当前位置:首页>课件>课件分享:消化道神经内分泌肿瘤的病理认识

课件分享:消化道神经内分泌肿瘤的病理认识

  • 2026-04-22 20:27:26
课件分享:消化道神经内分泌肿瘤的病理认识
封面摄图:陈天音老师
温馨提醒:
课件及注释完成于2024年,课件中的部分观点和内容在第6版who消化系统肿瘤分类中或已有更新,请参考相关的书籍章节及文献内容。

上图注释:

2019年第五版who分类对消化系统 神经内分泌肿瘤分类 进行了内容的更新包括了3个大的类别:神经内分泌瘤NET、神经内分泌癌NEC混合性神经内分泌和非神经内分泌肿瘤MiNEN

上图注释:
NET起源于幼稚的内分泌细胞。NEC有三种起源途径,大部分是起源于腺癌或者鳞癌,比如一部分管状腺癌在演化过程中出现内分泌细胞分化,这些分泌细胞分化的肿瘤成分先出现团块状的增殖,演变成为腺-神经内分泌癌,神经内分泌癌的成分恶性潜能高于腺癌,会逐渐成为病变的主体,最后可能会成为单一成分的神经内分泌癌。NEC还可以从幼稚的内分泌细胞起源,或者直接从上皮干细胞起源。目前认为,NET和NEC是两种独立的病变类型,罕见NET向NEC的演化途径。

上图注释:

神经内分泌肿瘤通常会表达一种或多种 神经内分泌标记物。常用的免疫组化标记物包括嗜铬粒蛋白A(CgA),突触素(syn)和CD56(神经细胞黏附分子)。

上图注释:

最近还有一些新的免疫组化标记物。比如生长抑素受体2A(SSTR2A)和胰岛素瘤相关蛋白 1(INSM1)。SSTR2A常在NET中表达,在NEC中表达较少。INSM1在肿瘤细胞的核中表达,常于鉴别 NEC与其他分化差的癌。 

上图注释:

在神经内分泌肿瘤中,NET属于高分化的神经内分泌肿瘤,它的分级有三个,G1G2,G3,具体的分级由有丝分裂计数和ki67指数决定,NEC属于低分化的神经内分泌肿瘤,从定义上已经规定它是高级别的。NEC有两个亚型,小细胞型和大细胞型。至于混合性神经内分泌和非神经内分泌肿瘤(MiNEN),其分化和分级则需要视其具体的成分而定。

上图注释:

神经内分泌肿瘤的分化和分级是相互独立的评估内容。分化由肿瘤细胞的形态决定,分级则由有丝分裂活性和ki67指数决定。所以高分化的神经内分泌肿瘤NET,也是可以出现G3级别的。

上图注释:

分化好的神经内分泌肿瘤,也就是NET,它的肿瘤细胞比较温和,细胞的大小和形态都比较相似,分布也比较均匀。核染色质有时呈现胡椒盐的表现,核仁通常是不明显的。

上四图的注释:

NET肿瘤细胞的形态相对一致,可以排列形成多种结构类型,有呈现实性巢状的,有呈现缎带状的,有排列形成小梁状的,还有一些可以排列呈现腺管样的。

上图注释:

神经内分泌癌NEC的细胞异型性比较明显。细胞核的形态和尺寸差异往往都比较显著,肿瘤细胞常排列成巢团状,常伴有坏死,肿瘤细胞容易见到核分裂象。NEC的分级从定义上就是属于高级别的,NEC分成小细胞型大细胞型

上图注释:

小细胞型的NEC 细胞尺寸相对较小,胞浆稀少,有些呈裸核样,核的多形性也比较明显,有些呈现燕麦样外观。肿瘤组织实性增殖,常伴有坏死。

上图注释:

大细胞型的NEC,细胞尺寸一般大于三个淋巴细胞,胞浆相对丰富,细胞核尺寸差异明显,核仁比较明显,也是呈现实性的弥漫性分布,常伴有坏死。

上图注释:

神经内分泌癌NEC常伴有TP53RB这两个抑癌基因的失活。p53免疫组化是错义突变的弥漫阳的表达模式,而RB则表达缺失(正常情况下是阳性表达的)。神经内分泌瘤NET通常不存在p53RB蛋白的表达异常。

上图注释:

这是小细胞型神经内分泌癌的免疫组化。syn在胞质中是弥漫阳性表达的,证实是神经内分泌肿瘤。p53弥漫阳,提示存在TP53的突变。RB在肿瘤内是表达缺失的,而间质中的内皮细胞是有阳性表达(内对照)。

上图注释:

同样,这个大细胞型神经内分泌癌也有类似的表达模式,说明也具有TP53RB基因的突变。

上图注释:

神经内分泌癌的分级是高级别的,而神经内分泌瘤NET有三个分级。由肿瘤细胞的有丝分裂活性和ki67增殖指数决定。

上图注释:

有丝分裂活性是用“有丝分裂率”这个术语去描述。有丝分裂率定义为两个平方毫米的尺寸面积内的核分裂计数。具体的计算是要把2平方毫米换算到特定数量的高倍视野,再统计视野中的核分裂数。

上图注释:

如果400倍的高倍视野 是 使用视野数为2010倍目镜,以40倍物镜进行观察的话。那么,经过计算,1400倍的高倍视野的圆面积是0.196平方毫米。

上图注释:

这样,两平方毫米的圆面积相当于10.2个高倍视野,约等于10个高倍视野。在实际的计算过程中,一般是总共要算50个高倍视野,统计核分裂数的总数,再除以5,最终得到的均值就是2平方毫米面积范围内的核分裂计数。

上图注释:

这里提醒一下,国内2021版中的这个表格左下角的注释中,10个高倍视野=0.196平方毫米,这个数值估计是笔误。

根据前面的计算,0.196平方毫米是1个高倍视野范围面积,10个应该是1.96平方毫米,约等于2平方毫米。

上图注释:

ki-67指数一般要500 2000个肿瘤细胞,计算阳性细胞在这些肿瘤细胞中的占比,所以它的数值是一个百分比。在计算的时候,需要排除表达阳性的非肿瘤细胞,比如一些淋巴细胞。

上图注释:

