染、药物毒性、嗜酸性肺炎 和结缔组织病)相关。

鉴别诊断
非感染性:过敏性肺炎(暴露于已知病原体)、嗜酸性肺炎(血液或肺泡嗜酸性粒细胞增多)、肺泡出血(咯血)和血管炎(存在抗中性粒细胞胞质抗体)。
肿瘤类:肺淋巴瘤和浸润性黏液腺癌的影像学表现可能与COP相似(斑片状、结节状实变区伴支气管充气征)。

复发:即症状恶化,或者糖皮质激素治疗期间或之后的胸部CT扫描显示特征性新影或残留影恶化。复发通常发生在最初就诊后1年内。药物减量过快或停药过早,可出现复发。复发大多发生于泼尼松减量至≤15mg/d后。
导致复发的因素:
诊断时间延迟 ;
启动治疗时间延迟(出现症状>2个月后);
重度疾病,包括多灶影;
胸部影像显示牵拉性支气管扩张;
一氧化碳弥散量异常(<预测值的50%);
存在胆汁淤积;
低氧血症(动脉氧分压<70 mmHg);
组织病理学见到肺泡内大量纤维蛋白沉积或肺实质瘢痕化和重构。
复发的治疗方式通常是恢复糖皮质激素用药或增加剂量。治疗复发时,小剂量糖皮质激素 (≤20 mg/d)与大剂量相比,累积剂量较低,副作用较少,且获益相似。建议加量至20mg/d 。
其他治疗
初始使用全身糖皮质激素治疗无效或糖皮质激素不能减至安全剂量,可以考虑使用替代药物。
大环内酯类抗生素
病例报告和小规模回顾性病例研究提示,在COP患者中,具有抗炎特性的大环内酯类抗生素(如红霉素或克拉霉素)可作为口服糖皮质激素的辅助方案或替代方案。
大环内酯类抗生素通常用药3~6个月或更长时间,并在停止治疗期间密切监测,以防复发。大环内酯类药物单独使用效果不佳,且适当的剂量和持续时间有待确定。

硫唑嘌呤或环磷酰胺
硫唑嘌呤或环磷酰胺不推荐用于COP患者,只有其他疗法均失败的极少数情况例外。
对于肾功能正常的患者,硫唑嘌呤的起始剂量为每日1~2mg/kg(每日1次口服),最大剂量为每 日150 mg。建议从每日50 mg的剂量开始,在2~4周期间缓慢增加剂量,治疗持续至少3个月。
考虑到环磷酰胺的相关毒性作用,应在6个月后停药。