通常是选在热点区域,就是表达阳性率较高(阳性密集)的区域进行统计。实践中,可以打印出热点区域的照片或截图,在图上进行统计,可以画出和圈出已统计的细胞。若直接在显微镜下统计,由于没法标记哪些细胞已经被统计,故实际上是很难操作的。

上图注释:

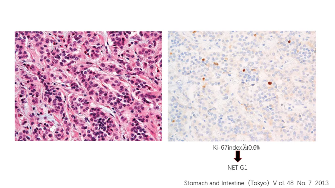
下面来看一些例子。这个肿瘤细胞的细胞比较均匀一致,排列成小梁状结构,从细胞形态上可诊断为高分化的神经内分泌肿瘤,即NET。ki-67指数为0.6%,属于G1。

上图注释:

这个病变的肿瘤细胞也很温和,呈现巢状及假菊形团状的结构,诊断为NET,它的ki67指数为5.2%,属于G2。

上图注释:

这个病变的肿瘤细胞呈现实性增殖,细胞异型性比较明显,考虑为NEC,其Ki67指数高达87%

上图注释:

上面这个病变的肿瘤细胞也是相对温和的,排列成不规则的实性结构,从细胞形态上考虑NET,但它的核分裂像是比较明显的,ki67标记的增殖指数超过了20%,所以归为NET G3。

上图注释:

NET G3是一类高增殖性的神经内分泌瘤。NET G3的周围,往往会看到伴有G1 或者G2NET 成分,提示G3成分可能是从G1\G2成分演化而来的。但它和NEC是两种不同的病变实体,前面提到,NEC很大一部分是从分化型的腺癌演化而来的,很多时候肿瘤组织会残留有管状腺癌的成分。一般是不建议把ki67指数作为区分NET G3和 NEC的核心指标,还是要回到细胞形态上,通过肿瘤细胞的分化来进行诊断。

上图注释:

大部分情况下,在细胞形态上,就可以对NET G3NEC进行区分。某些场合可能不好区分,就可以借助前面提到的免疫组化标记物进行鉴别,比如p53和RB,这些在NEC中常有的异常表达。与之相对的是,ATRXDAXX在NET中可出现表达缺失。另外,生长抑素受体2型(SSTR2A) 在NET中的表达率也是显著高于NEC这些都可以帮助我们进行鉴别诊断

上图注释:

所以,通过细胞组织形态、伴随的其他的组织学成分,以及免疫组化的方法,NETNEC一般是比较容易鉴别的

上图注释:

比如这个肿瘤,它的细胞形态排列成实性巢状和缎带状,伴有纤细的血管网。

上图注释:

肿瘤不同区域的增殖活性有差异,左边的区域比较低,右边的区域略高。右边的超过了20%,NET G3还是NEC呢?

上图注释:

再看一下其他的免疫组化。ATRX是有表达缺失的,这个在NET中容易见到,p53是野生型的,RB也是阳性表达的,没有缺失,这个免疫组化结果排除了NEC。

上图注释:

再来看这个肿瘤,肿瘤组织呈现实性的膨胀性生长,分布比较弥漫。但细胞形态似乎还比较一致,但核分裂像也容易见到。

上图注释:

肿瘤不同区域的ki67都是比较弥漫的表达,表达的阳性率没有太明显的差异,通过测算超过55%

上图注释:

我们再看一下其他几个的免疫组化,ATRXDAXX都是阳性的,没有表达的缺失。p53是弥漫阳性的表达,RB在肿瘤区域是表达缺失的,说明存在TP53和RB基因的突变,所以考虑为NEC。

上图注释:

混合性神经内分泌和非神经内分泌肿瘤(MiNEN),顾名思义,肿瘤组织既包括神经内分泌肿瘤的成分,也包括非神经内分泌肿瘤的成分。这两种成分在组织学形态和免疫组化上是可以区分的。其中,非神经内分泌肿瘤成分要求必须是癌,不能是癌前病变。两种成分的占比都要求不少于30%

上图注释:

MiNEN只是一种概念上的肿瘤类别,并不是具体的诊断名称。有3种情况不能归为MiNEN:1.前面提到的,如果非神经内分泌肿瘤成分是癌前病变,比如腺瘤,异型增生,是不能归为MiNEN由于日本病理诊断体系和欧美病理诊断体系在癌的诊断上,特别是胃癌的诊断上存在着差异,所以这条在实践中也会遇到一些问题。2.独立发生的碰撞瘤也不属于MiNEN。3.新辅助治疗后出现的表现出神经内分泌分化的癌,也不属于MiNEN。

上图注释:

MiNEN也不包括两栖癌。两栖癌指的是只有单一形态学的肿瘤组织成分,但肿瘤细胞同时表达神经内分泌和非神经内分泌的标记物。

上图注释:

因此,诊断上考虑MiNEN,首要条件是看到有两种形态可识别的肿瘤成分。比如这个例子中,有两种不同形态的肿瘤成分:有腺癌成分,包括管状腺癌和少量的粘液细胞癌,也有实性结构的神经内分泌癌的成分。

上图注释:

进一步的免疫组化也证实了是两种不同的成分,神经内分泌癌在CgA中是阳性表达的,而管状腺癌区域,大部分是阴性表达的。

上图注释:

下面再结合病例简单地介绍一下食管、胃及肠道的一些神经内分泌肿瘤的类型。食管的神经内分泌瘤NET非常罕见,仅有少量的报道。食管NET一般认为是起源于食管鳞状上皮基底区域的嗜银细胞和嗜铬细胞。上图的这个病变形成了一个长蒂病变表面光滑,发红明显。

上图注释:

组织学上,病变位于固有层和粘膜肌层内,表面覆盖非肿瘤性的鳞状上皮。肿瘤细胞形态比较一致,呈现圆形的细胞核和透明的细胞质,形成片状结构,病变的CgAsyn是阳性表达的,ki67指数为1%,诊断为食管的NET G1

上图注释:

这个病变呈现SMT样隆起,表面光滑,色泽略发红。

上图注释:

低倍下肿瘤被正常的复层鳞状上皮覆盖,肿瘤组织分布在粘膜固有层,没有累及粘膜肌层。肿瘤细胞排列呈片状结构,细胞形态均一,核呈圆形,有丰富透明胞浆,病变的ki67指数不到1%,诊断为食管NET G1

上图注释:

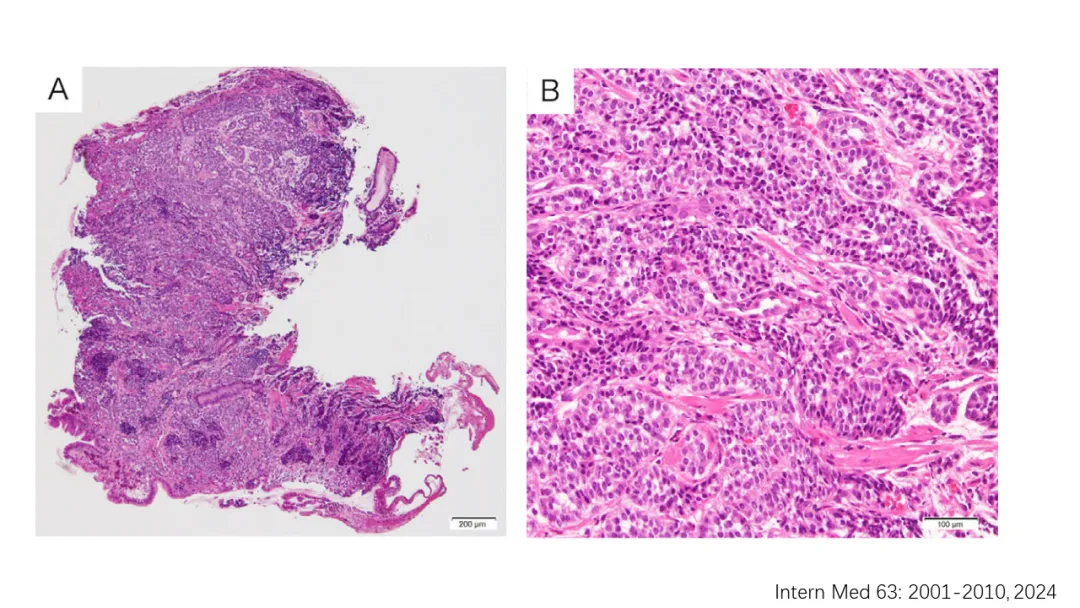
这个病变位于胸段食管的中段,病变在内镜下呈现表面不规则的SMT样隆起,NBI放大可见type R型血管和type B3型血管。

上图注释:

肿瘤细胞弥漫分布,形成片状结构,累及到粘膜下深层。这里分别看一下表层区域和深层区域的组织学表现。

上图注释:

黄框是表层区域,可以看到有鳞癌的组织学表现,有些地方肿瘤组织已经露脸,有些区域最表面还有非肿瘤上皮的覆盖。红框区域的肿瘤细胞核浆比高,细胞异型性明显,核分裂象显著。

上图注释:

深部的肿瘤组织的CgACD56是弥漫阳性表达,考虑为食管的NEC,从食管鳞癌演化而来。

上图注释:

1993年 Rindi根据病变的背景把胃的神经内分泌瘤 分成了13型。后续发现还有一些类型的胃的NET无法归到这3型,现在把壁细胞功能障碍导致的NET补充为4型,把长时间服用PPIPCAB引起的NET补充为5型。

上图注释:

正常的胃粘膜上皮中是有一些内分泌细胞的分布的,胃体腺粘膜中有ECL细胞,EC细胞以及X细胞的分布,其中,ECL细胞占比超过90%

上图注释:

胃窦区域的幽门腺粘膜中也有内分泌细胞的分布,有G细胞、EC细胞和D细胞,其中半数是G细胞。

上图注释:

HE染色下,内分泌细胞呈现卵圆形,核周围有亮白色的胞浆,呈现光环样的表现。

上图注释:

通过免疫组化标记,我们可以看到泌酸腺粘膜中内分泌细胞主要分布在腺体的下半区域(图A),而幽门腺粘膜中的内分泌细胞主要分布在腺体的上部区域 (图 B)。

上图注释:

1 的胃 神经内分泌瘤 和 自身免疫性胃炎相关。

上图注释:

自身免疫性胃炎由于壁细胞的减少、产生的胃酸也减少,会导致G细胞持续产生胃泌素,最终导致高胃泌素血症,继发出现ECL细胞增生。

上图注释:

这种增生包括了单纯的增生、线性增生、小结节状增生。

上图注释:

ECL细胞的增生类型主要是从ECL细胞的排列方式、细胞簇中的细胞数量去判断的。当形成的内分泌细胞巢尺寸超过了500微米,就诊断为NET。

上图注释:

这个过程可以认为是在ECL细胞增生的基础上,出现内分泌细胞微巢ECM,进一步出现ECL细胞的肿瘤化,最终形成1型神经内分泌瘤。1型的神经内分泌瘤 的分级 基本都是G1的。

上图注释:

这是自身免疫性胃炎背景中形成的1型神经内分泌肿瘤,内镜下呈现SMT样隆起,表面发红,ESD标本的组织学图像可见肿瘤组织累及粘膜下层。

上图注释:

肿瘤细胞形态单一,排列成条索状及伪腺管状结构,肿瘤组织CgA弥漫表达。

上图注释:

背景粘膜可见肠化及ECL细胞增生。

上图注释:

2型胃神经内分泌瘤和 卓-艾综合征有关。

上图注释:

通常是在其他的部位上,比如十二指肠,出现了胃泌素瘤。

上图注释:

胃泌素瘤导致胃泌素的过量分泌形成高胃泌素血症。

上图注释:

高分泌素血症导致胃粘膜上皮的增殖,导致胃皱襞的肥厚,胃粘膜中的各种上皮都可能发生增殖,包括ECL细胞,然后继发出现2NET。

上图注释:

在背景粘膜中,可以看到泌酸腺没有萎缩,壁细胞是增生的,有顶浆分泌样改变,壁细胞会分泌大量的胃酸。

上图注释:

泌酸腺之间可以见到多发的NET。

上图注释:

NET的肿瘤细胞形态均一,2NET的分级一般也是G1。

上图注释:

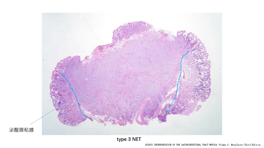
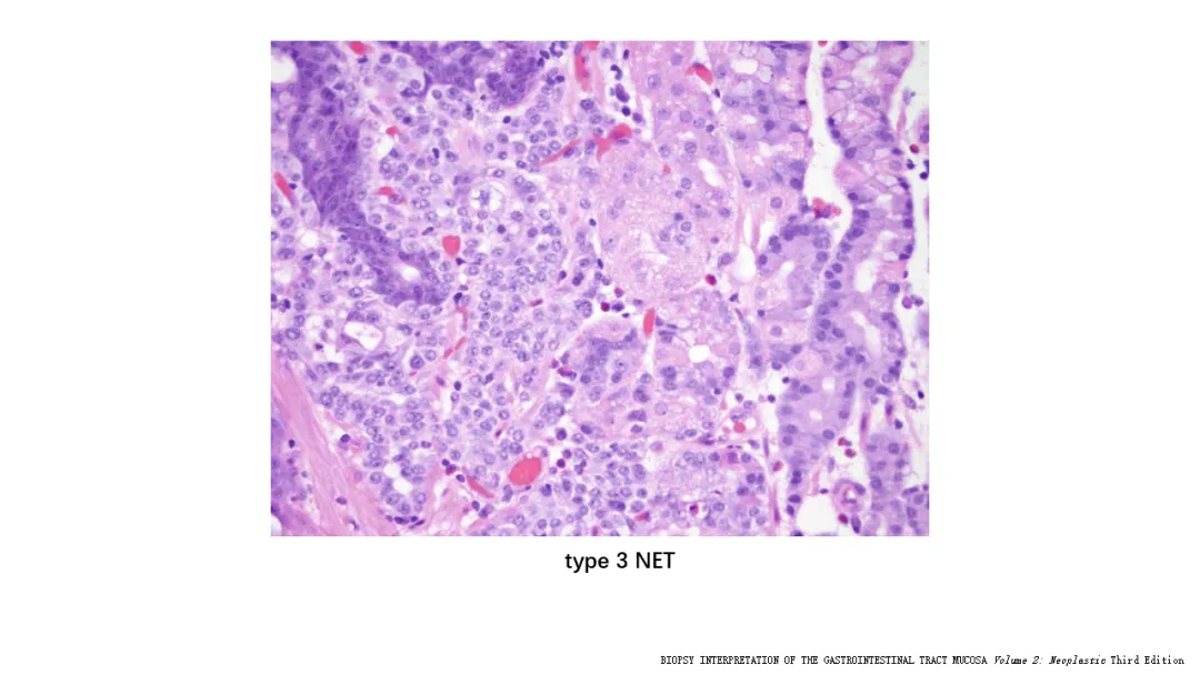
3型胃NET通常是孤立性出现的,背景粘膜通常不伴异常改变,也不存在高胃泌素血症。

上图注释:

这是3型的NET,肿瘤组织两侧可见泌酸腺粘膜。

上图注释:

泌酸腺粘膜无明显的异常。

上图注释:

肿瘤细胞的形态也比较均一。

上图注释:

ki67指数相对高一些,分级通常为G2级。

上图注释:

4NET和 壁细胞功能障碍有关。

上图注释:

壁细胞功能障碍症在1995首次报道,发生机制是由于编码 质子泵构成蛋白的ATP4A基因发生突变,导致壁细胞功能不全,造成胃酸的分泌低下,甚至无酸,这样就会形成和A胃相类似的负反馈机制,形成高胃泌素血症,最终引发ECL细胞增生及肿瘤化。

上图注释:

四型的NET的分级一般也都是G1。

上图注释:

背景粘膜的泌酸腺粘膜中,可见壁细胞呈现向腔侧突出的表现。H+/K+-ATPase的 α亚单元免疫组化是完全阴性的,证实壁细胞的功能障碍。

上图注释:

5NETPPIPCAB的长期服用有关。

上图注释:

PPIPCAB长期服用,抑制了胃酸分泌,导致胃窦的G细胞增生,长时间持续高胃泌素血症,引发ECL细胞增生,导致NET的发生。

上图注释:

这个病例的患者有14年的PPIPCAB的服药史,胃镜检查可见胃体大弯和小弯有多发的SMT样隆起。

上图注释:

胃的粘膜背景没有明显的萎缩。

上图注释:

这是小弯侧病变的活检组织学图像。肿瘤细胞呈现条索状结构,细胞形态均匀一致。

上图注释:

免疫组化表达上CgA和syn都是弥漫阳性。ki67指数少于2%,分级为G1。

上图注释:

胃体区域的背景粘膜未见萎缩改变,可以见到壁细胞突出的表现。CgA免疫组化提示ECL细胞线性增生。

上图注释:

胃体腺粘膜的H+/K+ATP酶的αβ亚单位染色染色都是正常的,排除了壁细胞功能障碍。

上图注释:

胃窦区域粘膜也无萎缩肠化,胃泌素免疫组化染色可见G细胞增生。

上图注释:

1型、2型、4型和5型的NET都是ECL细胞起源,都是高胃泌素血症导致的。但1型、4型和5型的NET,其胃内的壁细胞的数量或者功能是有异常的,胃内的胃酸分泌量是降低的。而2NET,其胃内的壁细胞数量和功能是正常的,胃酸分泌量是升高的。

上图注释:

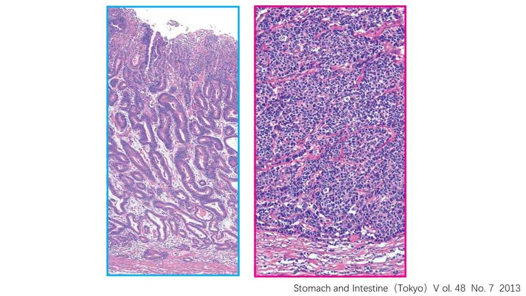
胃部的NEC,多起源于胃的分化型管状腺癌的演化。从复原图上也可以看到,肿瘤组织灶性分布在管状腺癌区域的内部。

上图注释:

左侧篮框内为典型的高中分化管状腺癌成分,右侧是NEC的成分。

上图注释:

一般认为NEC成分的侵袭潜能更强,NEC成分出现以后,随着时间的推移,它的占比会越来越高,逐渐成为病变的主体。

上图注释:

到最后,管状腺癌的成分会变得非常少,甚至最终消失掉。

上图注释:

十二指肠发生的神经内分泌瘤(NET可以按产生激素的不同进行分类。产生胃泌素的NETG细胞起源,产生生长抑素的NETD细胞起源,产生血清素的NET多为EC细胞起源,而内分泌癌NEC一般也是从腺癌演化过来的。

上图注释:

十二指肠的神经内分泌肿瘤大部分是NET。球部的NET多产生胃泌素,乳头部或者副乳头部的NET多产生生长抑素,十二指肠远端的NET主要产生血清素,NEC在乳头部相对多见。

上图注释:

产生胃泌素的NET,也就是G细胞起源的NET。肿瘤细胞排列成脑回状,往往会形成以血管为中心的假菊形团结构,肿瘤组织的胃泌素免疫组化染色是阳性的。

上图注释:

菊形团结构有些类似腺管样结构,但不是真正的腺管结构,是肿瘤细胞围绕在血管周围形成的一种结构。

上图注释:

D细胞起源的NET可以形成假腺管样结构,肿瘤细胞的生长抑素染色阳性

上图注释:

起源于EC细胞,产生血清素NET多发生在回肠和阑尾发生在十二指肠的概率相对较低,肿瘤组织阳性表达血清素。

上图注释:

直肠的神经内分泌瘤多为L细胞起源,通常形成同心带 和 浸润小梁的特征性生长模式。

最新文章

随机文章

基本 文件 流程 错误 SQL 调试
  1. 请求信息 : 2026-04-25 16:37:42 HTTP/2.0 GET : https://a.sjds.net/a/483061.html
  2. 运行时间 : 0.088077s [ 吞吐率:11.35req/s ] 内存消耗:4,840.33kb 文件加载:140
  3. 缓存信息 : 0 reads,0 writes
  4. 会话信息 : SESSION_ID=3ff5c5abd9d6c2942f7097f17bee1f35
  1. /yingpanguazai/ssd/ssd1/www/a.sjds.net/public/index.php ( 0.79 KB )
  2. /yingpanguazai/ssd/ssd1/www/a.sjds.net/vendor/autoload.php ( 0.17 KB )
  3. /yingpanguazai/ssd/ssd1/www/a.sjds.net/vendor/composer/autoload_real.php ( 2.49 KB )
  4. /yingpanguazai/ssd/ssd1/www/a.sjds.net/vendor/composer/platform_check.php ( 0.90 KB )
  5. /yingpanguazai/ssd/ssd1/www/a.sjds.net/vendor/composer/ClassLoader.php ( 14.03 KB )
  6. /yingpanguazai/ssd/ssd1/www/a.sjds.net/vendor/composer/autoload_static.php ( 4.90 KB )
  7. /yingpanguazai/ssd/ssd1/www/a.sjds.net/vendor/topthink/think-helper/src/helper.php ( 8.34 KB )
  8. /yingpanguazai/ssd/ssd1/www/a.sjds.net/vendor/topthink/think-validate/src/helper.php ( 2.19 KB )
  9. /yingpanguazai/ssd/ssd1/www/a.sjds.net/vendor/topthink/think-orm/src/helper.php ( 1.47 KB )
  10. /yingpanguazai/ssd/ssd1/www/a.sjds.net/vendor/topthink/think-orm/stubs/load_stubs.php ( 0.16 KB )
  11. /yingpanguazai/ssd/ssd1/www/a.sjds.net/vendor/topthink/framework/src/think/Exception.php ( 1.69 KB )
  12. /yingpanguazai/ssd/ssd1/www/a.sjds.net/vendor/topthink/think-container/src/Facade.php ( 2.71 KB )
  13. /yingpanguazai/ssd/ssd1/www/a.sjds.net/vendor/symfony/deprecation-contracts/function.php ( 0.99 KB )
  14. /yingpanguazai/ssd/ssd1/www/a.sjds.net/vendor/symfony/polyfill-mbstring/bootstrap.php ( 8.26 KB )
  15. /yingpanguazai/ssd/ssd1/www/a.sjds.net/vendor/symfony/polyfill-mbstring/bootstrap80.php ( 9.78 KB )
  16. /yingpanguazai/ssd/ssd1/www/a.sjds.net/vendor/symfony/var-dumper/Resources/functions/dump.php ( 1.49 KB )
  17. /yingpanguazai/ssd/ssd1/www/a.sjds.net/vendor/topthink/think-dumper/src/helper.php ( 0.18 KB )
  18. /yingpanguazai/ssd/ssd1/www/a.sjds.net/vendor/symfony/var-dumper/VarDumper.php ( 4.30 KB )
  19. /yingpanguazai/ssd/ssd1/www/a.sjds.net/vendor/topthink/framework/src/think/App.php ( 15.30 KB )
  20. /yingpanguazai/ssd/ssd1/www/a.sjds.net/vendor/topthink/think-container/src/Container.php ( 15.76 KB )
  21. /yingpanguazai/ssd/ssd1/www/a.sjds.net/vendor/psr/container/src/ContainerInterface.php ( 1.02 KB )
  22. /yingpanguazai/ssd/ssd1/www/a.sjds.net/app/provider.php ( 0.19 KB )
  23. /yingpanguazai/ssd/ssd1/www/a.sjds.net/vendor/topthink/framework/src/think/Http.php ( 6.04 KB )
  24. /yingpanguazai/ssd/ssd1/www/a.sjds.net/vendor/topthink/think-helper/src/helper/Str.php ( 7.29 KB )
  25. /yingpanguazai/ssd/ssd1/www/a.sjds.net/vendor/topthink/framework/src/think/Env.php ( 4.68 KB )
  26. /yingpanguazai/ssd/ssd1/www/a.sjds.net/app/common.php ( 0.03 KB )
  27. /yingpanguazai/ssd/ssd1/www/a.sjds.net/vendor/topthink/framework/src/helper.php ( 18.78 KB )
  28. /yingpanguazai/ssd/ssd1/www/a.sjds.net/vendor/topthink/framework/src/think/Config.php ( 5.54 KB )
  29. /yingpanguazai/ssd/ssd1/www/a.sjds.net/config/app.php ( 0.95 KB )
  30. /yingpanguazai/ssd/ssd1/www/a.sjds.net/config/cache.php ( 0.78 KB )
  31. /yingpanguazai/ssd/ssd1/www/a.sjds.net/config/console.php ( 0.23 KB )
  32. /yingpanguazai/ssd/ssd1/www/a.sjds.net/config/cookie.php ( 0.56 KB )
  33. /yingpanguazai/ssd/ssd1/www/a.sjds.net/config/database.php ( 2.48 KB )
  34. /yingpanguazai/ssd/ssd1/www/a.sjds.net/vendor/topthink/framework/src/think/facade/Env.php ( 1.67 KB )
  35. /yingpanguazai/ssd/ssd1/www/a.sjds.net/config/filesystem.php ( 0.61 KB )
  36. /yingpanguazai/ssd/ssd1/www/a.sjds.net/config/lang.php ( 0.91 KB )
  37. /yingpanguazai/ssd/ssd1/www/a.sjds.net/config/log.php ( 1.35 KB )
  38. /yingpanguazai/ssd/ssd1/www/a.sjds.net/config/middleware.php ( 0.19 KB )
  39. /yingpanguazai/ssd/ssd1/www/a.sjds.net/config/route.php ( 1.89 KB )
  40. /yingpanguazai/ssd/ssd1/www/a.sjds.net/config/session.php ( 0.57 KB )
  41. /yingpanguazai/ssd/ssd1/www/a.sjds.net/config/trace.php ( 0.34 KB )
  42. /yingpanguazai/ssd/ssd1/www/a.sjds.net/config/view.php ( 0.82 KB )
  43. /yingpanguazai/ssd/ssd1/www/a.sjds.net/app/event.php ( 0.25 KB )
  44. /yingpanguazai/ssd/ssd1/www/a.sjds.net/vendor/topthink/framework/src/think/Event.php ( 7.67 KB )
  45. /yingpanguazai/ssd/ssd1/www/a.sjds.net/app/service.php ( 0.13 KB )
  46. /yingpanguazai/ssd/ssd1/www/a.sjds.net/app/AppService.php ( 0.26 KB )
  47. /yingpanguazai/ssd/ssd1/www/a.sjds.net/vendor/topthink/framework/src/think/Service.php ( 1.64 KB )
  48. /yingpanguazai/ssd/ssd1/www/a.sjds.net/vendor/topthink/framework/src/think/Lang.php ( 7.35 KB )
  49. /yingpanguazai/ssd/ssd1/www/a.sjds.net/vendor/topthink/framework/src/lang/zh-cn.php ( 13.70 KB )
  50. /yingpanguazai/ssd/ssd1/www/a.sjds.net/vendor/topthink/framework/src/think/initializer/Error.php ( 3.31 KB )
  51. /yingpanguazai/ssd/ssd1/www/a.sjds.net/vendor/topthink/framework/src/think/initializer/RegisterService.php ( 1.33 KB )
  52. /yingpanguazai/ssd/ssd1/www/a.sjds.net/vendor/services.php ( 0.14 KB )
  53. /yingpanguazai/ssd/ssd1/www/a.sjds.net/vendor/topthink/framework/src/think/service/PaginatorService.php ( 1.52 KB )
  54. /yingpanguazai/ssd/ssd1/www/a.sjds.net/vendor/topthink/framework/src/think/service/ValidateService.php ( 0.99 KB )
  55. /yingpanguazai/ssd/ssd1/www/a.sjds.net/vendor/topthink/framework/src/think/service/ModelService.php ( 2.04 KB )
  56. /yingpanguazai/ssd/ssd1/www/a.sjds.net/vendor/topthink/think-trace/src/Service.php ( 0.77 KB )
  57. /yingpanguazai/ssd/ssd1/www/a.sjds.net/vendor/topthink/framework/src/think/Middleware.php ( 6.72 KB )
  58. /yingpanguazai/ssd/ssd1/www/a.sjds.net/vendor/topthink/framework/src/think/initializer/BootService.php ( 0.77 KB )
  59. /yingpanguazai/ssd/ssd1/www/a.sjds.net/vendor/topthink/think-orm/src/Paginator.php ( 11.86 KB )
  60. /yingpanguazai/ssd/ssd1/www/a.sjds.net/vendor/topthink/think-validate/src/Validate.php ( 63.20 KB )
  61. /yingpanguazai/ssd/ssd1/www/a.sjds.net/vendor/topthink/think-orm/src/Model.php ( 23.55 KB )
  62. /yingpanguazai/ssd/ssd1/www/a.sjds.net/vendor/topthink/think-orm/src/model/concern/Attribute.php ( 21.05 KB )
  63. /yingpanguazai/ssd/ssd1/www/a.sjds.net/vendor/topthink/think-orm/src/model/concern/AutoWriteData.php ( 4.21 KB )
  64. /yingpanguazai/ssd/ssd1/www/a.sjds.net/vendor/topthink/think-orm/src/model/concern/Conversion.php ( 6.44 KB )
  65. /yingpanguazai/ssd/ssd1/www/a.sjds.net/vendor/topthink/think-orm/src/model/concern/DbConnect.php ( 5.16 KB )
  66. /yingpanguazai/ssd/ssd1/www/a.sjds.net/vendor/topthink/think-orm/src/model/concern/ModelEvent.php ( 2.33 KB )
  67. /yingpanguazai/ssd/ssd1/www/a.sjds.net/vendor/topthink/think-orm/src/model/concern/RelationShip.php ( 28.29 KB )
  68. /yingpanguazai/ssd/ssd1/www/a.sjds.net/vendor/topthink/think-helper/src/contract/Arrayable.php ( 0.09 KB )
  69. /yingpanguazai/ssd/ssd1/www/a.sjds.net/vendor/topthink/think-helper/src/contract/Jsonable.php ( 0.13 KB )
  70. /yingpanguazai/ssd/ssd1/www/a.sjds.net/vendor/topthink/think-orm/src/model/contract/Modelable.php ( 0.09 KB )
  71. /yingpanguazai/ssd/ssd1/www/a.sjds.net/vendor/topthink/framework/src/think/Db.php ( 2.88 KB )
  72. /yingpanguazai/ssd/ssd1/www/a.sjds.net/vendor/topthink/think-orm/src/DbManager.php ( 8.52 KB )
  73. /yingpanguazai/ssd/ssd1/www/a.sjds.net/vendor/topthink/framework/src/think/Log.php ( 6.28 KB )
  74. /yingpanguazai/ssd/ssd1/www/a.sjds.net/vendor/topthink/framework/src/think/Manager.php ( 3.92 KB )
  75. /yingpanguazai/ssd/ssd1/www/a.sjds.net/vendor/psr/log/src/LoggerTrait.php ( 2.69 KB )
  76. /yingpanguazai/ssd/ssd1/www/a.sjds.net/vendor/psr/log/src/LoggerInterface.php ( 2.71 KB )
  77. /yingpanguazai/ssd/ssd1/www/a.sjds.net/vendor/topthink/framework/src/think/Cache.php ( 4.92 KB )
  78. /yingpanguazai/ssd/ssd1/www/a.sjds.net/vendor/psr/simple-cache/src/CacheInterface.php ( 4.71 KB )
  79. /yingpanguazai/ssd/ssd1/www/a.sjds.net/vendor/topthink/think-helper/src/helper/Arr.php ( 16.63 KB )
  80. /yingpanguazai/ssd/ssd1/www/a.sjds.net/vendor/topthink/framework/src/think/cache/driver/File.php ( 7.84 KB )
  81. /yingpanguazai/ssd/ssd1/www/a.sjds.net/vendor/topthink/framework/src/think/cache/Driver.php ( 9.03 KB )
  82. /yingpanguazai/ssd/ssd1/www/a.sjds.net/vendor/topthink/framework/src/think/contract/CacheHandlerInterface.php ( 1.99 KB )
  83. /yingpanguazai/ssd/ssd1/www/a.sjds.net/app/Request.php ( 0.09 KB )
  84. /yingpanguazai/ssd/ssd1/www/a.sjds.net/vendor/topthink/framework/src/think/Request.php ( 55.78 KB )
  85. /yingpanguazai/ssd/ssd1/www/a.sjds.net/app/middleware.php ( 0.25 KB )
  86. /yingpanguazai/ssd/ssd1/www/a.sjds.net/vendor/topthink/framework/src/think/Pipeline.php ( 2.61 KB )
  87. /yingpanguazai/ssd/ssd1/www/a.sjds.net/vendor/topthink/think-trace/src/TraceDebug.php ( 3.40 KB )
  88. /yingpanguazai/ssd/ssd1/www/a.sjds.net/vendor/topthink/framework/src/think/middleware/SessionInit.php ( 1.94 KB )
  89. /yingpanguazai/ssd/ssd1/www/a.sjds.net/vendor/topthink/framework/src/think/Session.php ( 1.80 KB )
  90. /yingpanguazai/ssd/ssd1/www/a.sjds.net/vendor/topthink/framework/src/think/session/driver/File.php ( 6.27 KB )
  91. /yingpanguazai/ssd/ssd1/www/a.sjds.net/vendor/topthink/framework/src/think/contract/SessionHandlerInterface.php ( 0.87 KB )
  92. /yingpanguazai/ssd/ssd1/www/a.sjds.net/vendor/topthink/framework/src/think/session/Store.php ( 7.12 KB )
  93. /yingpanguazai/ssd/ssd1/www/a.sjds.net/vendor/topthink/framework/src/think/Route.php ( 23.73 KB )
  94. /yingpanguazai/ssd/ssd1/www/a.sjds.net/vendor/topthink/framework/src/think/route/RuleName.php ( 5.75 KB )
  95. /yingpanguazai/ssd/ssd1/www/a.sjds.net/vendor/topthink/framework/src/think/route/Domain.php ( 2.53 KB )
  96. /yingpanguazai/ssd/ssd1/www/a.sjds.net/vendor/topthink/framework/src/think/route/RuleGroup.php ( 22.43 KB )
  97. /yingpanguazai/ssd/ssd1/www/a.sjds.net/vendor/topthink/framework/src/think/route/Rule.php ( 26.95 KB )
  98. /yingpanguazai/ssd/ssd1/www/a.sjds.net/vendor/topthink/framework/src/think/route/RuleItem.php ( 9.78 KB )
  99. /yingpanguazai/ssd/ssd1/www/a.sjds.net/route/app.php ( 1.72 KB )
  100. /yingpanguazai/ssd/ssd1/www/a.sjds.net/vendor/topthink/framework/src/think/facade/Route.php ( 4.70 KB )
  101. /yingpanguazai/ssd/ssd1/www/a.sjds.net/vendor/topthink/framework/src/think/route/dispatch/Controller.php ( 4.74 KB )
  102. /yingpanguazai/ssd/ssd1/www/a.sjds.net/vendor/topthink/framework/src/think/route/Dispatch.php ( 10.44 KB )
  103. /yingpanguazai/ssd/ssd1/www/a.sjds.net/app/controller/Index.php ( 4.81 KB )
  104. /yingpanguazai/ssd/ssd1/www/a.sjds.net/app/BaseController.php ( 2.05 KB )
  105. /yingpanguazai/ssd/ssd1/www/a.sjds.net/vendor/topthink/think-orm/src/facade/Db.php ( 0.93 KB )
  106. /yingpanguazai/ssd/ssd1/www/a.sjds.net/vendor/topthink/think-orm/src/db/connector/Mysql.php ( 5.44 KB )
  107. /yingpanguazai/ssd/ssd1/www/a.sjds.net/vendor/topthink/think-orm/src/db/PDOConnection.php ( 52.47 KB )
  108. /yingpanguazai/ssd/ssd1/www/a.sjds.net/vendor/topthink/think-orm/src/db/Connection.php ( 8.39 KB )
  109. /yingpanguazai/ssd/ssd1/www/a.sjds.net/vendor/topthink/think-orm/src/db/ConnectionInterface.php ( 4.57 KB )
  110. /yingpanguazai/ssd/ssd1/www/a.sjds.net/vendor/topthink/think-orm/src/db/builder/Mysql.php ( 16.58 KB )
  111. /yingpanguazai/ssd/ssd1/www/a.sjds.net/vendor/topthink/think-orm/src/db/Builder.php ( 24.06 KB )
  112. /yingpanguazai/ssd/ssd1/www/a.sjds.net/vendor/topthink/think-orm/src/db/BaseBuilder.php ( 27.50 KB )
  113. /yingpanguazai/ssd/ssd1/www/a.sjds.net/vendor/topthink/think-orm/src/db/Query.php ( 15.71 KB )
  114. /yingpanguazai/ssd/ssd1/www/a.sjds.net/vendor/topthink/think-orm/src/db/BaseQuery.php ( 45.13 KB )
  115. /yingpanguazai/ssd/ssd1/www/a.sjds.net/vendor/topthink/think-orm/src/db/concern/TimeFieldQuery.php ( 7.43 KB )
  116. /yingpanguazai/ssd/ssd1/www/a.sjds.net/vendor/topthink/think-orm/src/db/concern/AggregateQuery.php ( 3.26 KB )
  117. /yingpanguazai/ssd/ssd1/www/a.sjds.net/vendor/topthink/think-orm/src/db/concern/ModelRelationQuery.php ( 20.07 KB )
  118. /yingpanguazai/ssd/ssd1/www/a.sjds.net/vendor/topthink/think-orm/src/db/concern/ParamsBind.php ( 3.66 KB )
  119. /yingpanguazai/ssd/ssd1/www/a.sjds.net/vendor/topthink/think-orm/src/db/concern/ResultOperation.php ( 7.01 KB )
  120. /yingpanguazai/ssd/ssd1/www/a.sjds.net/vendor/topthink/think-orm/src/db/concern/WhereQuery.php ( 19.37 KB )
  121. /yingpanguazai/ssd/ssd1/www/a.sjds.net/vendor/topthink/think-orm/src/db/concern/JoinAndViewQuery.php ( 7.11 KB )
  122. /yingpanguazai/ssd/ssd1/www/a.sjds.net/vendor/topthink/think-orm/src/db/concern/TableFieldInfo.php ( 2.63 KB )
  123. /yingpanguazai/ssd/ssd1/www/a.sjds.net/vendor/topthink/think-orm/src/db/concern/Transaction.php ( 2.77 KB )
  124. /yingpanguazai/ssd/ssd1/www/a.sjds.net/vendor/topthink/framework/src/think/log/driver/File.php ( 5.96 KB )
  125. /yingpanguazai/ssd/ssd1/www/a.sjds.net/vendor/topthink/framework/src/think/contract/LogHandlerInterface.php ( 0.86 KB )
  126. /yingpanguazai/ssd/ssd1/www/a.sjds.net/vendor/topthink/framework/src/think/log/Channel.php ( 3.89 KB )
  127. /yingpanguazai/ssd/ssd1/www/a.sjds.net/vendor/topthink/framework/src/think/event/LogRecord.php ( 1.02 KB )
  128. /yingpanguazai/ssd/ssd1/www/a.sjds.net/vendor/topthink/think-helper/src/Collection.php ( 16.47 KB )
  129. /yingpanguazai/ssd/ssd1/www/a.sjds.net/vendor/topthink/framework/src/think/facade/View.php ( 1.70 KB )
  130. /yingpanguazai/ssd/ssd1/www/a.sjds.net/vendor/topthink/framework/src/think/View.php ( 4.39 KB )
  131. /yingpanguazai/ssd/ssd1/www/a.sjds.net/vendor/topthink/framework/src/think/Response.php ( 8.81 KB )
  132. /yingpanguazai/ssd/ssd1/www/a.sjds.net/vendor/topthink/framework/src/think/response/View.php ( 3.29 KB )
  133. /yingpanguazai/ssd/ssd1/www/a.sjds.net/vendor/topthink/framework/src/think/Cookie.php ( 6.06 KB )
  134. /yingpanguazai/ssd/ssd1/www/a.sjds.net/vendor/topthink/think-view/src/Think.php ( 8.38 KB )
  135. /yingpanguazai/ssd/ssd1/www/a.sjds.net/vendor/topthink/framework/src/think/contract/TemplateHandlerInterface.php ( 1.60 KB )
  136. /yingpanguazai/ssd/ssd1/www/a.sjds.net/vendor/topthink/think-template/src/Template.php ( 46.61 KB )
  137. /yingpanguazai/ssd/ssd1/www/a.sjds.net/vendor/topthink/think-template/src/template/driver/File.php ( 2.41 KB )
  138. /yingpanguazai/ssd/ssd1/www/a.sjds.net/vendor/topthink/think-template/src/template/contract/DriverInterface.php ( 0.86 KB )
  139. /yingpanguazai/ssd/ssd1/www/a.sjds.net/runtime/temp/97cad012e8e159aae2fe347a411e8351.php ( 12.06 KB )
  140. /yingpanguazai/ssd/ssd1/www/a.sjds.net/vendor/topthink/think-trace/src/Html.php ( 4.42 KB )
  1. CONNECT:[ UseTime:0.000732s ] mysql:host=127.0.0.1;port=3306;dbname=a_sjds;charset=utf8mb4
  2. SHOW FULL COLUMNS FROM `fenlei` [ RunTime:0.001054s ]
  3. SELECT * FROM `fenlei` WHERE `fid` = 0 [ RunTime:0.000387s ]
  4. SELECT * FROM `fenlei` WHERE `fid` = 63 [ RunTime:0.000306s ]
  5. SHOW FULL COLUMNS FROM `set` [ RunTime:0.000559s ]
  6. SELECT * FROM `set` [ RunTime:0.000216s ]
  7. SHOW FULL COLUMNS FROM `article` [ RunTime:0.000643s ]
  8. SELECT * FROM `article` WHERE `id` = 483061 LIMIT 1 [ RunTime:0.000633s ]
  9. UPDATE `article` SET `lasttime` = 1777106262 WHERE `id` = 483061 [ RunTime:0.008984s ]
  10. SELECT * FROM `fenlei` WHERE `id` = 66 LIMIT 1 [ RunTime:0.000400s ]
  11. SELECT * FROM `article` WHERE `id` < 483061 ORDER BY `id` DESC LIMIT 1 [ RunTime:0.000578s ]
  12. SELECT * FROM `article` WHERE `id` > 483061 ORDER BY `id` ASC LIMIT 1 [ RunTime:0.000571s ]
  13. SELECT * FROM `article` WHERE `id` < 483061 ORDER BY `id` DESC LIMIT 10 [ RunTime:0.000914s ]
  14. SELECT * FROM `article` WHERE `id` < 483061 ORDER BY `id` DESC LIMIT 10,10 [ RunTime:0.000877s ]
  15. SELECT * FROM `article` WHERE `id` < 483061 ORDER BY `id` DESC LIMIT 20,10 [ RunTime:0.001577s ]
0.089839s